GPD2 Antibody
-
中文名稱:GPD2兔多克隆抗體
-
貨號:CSB-PA696035
-
規格:¥1100
-
圖片:
-
The image on the left is immunohistochemistry of paraffin-embedded Human liver cancer tissue using CSB-PA696035(GPD2 Antibody) at dilution 1/20, on the right is treated with synthetic peptide. (Original magnification: ×200)
-
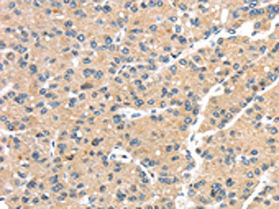
The image on the left is immunohistochemistry of paraffin-embedded Human thyroid cancer tissue using CSB-PA696035(GPD2 Antibody) at dilution 1/20, on the right is treated with synthetic peptide. (Original magnification: ×200)
-
-
其他:
產品詳情
-
Uniprot No.:
-
基因名:GPD2
-
別名:GDH2 antibody; Glycerol 3 phosphate dehydrogenase 2 (mitochondrial) antibody; Glycerol 3 phosphate dehydrogenase 2 antibody; Glycerol 3 phosphate dehydrogenase mitochondrial antibody; Glycerol-3-phosphate dehydrogenase antibody; GPD 2 antibody; GPD M antibody; GPD-M antibody; gpd2 antibody; GPDH M antibody; GPDH-M antibody; GPDM antibody; GPDM_HUMAN antibody; mGPDH antibody; mitochondrial antibody; Mitochondrial glycerophosphate dehydrogenase antibody; mtGPD antibody; OTTHUMP00000162788 antibody; OTTHUMP00000204452 antibody; OTTHUMP00000204453 antibody; OTTHUMP00000204458 antibody
-
宿主:Rabbit
-
反應種屬:Human,Mouse,Rat
-
免疫原:Synthetic peptide of Human GPD2
-
免疫原種屬:Homo sapiens (Human)
-
標記方式:Non-conjugated
-
抗體亞型:IgG
-
純化方式:Antigen affinity purification
-
濃度:It differs from different batches. Please contact us to confirm it.
-
保存緩沖液:-20°C, pH7.4 PBS, 0.05% NaN3, 40% Glycerol
-
產品提供形式:Liquid
-
應用范圍:ELISA,IHC
-
推薦稀釋比:
Application Recommended Dilution ELISA 1:2000-1:5000 IHC 1:20-1:100 -
Protocols:
-
儲存條件:Upon receipt, store at -20°C or -80°C. Avoid repeated freeze.
-
貨期:Basically, we can dispatch the products out in 1-3 working days after receiving your orders. Delivery time maybe differs from different purchasing way or location, please kindly consult your local distributors for specific delivery time.
-
用途:For Research Use Only. Not for use in diagnostic or therapeutic procedures.
相關產品
靶點詳情
-
功能:Calcium-responsive mitochondrial glycerol-3-phosphate dehydrogenase which seems to be a key component of the pancreatic beta-cell glucose-sensing device.
-
基因功能參考文獻:
- testis-specific promoter of mitochondrial GPDH PMID: 15456763
- Overall, these data demonstrate that mGPDH is involved in maintaining a high rate of glycolysis and is an important site of electron leakage leading to ROS production in prostate cancer cells. PMID: 15967408
- the up-regulation of mGPDH, due to a highly glycolytic environment, contributes to the overall increase in ROS generation and may result in the progression of prostate cancer PMID: 17886033
-
亞細胞定位:Mitochondrion.
-
蛋白家族:FAD-dependent glycerol-3-phosphate dehydrogenase family
-
數據庫鏈接:
Most popular with customers
-
-
YWHAB Recombinant Monoclonal Antibody
Applications: ELISA, WB, IHC, IF, FC
Species Reactivity: Human, Mouse, Rat
-
-
-
-
-
-















