HADH Antibody
-
中文名稱:HADH兔多克隆抗體
-
貨號:CSB-PA614992ESR2HU
-
規格:¥440
-
圖片:
-
Western blot
All lanes: HADH antibody at 1.21 μg/ml
Lane 1: Mouse heart tissue
Lane 2: Mouse liver tissue
Lane 3: Mouse kidney tissue
Secondary
Goat polyclonal to rabbit IgG at 1/10000 dilution
Predicted band size: 35, 43, 37 kDa
Observed band size: 35 kDa -
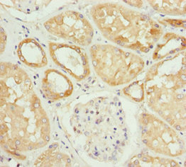
Immunohistochemistry of paraffin-embedded human kidney tissue using CSB-PA614992ESR2HU at dilution of 1:100
-
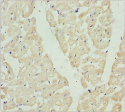
Immunohistochemistry of paraffin-embedded human heart tissue using CSB-PA614992ESR2HU at dilution of 1:100
-
-
其他:
產品詳情
-
產品名稱:Rabbit anti-Homo sapiens (Human) HADH Polyclonal antibody
-
Uniprot No.:
-
基因名:HADH
-
別名:3 hydroxyacyl Coenzyme A dehydrogenase antibody; HAD antibody; HADH antibody; HADH1 antibody; HADHSC antibody; HADHSC, formerly antibody; HADSC, formerly antibody; HCDH antibody; HCDH_HUMAN antibody; HHF4 antibody; Hydroxyacyl CoA dehydrogenase antibody; Hydroxyacyl-coenzyme A dehydrogenase antibody; hydroxyacyl-coenzyme A dehydrogenase, mitochondrial antibody; L 3 hydroxyacyl Coenzyme A dehydrogenase short chain antibody; M SCHAD antibody; Medium and short chain L 3 hydroxyacyl coenzyme A dehydrogenase antibody; Medium and short-chain L-3-hydroxyacyl-coenzyme A dehydrogenase antibody; MGC8392 antibody; mitochondrial antibody; MSCHAD antibody; OTTHUMP00000162626 antibody; OTTHUMP00000219688 antibody; SCHAD antibody; SCHAD, formerly antibody; Short chain 3 hydroxyacyl CoA dehydrogenase mitochondrial antibody; short chain 3-hydroxyacyl-coa dehydrogenase antibody; Short-chain 3-hydroxyacyl-CoA dehydrogenase antibody
-
宿主:Rabbit
-
反應種屬:Human, Mouse
-
免疫原:Recombinant Human Hydroxyacyl-coenzyme A dehydrogenase, mitochondrial protein (1-314AA)
-
免疫原種屬:Homo sapiens (Human)
-
標記方式:Non-conjugated
-
克隆類型:Polyclonal
-
抗體亞型:IgG
-
純化方式:Antigen Affinity Purified
-
濃度:It differs from different batches. Please contact us to confirm it.
-
保存緩沖液:PBS with 0.02% sodium azide, 50% glycerol, pH7.3.
-
產品提供形式:Liquid
-
應用范圍:ELISA, WB, IHC
-
推薦稀釋比:
Application Recommended Dilution WB 1:1000-1:5000 IHC 1:20-1:200 -
Protocols:
-
儲存條件:Upon receipt, store at -20°C or -80°C. Avoid repeated freeze.
-
貨期:Basically, we can dispatch the products out in 1-3 working days after receiving your orders. Delivery time maybe differs from different purchasing way or location, please kindly consult your local distributors for specific delivery time.
-
用途:For Research Use Only. Not for use in diagnostic or therapeutic procedures.
相關產品
靶點詳情
-
功能:Mitochondrial fatty acid beta-oxidation enzyme that catalyzes the third step of the beta-oxidation cycle for medium and short-chain 3-hydroxy fatty acyl-CoAs (C4 to C10). Plays a role in the control of insulin secretion by inhibiting the activation of glutamate dehydrogenase 1 (GLUD1), an enzyme that has an important role in regulating amino acid-induced insulin secretion.
-
基因功能參考文獻:
- The most frequently seen mutations in Turkish patients with congenital hyperinsulinism (CHI) were ATP binding cassette subfamily C member 8 (ABCC8) gene, followed by 3-hydroxyacyl CoA dehydrogenase (HADH) and kcnj11 channel (KCNJ11) genes. PMID: 27181376
- Paretic muscle in hemiparetic stroke survivors had lower HAD concentration. PMID: 26361074
- We present clinical and laboratory findings together with the long-term clinical course of a case with a deep intronic HADH splicing mutation (c.636+471G>T) causing neonatal-onset hyperinsulinemic hypoglycemia with mild progression PMID: 26316438
- in a cohort of hyperinsulinemic hypoglycemia patients from Isfahan, Iran, 78% were noted to have disease-causing mutations: 48% had HADH mutations and 26% had ABCC8 mutations. PMID: 26268944
- Next-generation sequencing reveals deep intronic cryptic ABCC8 and HADH splicing founder mutations causing hyperinsulinism by pseudoexon activation. PMID: 23273570
- Loss of function mutations in 3-Hydroxyacyl-CoA Dehydrogenase (HADH) cause leucine sensitive hyperinsulinaemic hypoglycaemia. PMID: 22583614
- Clinical, biochemical and molecular findings of four new Caucasian patients with HADH deficiency. PMID: 21347589
- We recommend that HADH sequence analysis is considered in all patients with diazoxide-responsive hyperinsulinemic hypoglycemia when recessive inheritance is suspected PMID: 21252247
- Congenital hyperinsulinism due to mutations in HNF4A and HADH. PMID: 20931292
- SCHAD deficiency can result in persistent hyperinsulinemic hypoglycemia of infancy PMID: 14693719
- Unlikely that variation in HADHSC plays a major role in the pathogenesis of type 2 diabetes in the examined cohorts. PMID: 17065362
- This case indicates that mutations of the HADH gene should be sought in hyperinsulinemic patients in whom diffuse form of hyperinsulinemic hypoglycemia. PMID: 19318379
- To investigate its function in this catalytic dyad, Glu(170) was replaced with glutamine (E170Q), and the mutant enzyme was characterized. Substrate and cofactor binding were unaffected by the mutation; E170Q exhibited diminished catalytic activity PMID: 11451959
- Patients with the G1528C mutation of 3-hyroxyacyl-CoA dehydrogenase exhibit hepatomegaly and steatosis of the liver, as well as accumulation of fat in the myocardium, renal tubules, and skeletal muscle PMID: 9185222
顯示更多
收起更多
-
相關疾?。?/div>3-alpha-hydroxyacyl-CoA dehydrogenase deficiency (HADH deficiency); Familial hyperinsulinemic hypoglycemia 4 (HHF4)亞細胞定位:Mitochondrion matrix.蛋白家族:3-hydroxyacyl-CoA dehydrogenase family組織特異性:Expressed in liver, kidney, pancreas, heart and skeletal muscle.數據庫鏈接:
Most popular with customers
-
-
Phospho-YAP1 (S127) Recombinant Monoclonal Antibody
Applications: ELISA, WB, IHC
Species Reactivity: Human
-
-
-
-
-
-















