FBXO22 Antibody
-
中文名稱:FBXO22兔多克隆抗體
-
貨號:CSB-PA854115ESR2HU
-
規格:¥440
-
圖片:
-
Western blot
All lanes: FBXO22 antibody at 2.42 μg/ml
Lane 1: Mouse heart tissue
Lane 2: Mouse liver tissue
Secondary
Goat polyclonal to rabbit IgG at 1/10000 dilution
Predicted band size: 45, 5, 31 kDa
Observed band size: 45 kDa -
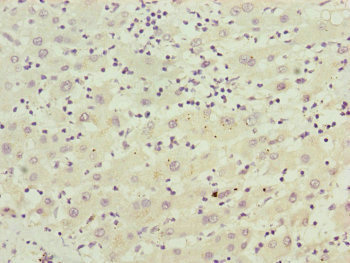
Immunohistochemistry of paraffin-embedded human liver cancer using CSB-PA854115ESR2HU at dilution of 1:100
-
-
其他:
產品詳情
-
產品名稱:Rabbit anti-Homo sapiens (Human) FBXO22 Polyclonal antibody
-
Uniprot No.:
-
基因名:FBXO22
-
別名:0610033L19Rik antibody; 1600016C16Rik antibody; F box only protein 22 antibody; F box protein 22 antibody; F box protein FBX22p44 antibody; F-box only protein 22 antibody; F-box protein FBX22p44 antibody; FBX22 antibody; FBX22_HUMAN antibody; FBXO 22 antibody; FBXO22 antibody; FIST domain containing 1 antibody; FISTC1 antibody; FLJ13986 antibody; MGC124731 antibody; MGC31799 antibody
-
宿主:Rabbit
-
反應種屬:Human, Mouse
-
免疫原:Recombinant Human F-box only protein 22 protein (104-403AA)
-
免疫原種屬:Homo sapiens (Human)
-
標記方式:Non-conjugated
-
克隆類型:Polyclonal
-
抗體亞型:IgG
-
純化方式:Antigen Affinity Purified
-
濃度:It differs from different batches. Please contact us to confirm it.
-
保存緩沖液:PBS with 0.02% sodium azide, 50% glycerol, pH7.3.
-
產品提供形式:Liquid
-
應用范圍:ELISA, WB, IHC
-
推薦稀釋比:
Application Recommended Dilution WB 1:1000-1:5000 IHC 1:20-1:200 -
Protocols:
-
儲存條件:Upon receipt, store at -20°C or -80°C. Avoid repeated freeze.
-
貨期:Basically, we can dispatch the products out in 1-3 working days after receiving your orders. Delivery time maybe differs from different purchasing way or location, please kindly consult your local distributors for specific delivery time.
-
用途:For Research Use Only. Not for use in diagnostic or therapeutic procedures.
相關產品
靶點詳情
-
功能:Substrate-recognition component of the SCF (SKP1-CUL1-F-box protein)-type E3 ubiquitin ligase complex. Promotes the proteasome-dependent degradation of key sarcomeric proteins, such as alpha-actinin (ACTN2) and filamin-C (FLNC), essential for maintenance of normal contractile function.
-
基因功能參考文獻:
- Data show that FBXO22 mediated the polyubiquitination and degradation of CD147 by interacting with CD147 intracellular domain (CD147-ICD). PMID: 28117675
- Authors demonstrate that F-box only protein 22 (FBXO22) interacts with and thereby destabilizes KLF4 via polyubiquitination. As a result, FBXO22 could promote HCC cells proliferation. PMID: 26087183
- Results indicate that SCF(Fbxo22)-KDM4A is an E3 ubiquitin ligase that targets methylated p53 and regulates key senescent processes. PMID: 26868148
- FBXO22 protein is required for optimal synthesis of NMDA receptor coagonist D-serine by interacting with serine racemase, activating it, and preventing its targeting to membranes. PMID: 25336657
- we determined that the phage-encoded GogB effector protein in Salmonella targets the host SCF E3 type ubiquitin ligase through an interaction with Skp1 and the human F-box only 22 (FBXO22) protein PMID: 22761574
- FBXO22 is a key regulator of histone methylation marks, namely, H3K9 and H3K36 methylation, through the regulation of KDM4A protein levels. PMID: 21768309
顯示更多
收起更多
-
亞細胞定位:Cytoplasm, myofibril, sarcomere, Z line.
-
組織特異性:Predominantly expressed in liver, also enriched in cardiac muscle.
-
數據庫鏈接:
Most popular with customers
-
-
Phospho-YAP1 (S127) Recombinant Monoclonal Antibody
Applications: ELISA, WB, IHC
Species Reactivity: Human
-
-
-
-
-
-















