EDN3 Antibody
-
中文名稱:EDN3兔多克隆抗體
-
貨號:CSB-PA111567
-
規格:¥1100
-
圖片:
-
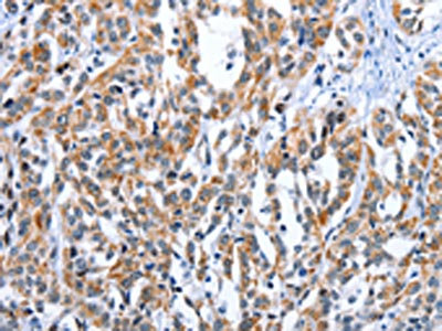
The image on the left is immunohistochemistry of paraffin-embedded Human esophagus cancer tissue using CSB-PA111567(EDN3 Antibody) at dilution 1/30, on the right is treated with fusion protein. (Original magnification: ×200)
-
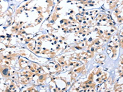
The image on the left is immunohistochemistry of paraffin-embedded Human thyroid cancer tissue using CSB-PA111567(EDN3 Antibody) at dilution 1/30, on the right is treated with fusion protein. (Original magnification: ×200)
-
-
其他:
產品詳情
-
Uniprot No.:
-
基因名:
-
別名:EDN3 antibody; EDN3_HUMAN antibody; Endothelin 3 antibody; Endothelin-3 antibody; ET 3 antibody; ET-3 antibody; PPET3 antibody; Preproendothelin 3 antibody; Preproendothelin-3 antibody
-
宿主:Rabbit
-
反應種屬:Human
-
免疫原:Fusion protein of Human EDN3
-
免疫原種屬:Homo sapiens (Human)
-
標記方式:Non-conjugated
-
抗體亞型:IgG
-
純化方式:Antigen affinity purification
-
濃度:It differs from different batches. Please contact us to confirm it.
-
保存緩沖液:-20°C, pH7.4 PBS, 0.05% NaN3, 40% Glycerol
-
產品提供形式:Liquid
-
應用范圍:ELISA,IHC
-
推薦稀釋比:
Application Recommended Dilution ELISA 1:1000-1:2000 IHC 1:25-1:100 -
Protocols:
-
儲存條件:Upon receipt, store at -20°C or -80°C. Avoid repeated freeze.
-
貨期:Basically, we can dispatch the products out in 1-3 working days after receiving your orders. Delivery time maybe differs from different purchasing way or location, please kindly consult your local distributors for specific delivery time.
-
用途:For Research Use Only. Not for use in diagnostic or therapeutic procedures.
相關產品
靶點詳情
-
功能:Endothelins are endothelium-derived vasoconstrictor peptides.
-
基因功能參考文獻:
- the critical physiological role of the KIT-ET3-NO pathway in fulfilling high demand (exceeding basal level) of endothelium-dependent NO generation for coping with atherosclerosis, pregnancy, and aging, is reported. PMID: 28880927
- genome-wide association studies in population of women in China: Data suggest that EDN3 (endothelin 3) and EDNRB (endothelin receptor type B) play important roles in the molecular mechanisms underlying cervical cancer. PMID: 27863272
- EDN3 expression in left internal mammary arteries depends on tissue harvesting technique. PMID: 24647318
- Down-regulated expression of ET3 attenuates the malignant behaviors of human melanoma cells partially by decreasing the expression of SPARC. PMID: 23904381
- Waardenburg syndrome type II and mutations of EDNRB, EDN3 and SOX10 genes are responsible for Waardenburg syndrome type IV. (review) PMID: 24379252
- Our data showed that almost all patients, regardless of individual characteristics such as gender or age, expressed the endothelin receptor genes, but did not express the genes for ET-3. PMID: 23515723
- These data suggest that autocrine EDN3/EDNRB signaling is essential for maintaining GSCs. Incorporating END3/EDNRB-targeted therapies into conventional cancer treatments may have clinical implication for the prevention of tumor recurrence. PMID: 22013079
- Finding suggest that mutations in RET and NTRK3 acting together are necessary and sufficient for the appearance of Hirschsprung disease and that the EDN3 mutation acts as a phenotype modifier. PMID: 19556619
- EDN3 may be considered as a common susceptibility gene for sporadic Hirschsprung disease in a low-penetrance fashion. PMID: 20009762
- Mutations are found in Hirschsprung's disease in a Chinese population. PMID: 14669347
- KEL6 red blood cells have endothelin-3-converting enzyme activity PMID: 16423827
- neither polymorphism nor mutation was observed in EDN3 in Chinese Hirschprung disease patients PMID: 17554617
- Endothelin-3 molecule is specifically upregulated in metastatic melanoma cells, showing that an abnormal autocrine stimulation pathway involving ET-3 is present in metastatic melanoma cells. PMID: 18346402
- Endothelin signaling axis activates osteopontin expression through PI3 kinase pathway in A375 melanoma cells. PMID: 18722093
- ET3 induced activation of IkappaB & MAPK in epithelial cells. ET3 is involved in regulating human colonic epithelial cell proliferation & survival, particularly for goblet cells. PMID: 18832450
- In conclusion, Multiplex Ligation-dependent Probe Amplification assessment of rearrangements in the RET proto-oncogene and in 3 other associated genes, ZEB2, EDN3 and GDNF did not show any variants in 80 sporadic Hirschsprung disease patients. PMID: 19183406
- Report on spanish cases of Waardenburg syndrome type 4 with novel mutations in EDN3 and SOX 10 genes. PMID: 19764030
顯示更多
收起更多
-
相關疾病:Hirschsprung disease 4 (HSCR4); Congenital central hypoventilation syndrome (CCHS); Waardenburg syndrome 4B (WS4B)
-
亞細胞定位:Secreted.
-
蛋白家族:Endothelin/sarafotoxin family
-
組織特異性:Expressed in trophoblasts and placental stem villi vessels, but not in cultured placental smooth muscle cells.
-
數據庫鏈接:
Most popular with customers
-
-
YWHAB Recombinant Monoclonal Antibody
Applications: ELISA, WB, IHC, IF, FC
Species Reactivity: Human, Mouse, Rat
-
Phospho-YAP1 (S127) Recombinant Monoclonal Antibody
Applications: ELISA, WB, IHC
Species Reactivity: Human
-
-
-
-
-















