MAP1A Antibody
-
中文名稱:MAP1A兔多克隆抗體
-
貨號:CSB-PA906125
-
規格:¥1100
-
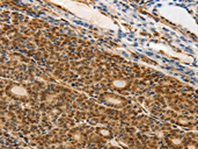
圖片:
-
The image on the left is immunohistochemistry of paraffin-embedded Human ovarian cancer tissue using CSB-PA906125(MAP1A Antibody) at dilution 1/25, on the right is treated with synthetic peptide. (Original magnification: ×200)
-
The image on the left is immunohistochemistry of paraffin-embedded Human thyroid cancer tissue using CSB-PA906125(MAP1A Antibody) at dilution 1/25, on the right is treated with synthetic peptide. (Original magnification: ×200)
-
-
其他:
產品詳情
-
Uniprot No.:
-
基因名:MAP1A
-
別名:MAP 1A antibody; MAP 1L antibody; MAP-1A antibody; MAP1 light chain LC2 antibody; Map1a antibody; MAP1A_HUMAN antibody; MAP1L antibody; Microtubule associated protein 1 like antibody; Microtubule associated protein 1A antibody; MTAP 1A antibody; MTAP1A antibody; Proliferation related protein p80 antibody; Proliferation-related protein p80 antibody
-
宿主:Rabbit
-
反應種屬:Human
-
免疫原:Synthetic peptide of Human MAP1A
-
免疫原種屬:Homo sapiens (Human)
-
標記方式:Non-conjugated
-
抗體亞型:IgG
-
純化方式:Antigen affinity purification
-
濃度:It differs from different batches. Please contact us to confirm it.
-
保存緩沖液:-20°C, pH7.4 PBS, 0.05% NaN3, 40% Glycerol
-
產品提供形式:Liquid
-
應用范圍:ELISA,IHC
-
推薦稀釋比:
Application Recommended Dilution ELISA 1:2000-1:5000 IHC 1:25-1:100 -
Protocols:
-
儲存條件:Upon receipt, store at -20°C or -80°C. Avoid repeated freeze.
-
貨期:Basically, we can dispatch the products out in 1-3 working days after receiving your orders. Delivery time maybe differs from different purchasing way or location, please kindly consult your local distributors for specific delivery time.
-
用途:For Research Use Only. Not for use in diagnostic or therapeutic procedures.
相關產品
靶點詳情
-
功能:Structural protein involved in the filamentous cross-bridging between microtubules and other skeletal elements.
-
基因功能參考文獻:
- MAP1A functions to maintain the neuronal microtubule network in the brain and mutations cause Purkinje cell degeneration. PMID: 25788676
- results support a role for MAP1 proteins in promoting efficient retrograde trafficking of HIV-1 by stimulating the formation of stable microtubules and mediating the association of HIV-1 cores with microtubules. PMID: 25505242
- This protein has been found differentially expressed in thalami from patients with schizophrenia. PMID: 20471030
- Data show that two regulatory factor for X box (RFX1 and 3) binding sites in exon1 of both the mouse and human microtubule-associated protein (MAP1A) gene are important for effective transcriptional repression in non-neuronal cells. PMID: 12411430
- a novel protein-binding partner for EPAC1 and EPAC2, light chain 2 of MAP1A (microtubule-associated protein 1A) PMID: 15202935
- MAP1A LC2 is a biological enhancer of EPAC1 activity toward Rap1 and associated downstream signaling mechanisms PMID: 15591041
- Complexes (MAP1B heavy chain-MAP1A light chain) form through interaction of homologous domains conserved in heavy and light chains of MAP1A and MAP1B. Conserved domains of the MAP1A and MAP1B light chains account for formation of light chain heterodimers. PMID: 16996626
- postulate that the RhoB and MAP1A/LC2 interactions facilitate endocytic vesicle trafficking and regulate the trafficking of signaling molecules PMID: 18056259
顯示更多
收起更多
-
亞細胞定位:Cytoplasm, cytoskeleton.
-
蛋白家族:MAP1 family
-
組織特異性:Brain.
-
數據庫鏈接:
Most popular with customers
-
-
YWHAB Recombinant Monoclonal Antibody
Applications: ELISA, WB, IHC, IF, FC
Species Reactivity: Human, Mouse, Rat
-
Phospho-YAP1 (S127) Recombinant Monoclonal Antibody
Applications: ELISA, WB, IHC
Species Reactivity: Human
-
-
-
-
-















