DDX53 Antibody
-
中文名稱:DDX53兔多克隆抗體
-
貨號:CSB-PA343705
-
規格:¥1100
-
圖片:
-
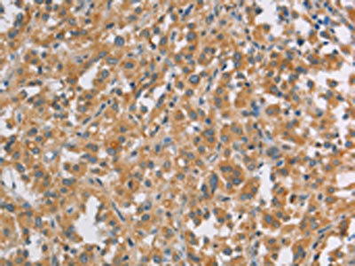
The image on the left is immunohistochemistry of paraffin-embedded Human thyroid cancer tissue using CSB-PA343705(DDX53 Antibody) at dilution 1/40, on the right is treated with fusion protein. (Original magnification: ×200)
-
Gel: 8%SDS-PAGE, Lysate: 40 μg, Lane: HepG2 cells, Primary antibody: CSB-PA343705(DDX53 Antibody) at dilution 1/200, Secondary antibody: Goat anti rabbit IgG at 1/8000 dilution, Exposure time: 1 minute
-
-
其他:
產品詳情
-
Uniprot No.:
-
基因名:
-
別名:CAGE antibody; Cancer associated gene protein antibody; Cancer-associated gene protein antibody; Cancer/testis antigen 26 antibody; CT26 antibody; DDX53 antibody; DDX53_HUMAN antibody; DEAD (Asp Glu Ala Asp) box polypeptide 53 antibody; DEAD box protein 53 antibody; DEAD box protein CAGE antibody; Probable ATP dependent RNA helicase DDX53 antibody; Probable ATP-dependent RNA helicase DDX53 antibody
-
宿主:Rabbit
-
反應種屬:Human
-
免疫原:Fusion protein of Human DDX53
-
免疫原種屬:Homo sapiens (Human)
-
標記方式:Non-conjugated
-
抗體亞型:IgG
-
純化方式:Antigen affinity purification
-
濃度:It differs from different batches. Please contact us to confirm it.
-
保存緩沖液:-20°C, pH7.4 PBS, 0.05% NaN3, 40% Glycerol
-
產品提供形式:Liquid
-
應用范圍:ELISA,WB,IHC
-
推薦稀釋比:
Application Recommended Dilution ELISA 1:2000-1:5000 WB 1:200-1:1000 IHC 1:50-1:200 -
Protocols:
-
儲存條件:Upon receipt, store at -20°C or -80°C. Avoid repeated freeze.
-
貨期:Basically, we can dispatch the products out in 1-3 working days after receiving your orders. Delivery time maybe differs from different purchasing way or location, please kindly consult your local distributors for specific delivery time.
-
用途:For Research Use Only. Not for use in diagnostic or therapeutic procedures.
相關產品
靶點詳情
-
基因功能參考文獻:
- A novel role of DDX53 in regulating cancer stem cell-like properties by binding to SOX-2.DDX53 directly regulates the SOX-2 expression in drug-resistant melanoma cells. PMID: 28535666
- DDX53 promotes stem cell-like properties, autophagy, and confers resistance to anti-cancer drugs in breast cancer cells. PMID: 28152297
- Results provide evidence that miR-30a forms a positive feedback loop with CAGE to regulate the expression of p53 confering resistance to anti-cancer drugs. PMID: 26912082
- miR-217-CAGE feedback loop serves as a target for overcoming resistance to various anti-cancer drugs, including EGFR and HER2 inhibitors. PMID: 26863629
- Results show the direct regulation of CAGE expression by HDAC3 and that HDAC3-CAGE axis regulates the activation of EGFR. HDAC3 targets CAGE to regulate the tumorigenic potential and angiogenic potential of cancer cells. PMID: 26883907
- CAGE induced the interaction between histone deacetylase 2 (HDAC2) and Snail, which exerted a negative effect on p53 expression in neoplastic cells; CAGE confers drug resistance by regulating expression of p53 through HDAC2. PMID: 20534591
- CAGE is expressed in a variety of cancers but not in normal tissues except testis, and might play a role in cellular proliferation. PMID: 11922625
- results suggest that the methylation status of the CpG sites of CAGE determines its expression, and that hypomethylation of CAGE precedes the development of gastric cancer and hepatocellular carcinoma PMID: 12849980
- CAGE promotes motility of cancer cells through activation of focal adhesion kinase (FAK). PMID: 17028776
- Hypomethylated CAGE promoter CpG islands are frequently involved in uterine cervical carcinogenesis. PMID: 17341616
- The CAGE gene is widely expressed in various cancer tissues and cancer cell lines. PMID: 18388483
顯示更多
收起更多
-
亞細胞定位:Nucleus.
-
蛋白家族:DEAD box helicase family
-
組織特異性:Expressed in testis. Wide expression in various cancer tissues and cancer cell lines.
-
數據庫鏈接:
Most popular with customers
-
-
YWHAB Recombinant Monoclonal Antibody
Applications: ELISA, WB, IHC, IF, FC
Species Reactivity: Human, Mouse, Rat
-
Phospho-YAP1 (S127) Recombinant Monoclonal Antibody
Applications: ELISA, WB, IHC
Species Reactivity: Human
-
-
-
-
-















