TUBE1 Monoclonal Antibody
-
中文名稱:TUBE1鼠單克隆抗體
-
貨號:CSB-MA670945
-
規格:¥1090
-
圖片:
-
其他:
產品詳情
-
產品描述:TUBE1單克隆抗體(CUSABIO貨號:CSB-MA670945)是一款科研級雜交瘤來源試劑,適用于人、小鼠及大鼠樣本的ELISA與免疫組化(IHC)檢測。該抗體針對TUBE1靶點設計,該蛋白作為微管調控網絡的關鍵組分,在細胞分裂、胞內運輸及細胞形態維持等基礎生物學過程中發揮重要作用。產品經嚴格的免疫原篩選與純化工藝,確保對目標蛋白的高親和力結合特性,可滿足ELISA實驗中定量檢測需求,同時在IHC應用中實現組織層面的精準定位分析。其跨物種反應性支持多種模式生物研究體系,適用于細胞周期調控、微管動態組裝機制探索及腫瘤微環境相關的基礎研究領域,為分子生物學、細胞功能研究提供高效實驗工具。
-
Uniprot No.:
-
基因名:TUBE1
-
別名:dJ142L7.2 antibody; Epsilon-tubulin antibody; FLJ22589 antibody; FLJ44203 antibody; OTTHUMP00000040425 antibody; TBE_HUMAN antibody; TUBE 1 antibody; TUBE antibody; TUBE1 antibody; Tubulin epsilon 1 antibody; Tubulin epsilon antibody; Tubulin epsilon chain antibody
-
宿主:Mouse
-
反應種屬:Human,Mouse,Rat
-
免疫原:Synthetic Peptide of Epsilon Tubulin
-
免疫原種屬:Homo sapiens (Human)
-
標記方式:Non-conjugated
-
純化方式:The antibody was affinity-purified from mouse ascites by affinity-chromatography using specific immunogen.
-
克隆號:5E4
-
濃度:It differs from different batches. Please contact us to confirm it.
-
保存緩沖液:Liquid in PBS containing 50% glycerol, 0.5% BSA and 0.02% sodium azide.
-
產品提供形式:Liquid
-
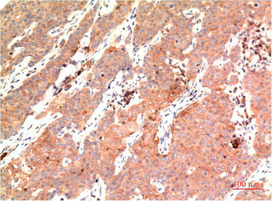
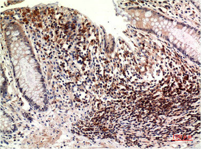
應用范圍:ELISA,IHC
-
推薦稀釋比:
Application Recommended Dilution IHC 1:100-1:200 -
Protocols:
-
儲存條件:Upon receipt, store at -20°C or -80°C. Avoid repeated freeze.
-
貨期:Basically, we can dispatch the products out in 1-3 working days after receiving your orders. Delivery time maybe differs from different purchasing way or location, please kindly consult your local distributors for specific delivery time.
-
用途:For Research Use Only. Not for use in diagnostic or therapeutic procedures.
相關產品
靶點詳情
-
基因功能參考文獻:
- EB1 recognizes the nucleotide state of tubulin in the microtubule lattice PMID: 19851462
-
亞細胞定位:Cytoplasm, cytoskeleton, microtubule organizing center, centrosome.
-
蛋白家族:Tubulin family
-
數據庫鏈接:
Most popular with customers
-
-
YWHAB Recombinant Monoclonal Antibody
Applications: ELISA, WB, IHC, IF, FC
Species Reactivity: Human, Mouse, Rat
-
Phospho-YAP1 (S127) Recombinant Monoclonal Antibody
Applications: ELISA, WB, IHC
Species Reactivity: Human
-
-
-
-
-















