HADH Monoclonal Antibody
-
中文名稱:HADH Monoclonal Antibody
-
貨號:CSB-MA971598
-
規格:¥1320
-
圖片:
-
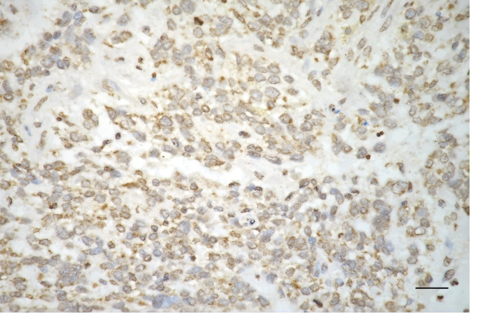
Immunohistochemistry was performed on paraffin-embedded human breast carcinoma using HADH antibody. Antigen retrieval was done in sodium citrate buffer (pH 6.0). DAB was used for detection, with hematoxylin counterstaining. Images were acquired using a Nikon Ci-L Plus microscope (40× objective). Scale bar: 25 μm.
-
Western blotting analysis using HADH antibody. Total cell lysates (30 μg) from various cell lines were loaded and separated by SDS-PAGE. The blot was incubated with HADH antibody and HRP-conjugated goat anti-mouse secondary antibody respectively.
-
Western blotting analysis using HADH antibody. HADH expression in wild type (WT) and HADH knockout (KO) HeLa cells with 20 μg of total cell lysates. Hsp90 α serves as a loading control. The blot was incubated with HADH antibody and HRP-conjugated goat anti-mouse secondary antibody respectively.
-
-
其他:
產品詳情
-
產品名稱:Mouse anti-Homo sapiens (Human) HADH Monoclonal antibody
-
Uniprot No.:
-
基因名:HADH
-
別名:HADH; Hydroxyacyl-CoA Dehydrogenase; SCHAD; HADHSC; HADH1; Medium And Short-Chain L-3-Hydroxyacyl-Coenzyme A Dehydrogenase; L-3-Hydroxyacyl-Coenzyme A Dehydrogenase, Short Chain; Hydroxyacyl-Coenzyme A Dehydrogenase, Mitochondrial; Short-Chain 3-Hydroxyacyl-CoA Dehydrogenase; EC 1.1.1.35; HCDH; HAD; Testis Secretory Sperm-Binding Protein Li 203a; Hydroxyacyl-Coenzyme A Dehydrogenase; EC 1.1.1; MSCHAD; HHF4; HAD1
-
宿主:Mouse
-
反應種屬:Human
-
免疫原:Recombinant Human HADH protein
-
免疫原種屬:Homo sapiens (Human)
-
標記方式:Non-conjugated
-
克隆類型:Monoclonal
-
抗體亞型:Mouse IgG2b
-
純化方式:Affinity-chromatography
-
克隆號:24E4
-
濃度:It differs from different batches. Please contact us to confirm it.
-
保存緩沖液:PBS (pH 7.4) containing 50% glycerol, and 0.02% sodium azide.
-
產品提供形式:Liquid
-
應用范圍:ELISA, WB, IHC
-
推薦稀釋比:
Application Recommended Dilution WB 1:400-1:2000 IHC 1:100-1:200 -
Protocols:
-
儲存條件:Upon receipt, store at -20°C or -80°C. Avoid repeated freeze.
-
貨期:Basically, we can dispatch the products out in 1-3 working days after receiving your orders. Delivery time maybe differs from different purchasing way or location, please kindly consult your local distributors for specific delivery time.
-
用途:For Research Use Only. Not for use in diagnostic or therapeutic procedures.
相關產品
靶點詳情
-
功能:Mitochondrial fatty acid beta-oxidation enzyme that catalyzes the third step of the beta-oxidation cycle for medium and short-chain 3-hydroxy fatty acyl-CoAs (C4 to C10). Plays a role in the control of insulin secretion by inhibiting the activation of glutamate dehydrogenase 1 (GLUD1), an enzyme that has an important role in regulating amino acid-induced insulin secretion.
-
基因功能參考文獻:
- The most frequently seen mutations in Turkish patients with congenital hyperinsulinism (CHI) were ATP binding cassette subfamily C member 8 (ABCC8) gene, followed by 3-hydroxyacyl CoA dehydrogenase (HADH) and kcnj11 channel (KCNJ11) genes. PMID: 27181376
- Paretic muscle in hemiparetic stroke survivors had lower HAD concentration. PMID: 26361074
- We present clinical and laboratory findings together with the long-term clinical course of a case with a deep intronic HADH splicing mutation (c.636+471G>T) causing neonatal-onset hyperinsulinemic hypoglycemia with mild progression PMID: 26316438
- in a cohort of hyperinsulinemic hypoglycemia patients from Isfahan, Iran, 78% were noted to have disease-causing mutations: 48% had HADH mutations and 26% had ABCC8 mutations. PMID: 26268944
- Next-generation sequencing reveals deep intronic cryptic ABCC8 and HADH splicing founder mutations causing hyperinsulinism by pseudoexon activation. PMID: 23273570
- Loss of function mutations in 3-Hydroxyacyl-CoA Dehydrogenase (HADH) cause leucine sensitive hyperinsulinaemic hypoglycaemia. PMID: 22583614
- Clinical, biochemical and molecular findings of four new Caucasian patients with HADH deficiency. PMID: 21347589
- We recommend that HADH sequence analysis is considered in all patients with diazoxide-responsive hyperinsulinemic hypoglycemia when recessive inheritance is suspected PMID: 21252247
- Congenital hyperinsulinism due to mutations in HNF4A and HADH. PMID: 20931292
- SCHAD deficiency can result in persistent hyperinsulinemic hypoglycemia of infancy PMID: 14693719
- Unlikely that variation in HADHSC plays a major role in the pathogenesis of type 2 diabetes in the examined cohorts. PMID: 17065362
- This case indicates that mutations of the HADH gene should be sought in hyperinsulinemic patients in whom diffuse form of hyperinsulinemic hypoglycemia. PMID: 19318379
- To investigate its function in this catalytic dyad, Glu(170) was replaced with glutamine (E170Q), and the mutant enzyme was characterized. Substrate and cofactor binding were unaffected by the mutation; E170Q exhibited diminished catalytic activity PMID: 11451959
- Patients with the G1528C mutation of 3-hyroxyacyl-CoA dehydrogenase exhibit hepatomegaly and steatosis of the liver, as well as accumulation of fat in the myocardium, renal tubules, and skeletal muscle PMID: 9185222
顯示更多
收起更多
-
相關疾病:3-alpha-hydroxyacyl-CoA dehydrogenase deficiency (HADH deficiency); Familial hyperinsulinemic hypoglycemia 4 (HHF4)
-
亞細胞定位:Mitochondrion matrix.
-
蛋白家族:3-hydroxyacyl-CoA dehydrogenase family
-
組織特異性:Expressed in liver, kidney, pancreas, heart and skeletal muscle.
-
數據庫鏈接:
Most popular with customers
-
-
YWHAB Recombinant Monoclonal Antibody
Applications: ELISA, WB, IHC, IF, FC
Species Reactivity: Human, Mouse, Rat
-
Phospho-YAP1 (S127) Recombinant Monoclonal Antibody
Applications: ELISA, WB, IHC
Species Reactivity: Human
-
-
-
-
-















