ITM2B Antibody
-
中文名稱:ITM2B兔多克隆抗體
-
貨號:CSB-PA011904LA01HU
-
規格:¥440
-
圖片:
-
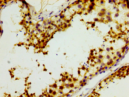
IHC image of CSB-PA011904LA01HU diluted at 1:400 and staining in paraffin-embedded human testis tissue performed on a Leica BondTM system. After dewaxing and hydration, antigen retrieval was mediated by high pressure in a citrate buffer (pH 6.0). Section was blocked with 10% normal goat serum 30min at RT. Then primary antibody (1% BSA) was incubated at 4°C overnight. The primary is detected by a biotinylated secondary antibody and visualized using an HRP conjugated SP system.
-
IHC image of CSB-PA011904LA01HU diluted at 1:400 and staining in paraffin-embedded human adrenal gland tissue performed on a Leica BondTM system. After dewaxing and hydration, antigen retrieval was mediated by high pressure in a citrate buffer (pH 6.0). Section was blocked with 10% normal goat serum 30min at RT. Then primary antibody (1% BSA) was incubated at 4°C overnight. The primary is detected by a biotinylated secondary antibody and visualized using an HRP conjugated SP system.
-
Immunofluorescence staining of Hela cells with CSB-PA011904LA01HU at 1:133, counter-stained with DAPI. The cells were fixed in 4% formaldehyde, permeabilized using 0.2% Triton X-100 and blocked in 10% normal Goat Serum. The cells were then incubated with the antibody overnight at 4°C. The secondary antibody was Alexa Fluor 488-congugated AffiniPure Goat Anti-Rabbit IgG(H+L).
-
-
其他:
產品詳情
-
產品名稱:Rabbit anti-Homo sapiens (Human) ITM2B Polyclonal antibody
-
Uniprot No.:
-
基因名:
-
別名:ABRI antibody; ABri/ADan amyloid peptide antibody; BRI 2 antibody; BRI antibody; BRI2 antibody; BRICD 2B antibody; BRICD2B antibody; BRICHOS domain containing 2B antibody; E25B antibody; E3 16 antibody; E3-16 antibody; FBD antibody; imBRI2 antibody; Immature BRI2 antibody; Integral membrane protein 2B antibody; ITM 2B antibody; ITM2B antibody; ITM2B_HUMAN antibody; Protein E25B antibody; RDGCA antibody; Transmembrane protein BRI antibody
-
宿主:Rabbit
-
反應種屬:Human
-
免疫原:Recombinant Human Integral membrane protein 2B protein (81-148AA)
-
免疫原種屬:Homo sapiens (Human)
-
標記方式:Non-conjugated
本頁面中的產品,ITM2B Antibody (CSB-PA011904LA01HU),的標記方式是Non-conjugated。對于ITM2B Antibody,我們還提供其他標記。見下表:
-
克隆類型:Polyclonal
-
抗體亞型:IgG
-
純化方式:>95%, Protein G purified
-
濃度:It differs from different batches. Please contact us to confirm it.
-
保存緩沖液:Preservative: 0.03% Proclin 300
Constituents: 50% Glycerol, 0.01M PBS, pH 7.4 -
產品提供形式:Liquid
-
應用范圍:ELISA, IHC, IF
-
推薦稀釋比:
Application Recommended Dilution IHC 1:200-1:500 IF 1:50-1:200 -
Protocols:
-
儲存條件:Upon receipt, store at -20°C or -80°C. Avoid repeated freeze.
-
貨期:Basically, we can dispatch the products out in 1-3 working days after receiving your orders. Delivery time maybe differs from different purchasing way or location, please kindly consult your local distributors for specific delivery time.
-
用途:For Research Use Only. Not for use in diagnostic or therapeutic procedures.
相關產品
靶點詳情
-
功能:Plays a regulatory role in the processing of the amyloid-beta A4 precursor protein (APP) and acts as an inhibitor of the amyloid-beta peptide aggregation and fibrils deposition. Plays a role in the induction of neurite outgrowth. Functions as a protease inhibitor by blocking access of secretases to APP cleavage sites.; Mature BRI2 (mBRI2) functions as a modulator of the amyloid-beta A4 precursor protein (APP) processing leading to a strong reduction in the secretion of secretase-processed amyloid-beta protein 40 and amyloid-beta protein 42.; Bri23 peptide prevents aggregation of APP amyloid-beta protein 42 into toxic oligomers.
-
基因功能參考文獻:
- Bri2 BRICHOS monomers potently prevent neuronal network toxicity of amyloid-beta peptide (A-beta), while dimers strongly suppress A-beta fibril formation. PMID: 29234026
- Bri2 BRICHOS domain is a potent inhibitor of IAPP fibril formation.Bri2 is highly expressed in human pancreatic islets and beta cells and colocalizes with IAPP both intracellularly and in islet amyloid deposits. PMID: 29507232
- ITM2B is expressed in most cortical neurons, neurons of the hippocampus and dentate nucleus, cerebellar Purkinje and granule cells, and (newly described here) in focal neurons in the basal ganglia, many neurons of the thalamus and brainstem, many cells in the ependyma and choroid plexus, and in the smooth muscle of blood vessels. ITM2B expression is prominent in plaques in AD-containing dystrophic neurites PMID: 26862951
- by modulating BRI2 processing using an ADAM10 inhibitor, a dual role for BRI2 in neurite outgrowth is suggested: phosphorylated full-length BRI2 appears to be important for the formation of neuritic processes, and BRI2 NTF promotes neurite elongation. PMID: 28176357
- Familial British dementia (FBD) and familial Danish dementia (FDD) are caused by mutations in the BRI2 gene. PMID: 28131015
- when BRI2 is phosphorylated a significant increase in neuronal outgrowth and differentiation is evident PMID: 26515131
- familial Danish dementia mutation and pE posttranslational modification are primary elements driving intact ADan into an amyloidogenic/neurotoxic pathway while truncations at the C-terminus eliminate the pro-amyloidogenic characteristics of the molecule PMID: 26459115
- Data depict roles for Bri2 and apolipoprotein E4 (ApoE4) proteins in a long-term memory regulation pathway. A single mutation in one Itm2b/Bri2 allele can affect both long-term and working memory, while ApoE4 seems to regulate short-term/working memory. PMID: 26528887
- Cystine-linked oligomers of ABri are toxic to neurons and block long-term potentiation. PMID: 25957407
- Data indicate integral membrane 2B (ITM2B) as a target of B-cell CLL/lymphoma 6 protein (BCL6) repression in lymphoma. PMID: 25557390
- Data indicate that the mutation originates the highly amyloidogenic molecule integral membrane protein 2B ABri. PMID: 25261792
- This review support the hypothesis that BRI2 change during disease devel-opment, and thus may have a role in Alzheimer disease. PMID: 24473189
- It binds amyloid precursor protein to halt amyloid-b production and inhibits amyloid-b aggregation via its BRICHOS-domain suggesting a link between BRI2 and Alzheimer's disease (AD) PMID: 24524963
- Findings highlight pathogenic mechanism(s) associated with ITM2B mutations underlying dementia or retinal disease and add a new candidate to the list of genes involved in inherited retinal dystrophies. PMID: 24026677
- Structural modeling of transmembrane (BRICHOS) domains of BRI2/ITM2B and SFTPC (pulmonary surfactant protein C) precursor identifies conserved region structurally complementary to beta-sheet/amyloid-prone region in BRICHOS domain-containing proteins. PMID: 24099305
- These results suggest that BRI2 may prevent access of BACE1 to APP and the BRI2/BACE1 interaction may mediate the reduction in BACE1 levels. PMID: 23701002
- Similarities of ABri and ADan to Abeta in Alzheimer's disease suggest that posttranslational pGlu-modification of amyloid peptides might represent general pathological mechanism leading to increased aggregation and toxicity forms of degenerative dementias. PMID: 23261769
- Data indicate that double transgenic (Tg-FDD-Tau) mice showed a significant decrease in synaptophysin levels. PMID: 23418567
- Neurological effects of the Danish form of BRI2 dementia caused by toxic amyloid Abeta protein precursor metabolites suggest that familial Danish and Alzheimer's dementias share common pathogenic mechanisms. PMID: 21841249
- BRI2 is a specific inhibitor that reduces access of secretase to amyloid-betaprecursor protein (APP) in intracellular compartments where APP is normally processed. PMID: 19748705
- BRI2 is N-glycosylated at Asn170 and show that this post-translational modification is essential for its expression at the cell surface but not for its proteolytic processing. PMID: 21752865
- The alpha-helical content of the transmembrane domain of the British dementia protein-2 (Bri2) determines its processing by signal peptide peptidase-like 2b (SPPL2b). PMID: 22194595
- BRI2 protein regulates beta-amyloid degradation by increasing levels of secreted insulin-degrading enzyme (IDE). PMID: 21873424
- Knock-in mice with familial Danish dementia, a mouse model congruous to human disease since they carry one mutant and one wild-type Bri2 allele, show that the Danish mutation causes loss of Bri2 protein, synaptic plasticity and memory impairment. PMID: 21587206
- Decreased cerebrospinal fluid levels of Bri2-23, a peptide cleaved from Bri2, significantly associates with multiple scleerosis patients with cerebellar dysfunction and cognition impairment. PMID: 20600910
- The British mutation drastically reduces expression of mature BRI2 in both knock-in mice and the brains of familial British dementia patients. PMID: 21048150
- BRI2 dimerizes in cells and that dimers are held via non-covalent interactions and via disulfide bridges between the cysteines at position 89. Additionally, we showed that BRI2 dimers are formed in the ER and appear at the cell surface. PMID: 18440095
- These data suggest a model for how the processing of Bri2 and APP are interrelated. PMID: 20036644
- oxidized form of ABri and reduced form of ADan are toxic to human neuronal cell lines in culture PMID: 12196136
- Data show that the expression of BRI gene was up-regulated in the highly metastatic cell line and down-regulated in the low metastatic cell line and there was no relation between BRI gene differential expression and rearrangements of chromosome. PMID: 12903036
- While a physiological role of BRI in brain remains to be determined, the behavior of BRI in diverse brain lesions appears to be somewhat analogous to that of amyloid precursor protein. PMID: 14586629
- expression of wild-type British or Danish mutants of BRI2, in mouse neuroblastoma N2a cells that do not express endogenous BRI2, induces elongation of neurites, which suggests a role for this protein in differentiation of neuronal cells PMID: 14656991
- Mutations at or near the stop codon of the chromosome 13 gene BRI2 that cause generation of longer-than-normal protein products. PMID: 15968464
- BRI2 gene binds the Alzheimer gene amyloid-beta precursor protein and inhibits amyloid-beta production PMID: 15983050
- BRI2 had a modulatory effect on amyloid precursor protein (APP) processing, increasing levels of cellular APP and COOH-terminal fragments while decreasing COOH-terminal fragments and secretion of total APP and Abeta peptides. PMID: 16027166
- early-onset dementia is linked to specific mutations in the BRI2 {REVIEW} PMID: 16612984
- SPPL2a and SPPL2b mediate the intramembrane cleavage, whereas neither SPP nor SPPL3 is capable of processing the Bri2 N-terminal fragment. PMID: 17965014
- in familial British dementia the mutated precursor BRi2 protein may undergo furin cleavage within neurones to produce the amyloid peptide ABri PMID: 18282158
- Expression of wild-type human ITM2B reduces cerebral amyloid beta deposition in a mouse model of Alzheimer's disease. PMID: 18524908
- BRI3 inhibits the various processing of amyloid protein precursor by blocking the access of alpha- and beta-secretases in a manner unlike BRI2. PMID: 19366692
顯示更多
收起更多
-
相關疾病:Cerebral amyloid angiopathy, ITM2B-related 1 (CAA-ITM2B1); Cerebral amyloid angiopathy, ITM2B-related 2 (CAA-ITM2B2); Retinal dystrophy with inner retinal dysfunction and ganglion cell abnormalities (RDGCA)
-
亞細胞定位:[Integral membrane protein 2B]: Golgi apparatus membrane; Single-pass type II membrane protein.; [Bri23 peptide]: Secreted.; [BRI2C, soluble form]: Secreted.
-
蛋白家族:ITM2 family
-
組織特異性:Ubiquitous. Expressed in brain.
-
數據庫鏈接:
Most popular with customers
-
-
YWHAB Recombinant Monoclonal Antibody
Applications: ELISA, WB, IHC, IF, FC
Species Reactivity: Human, Mouse, Rat
-
Phospho-YAP1 (S127) Recombinant Monoclonal Antibody
Applications: ELISA, WB, IHC
Species Reactivity: Human
-
-
-
-
-















