VEGFC
VEGFC,全稱為血管內皮生長因子C,是一種重要的血管生成和淋巴管生成因子。它也被稱為VEGF-C、VEGF C、血管內皮生長因子相關蛋白、Flt4-Ligand等。VEGFC主要作用于淋巴管內皮細胞,通過其受體VEGFR-3促進淋巴管的生長、存活和遷移,從而在淋巴管生成中發揮關鍵作用。VEGFC在胚胎發育和成人淋巴管系統的維持中均扮演重要角色。VEGFC的過度表達可能導致淋巴管擴張,進而可能促進腫瘤的轉移。VEGFC已成為抗腫瘤治療的重要靶點,針對VEGFC的藥物研發已取得顯著進展。例如,信達生物研發的抗VEGF-A/VEGF-C雙特異性抗體IBI333已在國內獲批臨床,用于治療新生血管性年齡相關性黃斑變性。IBI333通過同時靶向VEGF-A和VEGF-C,能夠更有效地抑制血管新生和改善血管滲漏,為VEGFC相關疾病的治療提供了新的選擇。
熱銷產品
Recombinant Human Vascular endothelial growth factor C (VEGFC) (CSB-EP025835HU)
驗證數據
(Tris-Glycine gel) Discontinuous SDS-PAGE (reduced) with 5% enrichment gel and 15% separation gel.
VEGFC Antibody (CSB-PA07545A0Rb)
驗證數據
Western Blot
Positive WB detected in: 293T whole cell lysate
All lanes: VEGFC antibody at 2µg/ml
Secondary
Goat polyclonal to rabbit IgG at 1/15000 dilution
Predicted band size: 47 kDa
Observed band size: 47 kDa
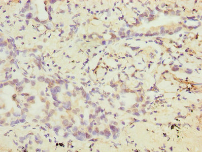
Immunohistochemistry of paraffin-embedded human lung cancer using CSB-PA07545A0Rb at dilution of 1:100
Human Vascular Endothelial cell Growth Factor C,VEGF-C ELISA KIT (CSB-E04759h)
驗證數據
貨號:CSB-E04759h
規格:96T/48T
靈敏度:3.9 pg/mL
檢測范圍:15.6 pg/mL-1000 pg/mL
These standard curves are provided for demonstration only. A standard curve should be generated for each set of samples assayed.
VEGFC Antibodies
VEGFC for Homo sapiens (Human)
| 產品貨號 | 產品名稱 | 種屬反應性 | 應用類型 |
|---|---|---|---|
| CSB-PA07545A0Rb | VEGFC Antibody | Human | ELISA, WB, IHC |
| CSB-PA07545B0Rb | VEGFC Antibody, HRP conjugated | Human | ELISA |
| CSB-PA07545C0Rb | VEGFC Antibody, FITC conjugated | Human | |
| CSB-PA07545D0Rb | VEGFC Antibody, Biotin conjugated | Human | ELISA |
| CSB-PA005364 | VEGFC Antibody | Human,Mouse,Rat | WB, ELISA |
VEGFC for Mus musculus (Mouse)
| 產品貨號 | 產品名稱 | 種屬反應性 | 應用類型 |
|---|---|---|---|
| CSB-PA07725A0Rb | Vegfc Antibody | Mouse | ELISA |
| CSB-PA07725B0Rb | Vegfc Antibody, HRP conjugated | Mouse | ELISA |
| CSB-PA07725C0Rb | Vegfc Antibody, FITC conjugated | Mouse | |
| CSB-PA07725D0Rb | Vegfc Antibody, Biotin conjugated | Mouse | ELISA |
| CSB-PA025835LA01MO | Vegfc Antibody | Mouse | ELISA |
| CSB-PA025835LC01MO | Vegfc Antibody, FITC conjugated | Mouse | |
| CSB-PA025835LD01MO | Vegfc Antibody, Biotin conjugated | Mouse | ELISA |
VEGFC Proteins
VEGFC Proteins for Mus musculus (Mouse)
| 產品貨號 | 產品名稱 | 來源 |
|---|---|---|
| CSB-YP025835MO | Recombinant Mouse Vascular endothelial growth factor C (Vegfc) | Yeast |
| CSB-EP025835MO | Recombinant Mouse Vascular endothelial growth factor C (Vegfc) | E.coli |
| CSB-BP025835MO CSB-MP025835MO CSB-EP025835MO-B |
Recombinant Mouse Vascular endothelial growth factor C (Vegfc) | Baculovirus Mammalian cell In Vivo Biotinylation in E.coli |
VEGFC Proteins for Homo sapiens (Human)
| 產品貨號 | 產品名稱 | 來源 |
|---|---|---|
| CSB-YP025835HU CSB-EP025835HU CSB-BP025835HU CSB-MP025835HU CSB-EP025835HU-B |
Recombinant Human Vascular endothelial growth factor C (VEGFC) | Yeast E.coli Baculovirus Mammalian cell In Vivo Biotinylation in E.coli |
| CSB-EP025835HU | Recombinant Human Vascular endothelial growth factor C (VEGFC) | E.coli |
| CSB-BP025835HU(A4) | Recombinant Human Vascular endothelial growth factor C (VEGFC) | Baculovirus |
| CSB-BP025835HU(A4)c7 | Recombinant Human Vascular endothelial growth factor C (VEGFC) | Baculovirus |
VEGFC Proteins for Rattus norvegicus (Rat)
| 產品貨號 | 產品名稱 | 來源 |
|---|---|---|
| CSB-YP025835RA CSB-EP025835RA CSB-BP025835RA CSB-MP025835RA CSB-EP025835RA-B |
Recombinant Rat Vascular endothelial growth factor C (Vegfc) | Yeast E.coli Baculovirus Mammalian cell In Vivo Biotinylation in E.coli |
VEGFC ELISA Kit
VEGFC ELISA Kit for Homo sapiens (Human)
| 產品貨號 | 產品名稱 | 樣本類型 | 靈敏度 |
|---|---|---|---|
| CSB-E04759h | Human Vascular Endothelial cell Growth Factor C,VEGF-C ELISA KIT | serum, plasma, tissue homogenates | 3.9 pg/mL |
VEGFC ELISA Kit for Mus musculus (Mouse)
| 產品貨號 | 產品名稱 | 樣本類型 | 靈敏度 |
|---|---|---|---|
| CSB-E07361m | Mouse Vascular Endothelial cell Growth Factor C,VEGF-C ELISA kit | serum, plasma, cell culture supernates, tissue homogenates, cell lysates | 0.39 pg/mL |






