XBP1
XBP1,全稱為 X-box binding protein 1,也被稱為 Tax-responsive element-binding protein 5 (TREB-5) 或 X-box-binding protein 1。該蛋白屬于堿性亮氨酸拉鏈 (bZIP) 轉錄因子家族,在未折疊蛋白反應 (UPR) 和內質網應激 (ER stress) 的調控中發揮著關鍵作用。XBP1 蛋白有兩種剪接形式:未剪接的非活性形式 XBP1u 和剪接后的活性形式 XBP1s。正常情況下,XBP1u 蛋白主要位于細胞質中,而 XBP1s 蛋白則被轉運至細胞核,參與靶基因的表達調控。當細胞遭遇內質網應激時,IRE1α 酶會剪接 XBP1u 的 mRNA,產生 XBP1s,進而激活一系列靶基因的表達,幫助細胞恢復蛋白質穩態。XBP1 的靶基因主要涉及內質網相關降解 (ERAD)、分子伴侶合成和脂質代謝等。XBP1 蛋白的功能異常與多種疾病相關,如糖尿病、神經退行性疾?。ò柎暮D?、帕金森病)和癌癥。在癌癥中,XBP1 的過度表達可能促進腫瘤細胞存活和耐藥性,而 XBP1 缺失可能導致內質網應激加劇,引發細胞凋亡。此外,XBP1 蛋白還參與免疫系統的調控,如漿細胞的分化和抗體分泌,其突變可能導致免疫缺陷。目前,針對 XBP1 蛋白的藥物研發主要集中在調控 UPR 信號通路,以期治療癌癥、糖尿病和神經退行性疾病等。
熱銷產品
XBP1 Recombinant Monoclonal Antibody (CSB-RA119872A0HU)
驗證數據
Western Blot
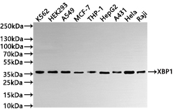
Positive WB detected in: K562 whole cell lysate(30μg), HEK293 whole cell lysate(30μg), A549 whole cell lysate(30μg), MCF-7 whole cell lysate(30μg), THP-1 whole cell lysate(30μg), HepG2 whole cell lysate(30μg), A431 whole cell lysate(30μg), HeLa whole cell lysate(30μg), Raji whole cell lysate(30μg)
All lanes: XBP1 antibody at 1:1000
Secondary
Goat polyclonal to rabbit IgG at 1/40000 dilution
Predicted band size: 29 kDa
Observed band size: 35 kDa
Exposure time:2min
Overlay Peak curve showing MCF-7 cells stained with CSB-RA119872A0HU (red line) at 1:100. The cells were fixed in 4% formaldehyde and permeated by 0.2% TritonX-100 for 10min. Then 10% normal goat serum to block non-specific protein-protein interactions followed by the antibody (1ug/1*106cells) for 45min at 4℃. The secondary antibody used was FITC-conjugated goat anti-rabbit IgG (H+L) at 1/200 dilution for 35min at 4℃.Control antibody (green line) was Rabbit IgG (1ug/1*106cells) used under the same conditions. Acquisition of >10,000 events was performed.
XBP1 Antibody (CSB-PA05319A0Rb)
驗證數據
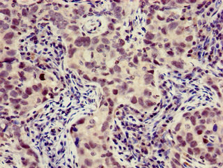
Immunohistochemistry of paraffin-embedded human liver cancer using CSB-PA05319A0Rb at dilution of 1:100
Immunohistochemistry of paraffin-embedded human pancreatic cancer using CSB-PA05319A0Rb at dilution of 1:100
Immunofluorescent analysis of Hela cells using CSB-PA05319A0Rb at dilution of 1:100 and Alexa Fluor 488-congugated AffiniPure Goat Anti-Rabbit IgG(H+L)
Human X-box-binding protein 1(XBP1) ELISA kit (CSB-EL026183HU)
驗證數據
貨號:CSB-EL026183HU
規格:96T/48T
靈敏度:3.12 pg/mL
檢測范圍:12.5 pg/mL-800 pg/mL
These standard curves are provided for demonstration only. A standard curve should be generated for each set of samples assayed.
XBP1 Antibodies
XBP1 for Homo sapiens (Human)
| 產品貨號 | 產品名稱 | 種屬反應性 | 應用類型 |
|---|---|---|---|
| CSB-PA026183KA01HU | XBP1 Antibody | Human, Mouse, Rat | ELISA, WB, IF |
| CSB-PA027191 | XBP1 Antibody | Human | ELISA,IHC |
| CSB-PA748751 | XBP1 Antibody | Human | ELISA,IHC |
| CSB-PA05319A0Rb | XBP1 Antibody | Human | ELISA, IHC, IF |
| CSB-PA05319B0Rb | XBP1 Antibody, HRP conjugated | Human | ELISA |
| CSB-PA05319C0Rb | XBP1 Antibody, FITC conjugated | Human | |
| CSB-PA05319D0Rb | XBP1 Antibody, Biotin conjugated | Human | ELISA |
| CSB-RA119872A0HU | XBP1 Recombinant Monoclonal Antibody | Human | ELISA, WB, FC |
XBP1 Proteins
XBP1 Proteins for Homo sapiens (Human)
| 產品貨號 | 產品名稱 | 來源 |
|---|---|---|
| CSB-YP026183HU CSB-EP026183HU CSB-BP026183HU CSB-MP026183HU CSB-EP026183HU-B |
Recombinant Human X-box-binding protein 1 (XBP1), partial | Yeast E.coli Baculovirus Mammalian cell In Vivo Biotinylation in E.coli |
XBP1 Proteins for Mus musculus (Mouse)
| 產品貨號 | 產品名稱 | 來源 |
|---|---|---|
| CSB-YP026183MO CSB-EP026183MO CSB-BP026183MO CSB-MP026183MO CSB-EP026183MO-B |
Recombinant Mouse X-box-binding protein 1 (Xbp1) | Yeast E.coli Baculovirus Mammalian cell In Vivo Biotinylation in E.coli |
XBP1 Proteins for Saccharomyces cerevisiae (strain ATCC 204508 / S288c) (Baker's yeast)
| 產品貨號 | 產品名稱 | 來源 |
|---|---|---|
| CSB-YP334724SVG CSB-EP334724SVG CSB-BP334724SVG CSB-MP334724SVG CSB-EP334724SVG-B |
Recombinant Saccharomyces cerevisiae Transcriptional repressor XBP1 (XBP1), partial | Yeast E.coli Baculovirus Mammalian cell In Vivo Biotinylation in E.coli |
XBP1 Proteins for Bos taurus (Bovine)
| 產品貨號 | 產品名稱 | 來源 |
|---|---|---|
| CSB-YP666193BO CSB-EP666193BO CSB-BP666193BO CSB-MP666193BO CSB-EP666193BO-B |
Recombinant Bovine X-box-binding protein 1 (XBP1) | Yeast E.coli Baculovirus Mammalian cell In Vivo Biotinylation in E.coli |
XBP1 Proteins for Rattus norvegicus (Rat)
| 產品貨號 | 產品名稱 | 來源 |
|---|---|---|
| CSB-YP865646RA CSB-EP865646RA CSB-BP865646RA CSB-MP865646RA CSB-EP865646RA-B |
Recombinant Rat X-box-binding protein 1 (Xbp1) | Yeast E.coli Baculovirus Mammalian cell In Vivo Biotinylation in E.coli |
XBP1 ELISA Kit
XBP1 ELISA Kit for Homo sapiens (Human)
| 產品貨號 | 產品名稱 | 樣本類型 | 靈敏度 |
|---|---|---|---|
| CSB-EL026183HU | Human X-box-binding protein 1(XBP1) ELISA kit | serum, plasma, tissue homogenates, cell lysates | 3.12 pg/mL |






