GPD2 Monoclonal Antibody
-
中文名稱:GPD2 Monoclonal Antibody
-
貨號:CSB-MA570126
-
規格:¥1320
-
圖片:
-
Western blotting analysis using GPD2 antibody. Total cell lysates (30 μg) from various cell lines were loaded and separated by SDS-PAGE. The blot was incubated with GPD2 antibody and HRP-conjugated goat anti-mouse secondary antibody respectively.
-
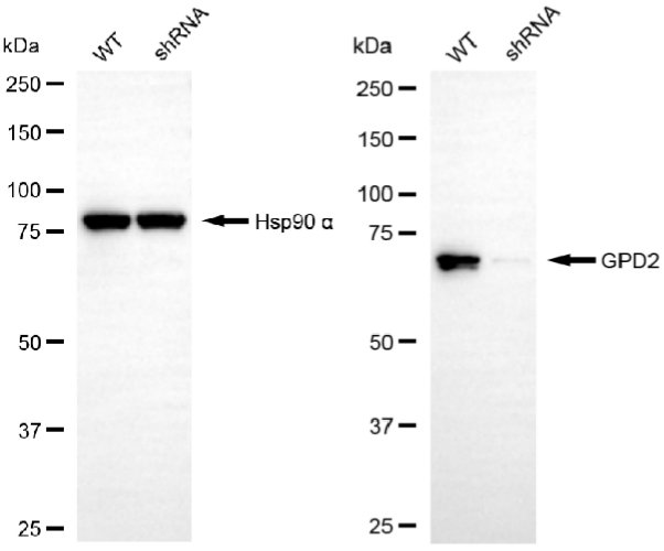
Western blotting analysis using GPD2 antibody. GPD2 expression in wild-type (WT) and GPD2 shRNA knockdown (KD) HeLa cells with 20 μg of total cell lysates. Hsp90 α serves as a loading control. The blot was incubated with GPD2 antibody and HRP-conjugated goat anti-mouse secondary antibody respectively.
-
-
其他:
產品詳情
-
產品名稱:Mouse anti-Homo sapiens (Human) GPD2 Monoclonal antibody
-
Uniprot No.:
-
基因名:GPD2
-
別名:GPD2; Glycerol-3-Phosphate Dehydrogenase 2; Glycerol-3-Phosphate Dehydrogenase 2 (Mitochondrial); Glycerol-3-Phosphate Dehydrogenase, Mitochondrial; EC 1.1.5.3; GPDH-M; GPD-M; MtGPD; MGDH; Mitohondrial Glycerophosphate Dehydrogenase Gene; Mitochondrial Glycerophosphate Dehydrogenase; Mitohondrial Glycerophosphate Dehydrogenase; Testicular Tissue Protein Li 76; MGPDH; GDH2; GPDM
-
宿主:Mouse
-
反應種屬:Human, Mouse, Rat
-
免疫原:Recombinant Human GPD2 protein
-
免疫原種屬:Homo sapiens (Human)
-
標記方式:Non-conjugated
-
克隆類型:Monoclonal
-
抗體亞型:Mouse IgG1
-
純化方式:Affinity-chromatography
-
克隆號:11G6
-
濃度:It differs from different batches. Please contact us to confirm it.
-
保存緩沖液:PBS (pH 7.4) containing 50% glycerol, and 0.02% sodium azide.
-
產品提供形式:Liquid
-
應用范圍:ELISA, WB
-
推薦稀釋比:
Application Recommended Dilution WB 1:400-1:2000 -
Protocols:
-
儲存條件:Upon receipt, store at -20°C or -80°C. Avoid repeated freeze.
-
貨期:Basically, we can dispatch the products out in 1-3 working days after receiving your orders. Delivery time maybe differs from different purchasing way or location, please kindly consult your local distributors for specific delivery time.
-
用途:For Research Use Only. Not for use in diagnostic or therapeutic procedures.
相關產品
靶點詳情
-
功能:Calcium-responsive mitochondrial glycerol-3-phosphate dehydrogenase which seems to be a key component of the pancreatic beta-cell glucose-sensing device.
-
基因功能參考文獻:
- testis-specific promoter of mitochondrial GPDH PMID: 15456763
- Overall, these data demonstrate that mGPDH is involved in maintaining a high rate of glycolysis and is an important site of electron leakage leading to ROS production in prostate cancer cells. PMID: 15967408
- the up-regulation of mGPDH, due to a highly glycolytic environment, contributes to the overall increase in ROS generation and may result in the progression of prostate cancer PMID: 17886033
-
亞細胞定位:Mitochondrion.
-
蛋白家族:FAD-dependent glycerol-3-phosphate dehydrogenase family
-
數據庫鏈接:
Most popular with customers
-
-
Phospho-YAP1 (S127) Recombinant Monoclonal Antibody
Applications: ELISA, WB, IHC
Species Reactivity: Human
-
-
-
-
-
-















