DNAJA3 Antibody
-
中文名稱:DNAJA3兔多克隆抗體
-
貨號:CSB-PA793564
-
規格:¥1100
-
圖片:
-
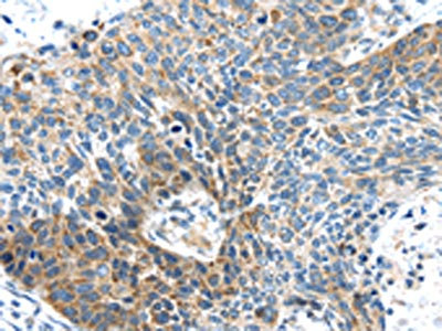
The image on the left is immunohistochemistry of paraffin-embedded Human liver cancer tissue using CSB-PA793564(DNAJA3 Antibody) at dilution 1/30, on the right is treated with fusion protein. (Original magnification: ×200)
-
The image on the left is immunohistochemistry of paraffin-embedded Human esophagus cancer tissue using CSB-PA793564(DNAJA3 Antibody) at dilution 1/30, on the right is treated with fusion protein. (Original magnification: ×200)
-
-
其他:
產品詳情
-
Uniprot No.:
-
基因名:DNAJA3
-
別名:DNAJA3 antibody; HCA57 antibody; TID1DnaJ homolog subfamily A member 3 antibody; mitochondrial antibody; DnaJ protein Tid-1 antibody; hTid-1 antibody; Hepatocellular carcinoma-associated antigen 57 antibody; Tumorous imaginal discs protein Tid56 homolog antibody
-
宿主:Rabbit
-
反應種屬:Human,Mouse
-
免疫原:Full length fusion protein
-
免疫原種屬:Homo sapiens (Human)
-
標記方式:Non-conjugated
-
抗體亞型:IgG
-
純化方式:Antigen affinity purification
-
濃度:It differs from different batches. Please contact us to confirm it.
-
保存緩沖液:-20°C, pH7.4 PBS, 0.05% NaN3, 40% Glycerol
-
產品提供形式:Liquid
-
應用范圍:ELISA,IHC
-
推薦稀釋比:
Application Recommended Dilution ELISA 1:2000-1:5000 IHC 1:25-1:100 -
Protocols:
-
儲存條件:Upon receipt, store at -20°C or -80°C. Avoid repeated freeze.
-
貨期:Basically, we can dispatch the products out in 1-3 working days after receiving your orders. Delivery time maybe differs from different purchasing way or location, please kindly consult your local distributors for specific delivery time.
-
用途:For Research Use Only. Not for use in diagnostic or therapeutic procedures.
相關產品
靶點詳情
-
功能:Modulates apoptotic signal transduction or effector structures within the mitochondrial matrix. Affect cytochrome C release from the mitochondria and caspase 3 activation, but not caspase 8 activation. Isoform 1 increases apoptosis triggered by both TNF and the DNA-damaging agent mytomycin C; in sharp contrast, isoform 2 suppresses apoptosis. Can modulate IFN-gamma-mediated transcriptional activity. Isoform 2 may play a role in neuromuscular junction development as an effector of the MUSK signaling pathway.
-
基因功能參考文獻:
- Impaired stoichiometry between mtHsp40 and mtHsp70 promotes Opa1L cleavage, leading to cristae opening, decreased OXPHOS, and triggering of mitochondrial fragmentation after reduction in their chaperone function. PMID: 25904328
- The Role of the Phylogenetically Conserved Cochaperone Protein Droj2/DNAJA3 in NF-kappaB Signaling. PMID: 26245905
- TID1 prevents complex I aggregation and support the existence of a TID1-mediated stress response to ATP synthase inhibition PMID: 24492964
- Tid1 acts as a tumor suppressor by inhibiting EGFR signaling through interaction with EGFR/HSP70/HSP90 and enhancing EGFR ubiquitinylation and degradation. PMID: 23698466
- Data show that elevated DnaJA3 induces dynamin-related protein 1 (Drp1)-depedendent mitochondrial fragmentation and decreased cell viability. PMID: 22595283
- loss of hTid-1(S) expression in the basal layer of skin epidermis correlates with the enhanced HSP27 phosphorylation, keratinocyte hyperproliferation, and excess actin cytoskeleton organization in lesional psoriatic skin PMID: 22692211
- Tid1 and CHIP play pivotal roles in affecting the levels of ErbB2 protein, and that both are significant prognostic indicators of breast cancer patient survival. PMID: 21710689
- findings denote hTid-1(S) as an essential regulatory component of MetR signaling PMID: 21242965
- hTid1 negatively regulates the expression and transcriptional activity of STAT5b and suppresses the growth of hematopoietic cells transformed by an oncogenic form of STAT5b. PMID: 21106534
- htid is a tissue independent and evolutionarily conserved suppressor of ErbB-2. PMID: 20565727
- amino-terminal segment of APC promotes cell sensitivity to apoptosis modulated through its binding to 40- and 43-kilodalton hTID-1 isoforms. PMID: 19900451
- role as a repressor of Ikappa B kinase beta subunit PMID: 11927590
- Tid-1S in Th2 cells following activation has a role in induction of apoptosis resistance during the activation of Th2 cells PMID: 12879007
- an important cell death regulator and could exert tumor suppressor activity PMID: 15156195
- findings suggest that the status of hTid-1 in gliomas may contribute to their susceptibility to cell death triggers PMID: 15589840
- hTid-1 represses the activity of NF-kappaB through physical and functional interactions with the IKK complex and IkappaB PMID: 15601829
- the carboxyl-terminal end of TID1 (residues 224-429) bound to Trk at the activation loop (Tyr(P)(683)-Tyr(684)(P)(684) PMID: 15753086
- Tid1 is critical for the transition of double-negative to double-positive cells in early T cell development through modulation of antiapoptotic bcl-2 expression. PMID: 15879105
- Tid1 negatively regulates the motility and metastasis of breast cancer cells, most likely through attenuation of nuclear factor kappaB activity on the promoter of the IL8 gene. PMID: 16204048
- hTid1 may act as a chaperone to facilitate the folding, processing and maturation of Epstein-Barr virus-encoded BARF1 protein. PMID: 16518412
- The association of Tid1 with chaperones and/or protein substrates in the cytosol provides a mechanism for the alternate fates and functions of Tid1 in mitochondrial and nonmitochondrial pathways. PMID: 16531398
- The association of the endogenous Tid50/Tid48 proteins with the adenomatous polyposis coli (APC) tumor suppressor is shown. PMID: 17588722
- The expression of the genes htid-1 and APC was altered in colorectal tumors. PMID: 18097612
顯示更多
收起更多
-
亞細胞定位:Mitochondrion matrix. Cytoplasm, cytosol. Cell junction, synapse, postsynaptic cell membrane; Peripheral membrane protein.
-
組織特異性:Widely expressed with highest levels in heart, liver, lung and skeletal muscles. Also expressed in keratinocytes.
-
數據庫鏈接:
Most popular with customers
-
-
YWHAB Recombinant Monoclonal Antibody
Applications: ELISA, WB, IHC, IF, FC
Species Reactivity: Human, Mouse, Rat
-
Phospho-YAP1 (S127) Recombinant Monoclonal Antibody
Applications: ELISA, WB, IHC
Species Reactivity: Human
-
-
-
-
-















