TUBE1 Monoclonal Antibody
-
中文名稱:TUBE1鼠單克隆抗體
-
貨號:CSB-MA310930
-
規格:¥1090
-
圖片:
-
其他:
產品詳情
-
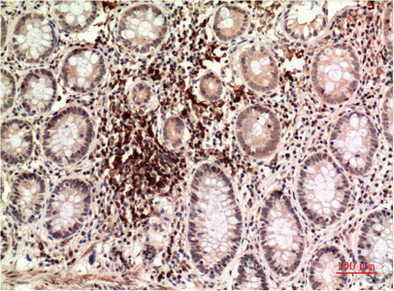
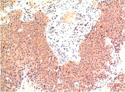
產品描述:TUBE1單克隆抗體(CUSABIO貨號:CSB-MA310930)是針對細胞周期調控關鍵因子TUBE1研發的高特異性科研試劑,該靶點作為MAP3K4復合物的核心組分,在調控有絲分裂進程和DNA損傷修復通路中發揮重要作用,是研究細胞增殖與信號轉導機制的重要對象。本產品采用雜交瘤技術制備,抗體亞型為IgG1,宿主為BALB/c小鼠,經過Protein G親和層析純化,適用于人、小鼠、大鼠等多物種樣本的ELISA免疫檢測及石蠟切片免疫組化(IHC)分析。其高親和力特性可在多種實驗體系中實現TUBE1蛋白的精準定位與定量,廣泛應用于細胞周期動力學研究、腫瘤發生機制探索以及基因功能驗證等領域,尤其適合用于檢測組織或細胞模型中TUBE1的表達水平變化。該抗體經嚴格質控驗證,具備良好的批次穩定性與低交叉反應性,為分子生物學、細胞生物學等領域的科研工作者提供可靠工具,助力于癌癥生物學、發育調控等前沿課題研究。本產品僅限科學研究使用,不適用于診斷或治療用途。
-
Uniprot No.:
-
基因名:TUBE1
-
別名:dJ142L7.2 antibody; Epsilon-tubulin antibody; FLJ22589 antibody; FLJ44203 antibody; OTTHUMP00000040425 antibody; TBE_HUMAN antibody; TUBE 1 antibody; TUBE antibody; TUBE1 antibody; Tubulin epsilon 1 antibody; Tubulin epsilon antibody; Tubulin epsilon chain antibody
-
宿主:Mouse
-
反應種屬:Human,Mouse,Rat
-
免疫原:Synthetic Peptide of Epsilon Tubulin
-
免疫原種屬:Homo sapiens (Human)
-
標記方式:Non-conjugated
-
純化方式:The antibody was affinity-purified from mouse ascites by affinity-chromatography using specific immunogen.
-
克隆號:17G5
-
濃度:It differs from different batches. Please contact us to confirm it.
-
保存緩沖液:Liquid in PBS containing 50% glycerol, 0.5% BSA and 0.02% sodium azide.
-
產品提供形式:Liquid
-
應用范圍:ELISA,IHC
-
推薦稀釋比:
Application Recommended Dilution IHC 1:100-1:200 -
Protocols:
-
儲存條件:Upon receipt, store at -20°C or -80°C. Avoid repeated freeze.
-
貨期:Basically, we can dispatch the products out in 1-3 working days after receiving your orders. Delivery time maybe differs from different purchasing way or location, please kindly consult your local distributors for specific delivery time.
-
用途:For Research Use Only. Not for use in diagnostic or therapeutic procedures.
相關產品
靶點詳情
-
基因功能參考文獻:
- EB1 recognizes the nucleotide state of tubulin in the microtubule lattice PMID: 19851462
-
亞細胞定位:Cytoplasm, cytoskeleton, microtubule organizing center, centrosome.
-
蛋白家族:Tubulin family
-
數據庫鏈接:
Most popular with customers
-
-
YWHAB Recombinant Monoclonal Antibody
Applications: ELISA, WB, IHC, IF, FC
Species Reactivity: Human, Mouse, Rat
-
Phospho-YAP1 (S127) Recombinant Monoclonal Antibody
Applications: ELISA, WB, IHC
Species Reactivity: Human
-
-
-
-
-















