BAG3 Antibody
-
中文名稱:BAG3兔多克隆抗體
-
貨號:CSB-PA056537
-
規格:¥1100
-
圖片:
-
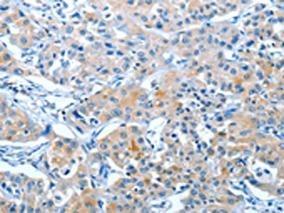
The image on the left is immunohistochemistry of paraffin-embedded Human esophagus cancer tissue using CSB-PA056537(BAG3 Antibody) at dilution 1/20, on the right is treated with fusion protein. (Original magnification: ×200)
-
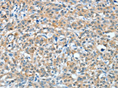
The image on the left is immunohistochemistry of paraffin-embedded Human lung cancer tissue using CSB-PA056537(BAG3 Antibody) at dilution 1/20, on the right is treated with fusion protein. (Original magnification: ×200)
-
Gel: 8%SDS-PAGE, Lysate: 40 μg, Lane 1-2: Mouse muscle tissue, K562 cells, Primary antibody: CSB-PA056537(BAG3 Antibody) at dilution 1/350, Secondary antibody: Goat anti rabbit IgG at 1/8000 dilution, Exposure time: 20 seconds
-
-
其他:
產品詳情
-
Uniprot No.:
-
基因名:
-
別名:BAG 3 antibody; BAG family molecular chaperone regulator 3 antibody; BAG-3 antibody; Bag3 antibody; BAG3_HUMAN antibody; Bcl 2 binding protein antibody; Bcl-2-associated athanogene 3 antibody; Bcl-2-binding protein Bis antibody; BCL2 associated athanogene 3 antibody; BCL2 binding athanogene 3 antibody; BIS antibody; CAIR 1 antibody; Docking protein CAIR 1 antibody; Docking protein CAIR-1 antibody; MFM6 antibody
-
宿主:Rabbit
-
反應種屬:Human,Mouse
-
免疫原:Fusion protein of Human BAG3
-
免疫原種屬:Homo sapiens (Human)
-
標記方式:Non-conjugated
-
抗體亞型:IgG
-
純化方式:Antigen affinity purification
-
濃度:It differs from different batches. Please contact us to confirm it.
-
保存緩沖液:-20°C, pH7.4 PBS, 0.05% NaN3, 40% Glycerol
-
產品提供形式:Liquid
-
應用范圍:ELISA,WB,IHC
-
推薦稀釋比:
Application Recommended Dilution ELISA 1:1000-1:2000 WB 1:500-1:2000 IHC 1:15-1:50 -
Protocols:
-
儲存條件:Upon receipt, store at -20°C or -80°C. Avoid repeated freeze.
-
貨期:Basically, we can dispatch the products out in 1-3 working days after receiving your orders. Delivery time maybe differs from different purchasing way or location, please kindly consult your local distributors for specific delivery time.
-
用途:For Research Use Only. Not for use in diagnostic or therapeutic procedures.
相關產品
靶點詳情
-
功能:Co-chaperone for HSP70 and HSC70 chaperone proteins. Acts as a nucleotide-exchange factor (NEF) promoting the release of ADP from the HSP70 and HSC70 proteins thereby triggering client/substrate protein release. Nucleotide release is mediated via its binding to the nucleotide-binding domain (NBD) of HSPA8/HSC70 where as the substrate release is mediated via its binding to the substrate-binding domain (SBD) of HSPA8/HSC70. Has anti-apoptotic activity. Plays a role in the HSF1 nucleocytoplasmic transport.
-
基因功能參考文獻:
- There was no association of SNPs in ADRB1, GRK5 and BAG3 genes with Takotsubo cardiomyopathy. PMID: 29514624
- These findings provide a molecular basis for understanding of BAG3dependent cell proliferation and survival from the aspect of alteration of gene expression. PMID: 30106105
- BAG3 can modulate the levels, localization or activity of its partner proteins, thereby regulating major cell pathways and functions, including apoptosis, autophagy, mechanotransduction, cytoskeleton organisation, motility. PMID: 28864347
- Genetic and pharmacological interference with BAG3 is capable to resensitize TNBC cells to treatment. PMID: 29462756
- The HSF1-BAG3-Mcl-1 signal axis is critical for protection of mutant KRAS colon cancer cells from AUY922-induced apoptosis. PMID: 29068469
- The Hsp70-Bag3 complex therefore functions as an important signaling node that senses proteotoxicity and triggers multiple pathways that control cell physiology, including activation of protein aggregation. PMID: 29987014
- study revealed oncogenic roles of BAG3 in chondrosarcoma and provided mechanisms that the BAG3-modulated the expression of RUNX2 through upregulation of beta-catenin. PMID: 29484408
- BAG3 interacted with CXCR4 mRNA and promoted its expression via its coding and 3'-untranslational regions. PMID: 28703799
- Silencing of HSPB8 markedly decreased the mitotic levels of BAG3 in HeLa cells, supporting its crucial role in BAG3 mitotic functions. The results support a role for the HSPB8-BAG3 chaperone complex in quality control of actin-based structure dynamics that are put under high tension, notably during cell cytokinesis. PMID: 28275944
- Our findings suggest that high levels of BIS expression might confer stem-cell-like properties on cancer cells through STAT3 stabilization PMID: 27145367
- modulation of proteostasis is a distinct biological function of sAPPalpha and does not require surface-bound holo-APP. PMID: 26526841
- higher levels of BAG3 were observed in hypertensive patients compared to healthy controls, and even higher levels in hypertensive diabetic patients compared to healthy subjects. PMID: 28696030
- BAG3 directly stabilizes hexokinase 2 mRNA and promotes aerobic glycolysis in pancreatic cancer cells. PMID: 29114069
- These results indicated that at least some oncogenic functions of BAG3 were mediated through posttranscriptional regulation of Skp2 via antagonizing suppressive action of miR-21-5p in ovarian cancer cells. PMID: 28624440
- Familial suffering of Dilated cardiomyopathy and carrying a heterozygous large deletion in the BAG3 gene.This gene encodes BCL2-associated athanogene 3 protein. PMID: 27736720
- BAG3 mutations are associated with DCM phenotypes. BAG3 should be added to cardiomyopathy gene panels for screening of DCM patients, and patients previously considered gene elusive should undergo sequencing of the BAG3 gene. PMID: 28211974
- The spatial regulation of mTORC1 exerted by BAG3 apparently provides the basis for a simultaneous induction of autophagy and protein synthesis to maintain the proteome under mechanical strain. PMID: 27756573
- This study therefore identifies both BAG3 reduction and autophagy promotion as potential therapies for FLNC(W2710X) myofibrillar myopathy, and identifies protein insufficiency due to sequestration, compounded by impaired autophagy, as the cause. PMID: 26969713
- variants in TNNT2 and BAG3 are associated with a high propensity to life-threatening cardiomyopathy presenting from childhood and young adulthood. PMID: 28669108
- It has been demonstrated that HSPB8-BAG3-HSP70 ensures the functionality of stress granules and restores proteostasis by targeting defective ribosomal products for degradation. PMID: 27570075
- Study report p.H243Tfr*64_BAG3 as a novel pathogenic variation responsible for familial dilated cardiomyopathy. This variation correlates with a more severe phenotype of the disease, mainly in younger individuals. PMID: 27391596
- The authors propose that the chaperone-mediated autophagy function of BAG3 represents a specific host defense strategy to counteract the function of VP40 in promoting efficient egress and spread of virus particles. PMID: 28076420
- BAG3 bound to Hsp70 at the same time as Hsp22, Hsp27, or alphaB-crystallin, suggesting that it might physically bring the chaperone families together into a complex. PMID: 27884606
- These results suggest that Bag1 and Bag3 control the stability of the Hsc70-client complex using at least two distinct protein-protein contacts, providing a previously under-appreciated layer of molecular regulation in the human Hsc70 system. PMID: 27474739
- we report the first mammalian model of a single amino acid mutation of BAG3 (P209L) in exon 3 of Bag3 associated with the development of muscle disease with left ventricular dysfunction and heart failure PMID: 27321750
- High BAG3 expression Correlates with Sebaceous Gland Carcinoma of the Eyelid. PMID: 28373462
- These results indicate a possible role for BAG3 protein in the maintenance of cell survival in endometrioid endometrial cancer. PMID: 27414463
- By showing transcription factor HSF1 activation, we demonstrated that HCA induces the expression of BAG3 through HSF1 activation. More importantly, knockdown of BAG3 expression using siRNA largely inhibited HCA-induced apoptosis, suggesting that BAG3 is actively involved in HCA-induced cancer cell death PMID: 27922674
- These results provide further insight into the molecular mechanisms involved in the enhancement of hyperthermia sensitivity by the silencing of BAG3 in human oral squamous cell carcinoma cells. PMID: 27245201
- high expression of BAG3 was detected in a majority of medulloblastoma tissues and predicted poor outcome for medulloblastoma patients. PMID: 27456361
- in the present study, we demonstrated that BAG3 overexpression plays a critical role in cell proliferation, migration, and invasion of colorectal cancer. Our data suggests targeted inhibition of BAG3 may be useful for patients with colorectal cancer PMID: 26577854
- BAG3 maintains the basal amount of LC3B protein by controlling the translation of its mRNA in HeLa and HEK293 cells. PMID: 26654586
- Data indicate a tumor suppressor-like function of Bcl-2 associated athanogene 3 (BAG3) via direct interaction with glucose 6 phosphate dehydrogenase (G6PD) in hepatocellular carcinomas (HCCs) at the cellular level. PMID: 26621836
- BAG3 is associated with Z-disc maintenance. PMID: 26545904
- BAG3 is a suitable target for combined therapies aimed at synergistically inducing apoptosis in bladder cancer. PMID: 26100943
- Bis expression was higher in squamous cell carcinoma than in adenocarcinoma in Lung Cancer. PMID: 25968616
- BAG3 promotes pancreatic ductal adenocarcinoma growth by activating stromal macrophages. PMID: 26522614
- BAG3-mediated miRNA let-7g and let-7i inhibit proliferation and enhance apoptosis of human esophageal carcinoma cells by targeting the drug transporter ABCC10 and modulates cisplatin resistance. PMID: 26655271
- This newly described ERa-mediated and estrogen response element (ERE)-independent non-canonical autophagy pathway, which involves the function of BAG3 and provides stress resistance in our model systems. PMID: 26158518
- BAG3 protein loci is involved in the pathophysiology of systolic heart failure. PMID: 25889438
- MiR-143 enhanced the tumor suppressive effect of shikonin partly through the regulation of BAG3 in glioblastoma stem cells. PMID: 26541455
- The Hsp70-Bag3 interaction may be a promising, new target for anticancer therapy. PMID: 25564440
- BAG3 mutations should be considered even in cases with a mild phenotype or an adult onset PMID: 25208129
- The stress response protein BAG3 may be prognostic for death in patients with acutely decompensated heart failure. PMID: 25753466
- BAG-3 expression correlated with increased HSP70 expression in a subset of systemic T cell lymphoma cases co-expressing the CD30 antigen. PMID: 24492285
- To examine the relationships among BAG3, miR-29b and MMP2 in endometrioid adenocarcinoma cells. PMID: 25738313
- Upon glucose stimulation BAG3 is phosphorylated by FAK and dissociates from SNAP-25 allowing the formation of the SNARE complex, destabilization of the F-actin network and insulin release. PMID: 25766323
- Studies indicate that heat shock protein Hsp70 (Hsp70) regulates multiple pathways in cancer cells via interaction with Bcl2-associated athanogene 3 protein (BAG3) co-chaperone. PMID: 25347739
- BAG3 plays a key role in the processing of the nucleocytoplasmic shuttling of HSF1 upon heat stress PMID: 26159920
- HIV-1 Tat protein is able to stimulate autophagy through increasing BAG3 levels in glial cells. PMID: 25483098
顯示更多
收起更多
-
相關疾病:Myopathy, myofibrillar, 6 (MFM6); Cardiomyopathy, dilated 1HH (CMD1HH)
-
亞細胞定位:Nucleus. Cytoplasm.
-
數據庫鏈接:
Most popular with customers
-
-
YWHAB Recombinant Monoclonal Antibody
Applications: ELISA, WB, IHC, IF, FC
Species Reactivity: Human, Mouse, Rat
-
Phospho-YAP1 (S127) Recombinant Monoclonal Antibody
Applications: ELISA, WB, IHC
Species Reactivity: Human
-
-
-
-
-















