FBXO22 Antibody
-
中文名稱:FBXO22兔多克隆抗體
-
貨號:CSB-PA854115ESR1HU
-
規格:¥440
-
圖片:
-
Western Blot
Positive WB detected in:Mouse Brain tissue lysate(20μg)
All lanes: FBXO22 antibody at 1:1000
Secondary
Goat polyclonal to rabbit IgG at 1/20000 dilution
Predicted band size: 45kDa
Observed band size: 45 kDa
Exposure time: 10s -
Western Blot
Positive WB detected in: Hela whole cell lysate(20μg), MCF7 whole cell lysate(20μg), HepG2 whole cell lysate(20μg), 293 whole cell lysate(20μg), JK whole cell lysate(20μg), K562 whole cell lysate(20μg), A549 whole cell lysate(20μg), A431 whole cell lysate(20μg), U251 whole cell lysate(20μg)
All lanes: FBXO22 antibody at 1:1000
Secondary
Goat polyclonal to rabbit IgG at 1/20000 dilution
Predicted band size: 45 kDa
Observed band size: 45 kDa
Exposure time: 10s -
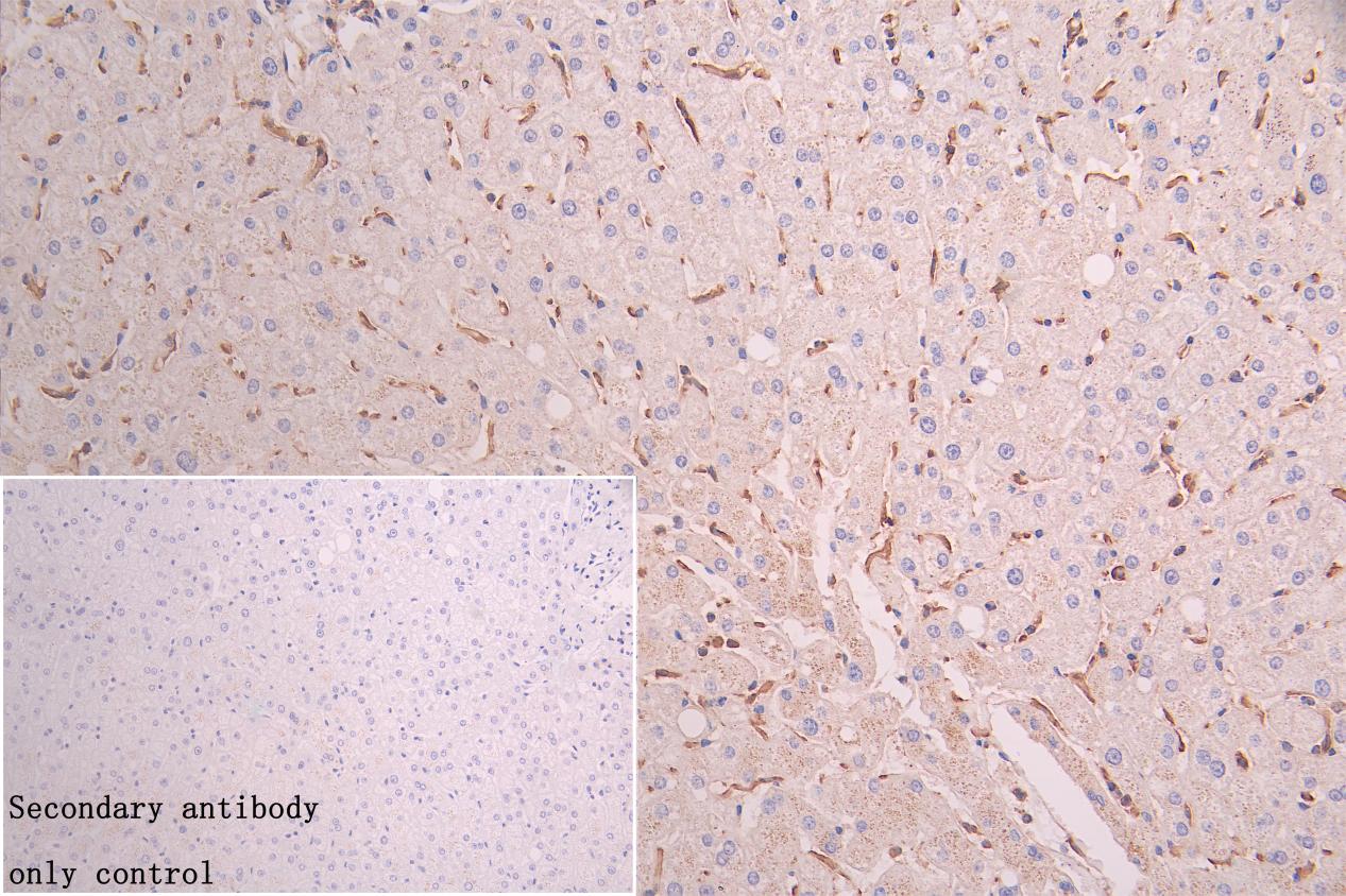
IHC image of CSB-PA854115ESR1HU diluted at 1:200 and staining in paraffin-embedded human liver tissue performed on a Leica BondTM system. After dewaxing and hydration, antigen retrieval was mediated by high pressure in a citrate buffer (pH 6.0). Section was blocked with 10% normal goat serum 30min at RT. Then primary antibody (1% BSA) was incubated at 4°C overnight. The primary is detected by a Goat anti-rabbit polymer IgG labeled by HRP and visualized using 0.05% DAB. Secondary antibody only control: uses 1% BSA instead of primary antibody
-
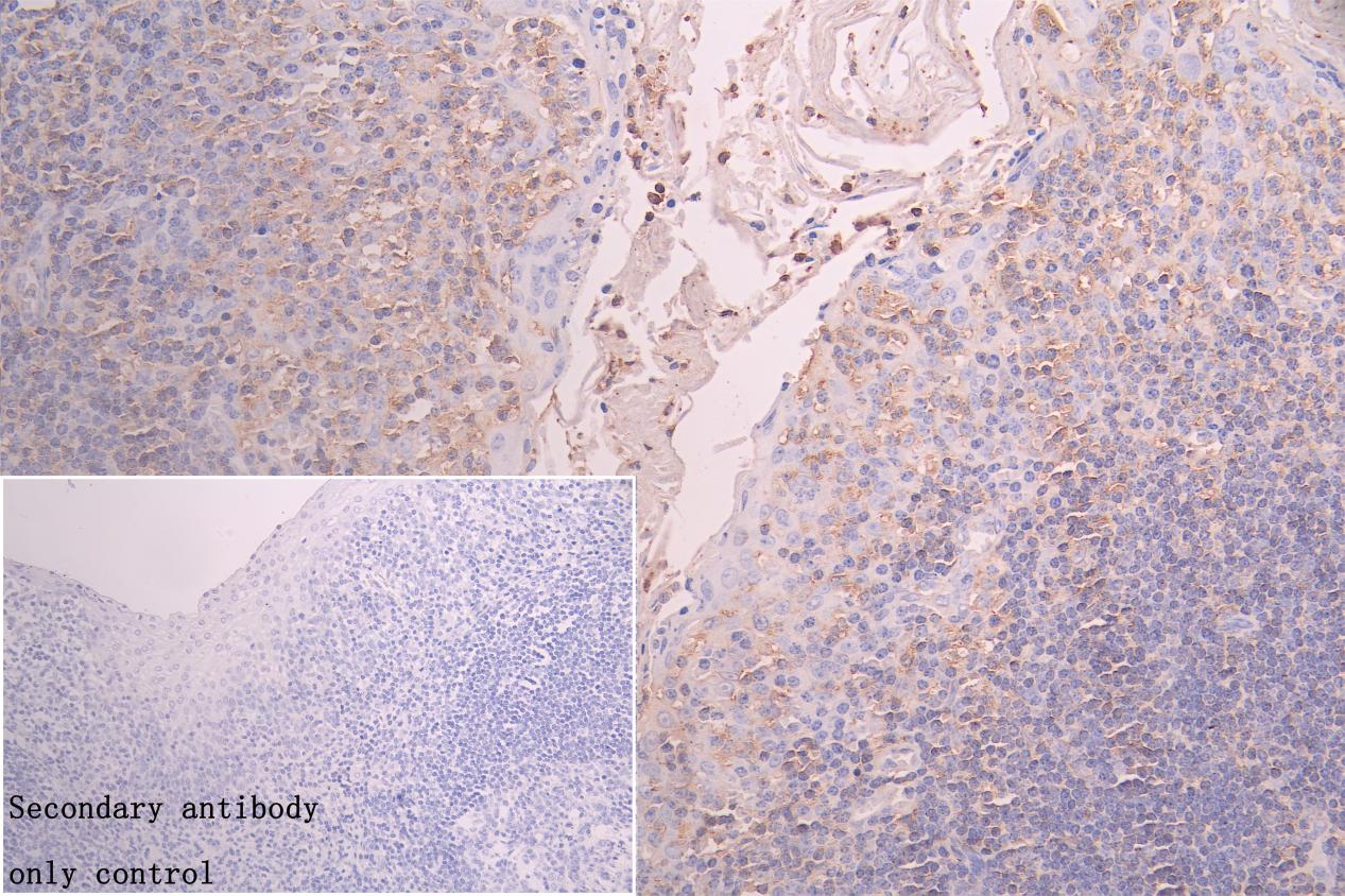
IHC image of CSB-PA854115ESR1HU diluted at 1:200 and staining in paraffin-embedded human tonsil tissue performed on a Leica BondTM system. After dewaxing and hydration, antigen retrieval was mediated by high pressure in a citrate buffer (pH 6.0). Section was blocked with 10% normal goat serum 30min at RT. Then primary antibody (1% BSA) was incubated at 4°C overnight. The primary is detected by a Goat anti-rabbit polymer IgG labeled by HRP and visualized using 0.05% DAB. Secondary antibody only control: uses 1% BSA instead of primary antibody
-
-
其他:
產品詳情
-
產品名稱:Rabbit anti-Homo sapiens (Human) FBXO22 Polyclonal antibody
-
Uniprot No.:
-
基因名:FBXO22
-
別名:0610033L19Rik antibody; 1600016C16Rik antibody; F box only protein 22 antibody; F box protein 22 antibody; F box protein FBX22p44 antibody; F-box only protein 22 antibody; F-box protein FBX22p44 antibody; FBX22 antibody; FBX22_HUMAN antibody; FBXO 22 antibody; FBXO22 antibody; FIST domain containing 1 antibody; FISTC1 antibody; FLJ13986 antibody; MGC124731 antibody; MGC31799 antibody
-
宿主:Rabbit
-
反應種屬:Human, Mouse
-
免疫原:Synthesized peptide derived from human FBX22 AA range: 182-232
-
免疫原種屬:Homo sapiens (Human)
-
克隆類型:Polyclonal
-
抗體亞型:IgG
-
純化方式:Antigen Affinity Purified
-
濃度:It differs from different batches. Please contact us to confirm it.
-
保存緩沖液:Liquid in PBS containing 50% glycerol, 0.5% BSA and 0.02% sodium azide.
-
產品提供形式:Liquid
-
應用范圍:ELISA, WB, IHC
-
推薦稀釋比:
Application Recommended Dilution WB 1:1000-1:3000 IHC 1:100-1:300 -
Protocols:
-
儲存條件:Upon receipt, store at -20°C or -80°C. Avoid repeated freeze.
-
貨期:Basically, we can dispatch the products out in 1-3 working days after receiving your orders. Delivery time maybe differs from different purchasing way or location, please kindly consult your local distributors for specific delivery time.
-
用途:For Research Use Only. Not for use in diagnostic or therapeutic procedures.
相關產品
靶點詳情
-
功能:Substrate-recognition component of the SCF (SKP1-CUL1-F-box protein)-type E3 ubiquitin ligase complex. Promotes the proteasome-dependent degradation of key sarcomeric proteins, such as alpha-actinin (ACTN2) and filamin-C (FLNC), essential for maintenance of normal contractile function.
-
基因功能參考文獻:
- Data show that FBXO22 mediated the polyubiquitination and degradation of CD147 by interacting with CD147 intracellular domain (CD147-ICD). PMID: 28117675
- Authors demonstrate that F-box only protein 22 (FBXO22) interacts with and thereby destabilizes KLF4 via polyubiquitination. As a result, FBXO22 could promote HCC cells proliferation. PMID: 26087183
- Results indicate that SCF(Fbxo22)-KDM4A is an E3 ubiquitin ligase that targets methylated p53 and regulates key senescent processes. PMID: 26868148
- FBXO22 protein is required for optimal synthesis of NMDA receptor coagonist D-serine by interacting with serine racemase, activating it, and preventing its targeting to membranes. PMID: 25336657
- we determined that the phage-encoded GogB effector protein in Salmonella targets the host SCF E3 type ubiquitin ligase through an interaction with Skp1 and the human F-box only 22 (FBXO22) protein PMID: 22761574
- FBXO22 is a key regulator of histone methylation marks, namely, H3K9 and H3K36 methylation, through the regulation of KDM4A protein levels. PMID: 21768309
顯示更多
收起更多
-
亞細胞定位:Cytoplasm, myofibril, sarcomere, Z line.
-
組織特異性:Predominantly expressed in liver, also enriched in cardiac muscle.
-
數據庫鏈接:
Most popular with customers
-
-
YWHAB Recombinant Monoclonal Antibody
Applications: ELISA, WB, IHC, IF, FC
Species Reactivity: Human, Mouse, Rat
-
Phospho-YAP1 (S127) Recombinant Monoclonal Antibody
Applications: ELISA, WB, IHC
Species Reactivity: Human
-
-
-
-
-















