USP8
USP8,全稱為泛素特異性肽酶8,是一種在細胞調節中發揮關鍵作用的水解酶。它通過有效去除蛋白質中的泛素修飾,防止蛋白質降解,從而在蛋白質周轉中發揮著至關重要的作用。USP8蛋白的活性跨越“Lys-48”和“Lys-63”連接的泛素鏈,使其能夠去泛素化多種底物蛋白,參與細胞內多種生理過程。USP8蛋白與多種信號通路相關,例如Wnt/β-catenin信號通路,通過穩定β-catenin蛋白,從而促進腫瘤生長。此外,USP8蛋白還與內體動力學、貨物分類和膜運輸等過程密切相關。USP8蛋白的異常表達或功能異常與多種疾病的發生發展有關,包括垂體腺瘤、庫欣病、自體隱性痙攣性截癱等。針對USP8蛋白的藥物研發已取得一定進展,例如靶向USP8的小分子抑制劑可顯著抑制肝癌細胞活性,為腫瘤治療提供了新的思路。
熱銷產品
USP8 Antibody (CSB-PA025752ESR2HU)
驗證數據
Western blot
All lanes: USP8 antibody at 14μg/ml + 293T whole cell lysate
Secondary
Goat polyclonal to rabbit IgG at 1/10000 dilution
Predicted band size: 128, 116 kDa
Observed band size: 128 kDa
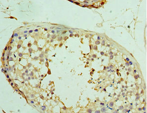
Immunohistochemistry of paraffin-embedded human testis tissue using CSB-PA025752ESR2HU at dilution of 1:100
USP8 Antibodies
USP8 for Homo sapiens (Human)
| 產品貨號 | 產品名稱 | 種屬反應性 | 應用類型 |
|---|---|---|---|
| CSB-PA025752ESR2HU | USP8 Antibody | Human | ELISA, WB, IHC |
USP8 Proteins
USP8 Proteins for Homo sapiens (Human)
| 產品貨號 | 產品名稱 | 來源 |
|---|---|---|
| CSB-YP025752HU CSB-EP025752HU CSB-BP025752HU CSB-MP025752HU CSB-EP025752HU-B |
Recombinant Human Ubiquitin carboxyl-terminal hydrolase 8 (USP8), partial | Yeast E.coli Baculovirus Mammalian cell In Vivo Biotinylation in E.coli |
USP8 Proteins for Mus musculus (Mouse)
| 產品貨號 | 產品名稱 | 來源 |
|---|---|---|
| CSB-YP768878MO CSB-EP768878MO CSB-BP768878MO CSB-MP768878MO CSB-EP768878MO-B |
Recombinant Mouse Ubiquitin carboxyl-terminal hydrolase 8 (Usp8), partial | Yeast E.coli Baculovirus Mammalian cell In Vivo Biotinylation in E.coli |






