DNAJA3 Antibody
-
中文名稱:DNAJA3兔多克隆抗體
-
貨號:CSB-PA836207LA01HU
-
規格:¥440
-
圖片:
-
Western Blot
Positive WB detected in: Hela whole cell lysate, MCF-7 whole cell lysate, K562 whole cell lysate, Jurkat whole cell lysate, Raji whole cell lysate, 293T whole cell lysate, A549 whole cell lysate
All lanes: DNAJA3 antibody at 1:2000
Secondary
Goat polyclonal to rabbit IgG at 1/50000 dilution
Predicted band size: 53, 50, 34 kDa
Observed band size: 53 kDa -
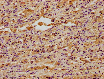
IHC image of CSB-PA836207LA01HU diluted at 1:400 and staining in paraffin-embedded human lung cancer performed on a Leica BondTM system. After dewaxing and hydration, antigen retrieval was mediated by high pressure in a citrate buffer (pH 6.0). Section was blocked with 10% normal goat serum 30min at RT. Then primary antibody (1% BSA) was incubated at 4°C overnight. The primary is detected by a biotinylated secondary antibody and visualized using an HRP conjugated SP system.
-
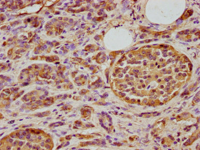
IHC image of CSB-PA836207LA01HU diluted at 1:400 and staining in paraffin-embedded human pancreatic cancer performed on a Leica BondTM system. After dewaxing and hydration, antigen retrieval was mediated by high pressure in a citrate buffer (pH 6.0). Section was blocked with 10% normal goat serum 30min at RT. Then primary antibody (1% BSA) was incubated at 4°C overnight. The primary is detected by a biotinylated secondary antibody and visualized using an HRP conjugated SP system.
-
Immunofluorescence staining of MCF-7 cells with CSB-PA836207LA01HU at 1:133, counter-stained with DAPI. The cells were fixed in 4% formaldehyde, permeabilized using 0.2% Triton X-100 and blocked in 10% normal Goat Serum. The cells were then incubated with the antibody overnight at 4°C. The secondary antibody was Alexa Fluor 488-congugated AffiniPure Goat Anti-Rabbit IgG(H+L).
-
Immunoprecipitating DNAJA3 in Hela whole cell lysate
Lane 1: Rabbit control IgG instead of CSB-PA836207LA01HU in Hela whole cell lysate. For western blotting, a HRP-conjugated Protein G antibody was used as the secondary antibody (1/50000)
Lane 2: CSB-PA836207LA01HU (5µg) + Hela whole cell lysate (0.5mg)
Lane 3: Hela whole cell lysate (20µg)
-
-
其他:
產品詳情
-
產品名稱:Rabbit anti-Homo sapiens (Human) DNAJA3 Polyclonal antibody
-
Uniprot No.:
-
基因名:DNAJA3
-
別名:DNAJA3 antibody; HCA57 antibody; TID1DnaJ homolog subfamily A member 3 antibody; mitochondrial antibody; DnaJ protein Tid-1 antibody; hTid-1 antibody; Hepatocellular carcinoma-associated antigen 57 antibody; Tumorous imaginal discs protein Tid56 homolog antibody
-
宿主:Rabbit
-
反應種屬:Human
-
免疫原:Recombinant Human DnaJ homolog subfamily A member 3, mitochondrial protein (86-184AA )
-
免疫原種屬:Homo sapiens (Human)
-
標記方式:Non-conjugated
本頁面中的產品,DNAJA3 Antibody (CSB-PA836207LA01HU),的標記方式是Non-conjugated。對于DNAJA3 Antibody,我們還提供其他標記。見下表:
-
克隆類型:Polyclonal
-
抗體亞型:IgG
-
純化方式:>95%, Protein G purified
-
濃度:It differs from different batches. Please contact us to confirm it.
-
保存緩沖液:Preservative: 0.03% Proclin 300
Constituents: 50% Glycerol, 0.01M PBS, pH 7.4 -
產品提供形式:Liquid
-
應用范圍:ELISA, WB, IHC, IF, IP
-
推薦稀釋比:
Application Recommended Dilution WB 1:1000-1:5000 IHC 1:200-1:500 IF 1:50-1:200 IP 1:200-1:2000 -
Protocols:
-
儲存條件:Upon receipt, store at -20°C or -80°C. Avoid repeated freeze.
-
貨期:Basically, we can dispatch the products out in 1-3 working days after receiving your orders. Delivery time maybe differs from different purchasing way or location, please kindly consult your local distributors for specific delivery time.
-
用途:For Research Use Only. Not for use in diagnostic or therapeutic procedures.
相關產品
靶點詳情
-
功能:Modulates apoptotic signal transduction or effector structures within the mitochondrial matrix. Affect cytochrome C release from the mitochondria and caspase 3 activation, but not caspase 8 activation. Isoform 1 increases apoptosis triggered by both TNF and the DNA-damaging agent mytomycin C; in sharp contrast, isoform 2 suppresses apoptosis. Can modulate IFN-gamma-mediated transcriptional activity. Isoform 2 may play a role in neuromuscular junction development as an effector of the MUSK signaling pathway.
-
基因功能參考文獻:
- Impaired stoichiometry between mtHsp40 and mtHsp70 promotes Opa1L cleavage, leading to cristae opening, decreased OXPHOS, and triggering of mitochondrial fragmentation after reduction in their chaperone function. PMID: 25904328
- The Role of the Phylogenetically Conserved Cochaperone Protein Droj2/DNAJA3 in NF-kappaB Signaling. PMID: 26245905
- TID1 prevents complex I aggregation and support the existence of a TID1-mediated stress response to ATP synthase inhibition PMID: 24492964
- Tid1 acts as a tumor suppressor by inhibiting EGFR signaling through interaction with EGFR/HSP70/HSP90 and enhancing EGFR ubiquitinylation and degradation. PMID: 23698466
- Data show that elevated DnaJA3 induces dynamin-related protein 1 (Drp1)-depedendent mitochondrial fragmentation and decreased cell viability. PMID: 22595283
- loss of hTid-1(S) expression in the basal layer of skin epidermis correlates with the enhanced HSP27 phosphorylation, keratinocyte hyperproliferation, and excess actin cytoskeleton organization in lesional psoriatic skin PMID: 22692211
- Tid1 and CHIP play pivotal roles in affecting the levels of ErbB2 protein, and that both are significant prognostic indicators of breast cancer patient survival. PMID: 21710689
- findings denote hTid-1(S) as an essential regulatory component of MetR signaling PMID: 21242965
- hTid1 negatively regulates the expression and transcriptional activity of STAT5b and suppresses the growth of hematopoietic cells transformed by an oncogenic form of STAT5b. PMID: 21106534
- htid is a tissue independent and evolutionarily conserved suppressor of ErbB-2. PMID: 20565727
- amino-terminal segment of APC promotes cell sensitivity to apoptosis modulated through its binding to 40- and 43-kilodalton hTID-1 isoforms. PMID: 19900451
- role as a repressor of Ikappa B kinase beta subunit PMID: 11927590
- Tid-1S in Th2 cells following activation has a role in induction of apoptosis resistance during the activation of Th2 cells PMID: 12879007
- an important cell death regulator and could exert tumor suppressor activity PMID: 15156195
- findings suggest that the status of hTid-1 in gliomas may contribute to their susceptibility to cell death triggers PMID: 15589840
- hTid-1 represses the activity of NF-kappaB through physical and functional interactions with the IKK complex and IkappaB PMID: 15601829
- the carboxyl-terminal end of TID1 (residues 224-429) bound to Trk at the activation loop (Tyr(P)(683)-Tyr(684)(P)(684) PMID: 15753086
- Tid1 is critical for the transition of double-negative to double-positive cells in early T cell development through modulation of antiapoptotic bcl-2 expression. PMID: 15879105
- Tid1 negatively regulates the motility and metastasis of breast cancer cells, most likely through attenuation of nuclear factor kappaB activity on the promoter of the IL8 gene. PMID: 16204048
- hTid1 may act as a chaperone to facilitate the folding, processing and maturation of Epstein-Barr virus-encoded BARF1 protein. PMID: 16518412
- The association of Tid1 with chaperones and/or protein substrates in the cytosol provides a mechanism for the alternate fates and functions of Tid1 in mitochondrial and nonmitochondrial pathways. PMID: 16531398
- The association of the endogenous Tid50/Tid48 proteins with the adenomatous polyposis coli (APC) tumor suppressor is shown. PMID: 17588722
- The expression of the genes htid-1 and APC was altered in colorectal tumors. PMID: 18097612
顯示更多
收起更多
-
亞細胞定位:Mitochondrion matrix. Cytoplasm, cytosol. Cell junction, synapse, postsynaptic cell membrane; Peripheral membrane protein.
-
組織特異性:Widely expressed with highest levels in heart, liver, lung and skeletal muscles. Also expressed in keratinocytes.
-
數據庫鏈接:
Most popular with customers
-
-
YWHAB Recombinant Monoclonal Antibody
Applications: ELISA, WB, IHC, IF, FC
Species Reactivity: Human, Mouse, Rat
-
Phospho-YAP1 (S127) Recombinant Monoclonal Antibody
Applications: ELISA, WB, IHC
Species Reactivity: Human
-
-
-
-
-















