ULBP2
ULBP2,即UL16結合蛋白2,別名N2DL2、RAET1H、NKG2DL2、ALCAN-alpha。它是一種主要組織相容性復合體(MHC)I類相關分子,由人類基因編碼,位于染色體6q25.1上。
ULBP2與自然殺傷(NK)細胞上的NKG2D受體結合,觸發多種細胞因子和趨化因子的釋放,從而促進NK細胞的募集和激活。許多惡性細胞會分泌這種蛋白質,以逃避NK細胞的免疫監視。
ULBP2在抗感染免疫、抗腫瘤免疫及自身免疫中發揮重要作用,它不僅作為NKG2D的功能性配體,還可能通過TCRγδ1途徑直接激活γδT細胞,并在抗腫瘤免疫反應中發揮作用。
熱銷產品
Recombinant Human UL16-binding protein 2 (ULBP2), partial (Active) (CSB-AP005521HU)
驗證數據
(Tris-Glycine gel) Discontinuous SDS-PAGE (reduced) with 5% enrichment gel and 15% separation gel.
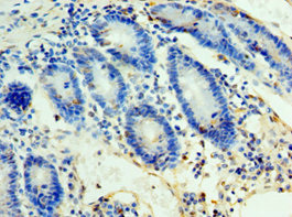
ULBP2 Antibody (CSB-PA880151ESR1HU)
驗證數據
Immunohistochemistry of paraffin-embedded human duodenum tissue using CSB-PA880151ESR1HU at dilution of 1:100
ULBP2 Antibodies
ULBP2 for Homo sapiens (Human)
| 產品貨號 | 產品名稱 | 種屬反應性 | 應用類型 |
|---|---|---|---|
| CSB-PA025610GA01HU | ULBP2 Antibody | Human | ELISA,WB |
| CSB-PA880151ESR1HU | ULBP2 Antibody | Human | ELISA, IHC |
ULBP2 Proteins
ULBP2 Proteins for Homo sapiens (Human)
| 產品貨號 | 產品名稱 | 來源 |
|---|---|---|
| CSB-YP880151HU CSB-EP880151HU CSB-BP880151HU CSB-MP880151HU CSB-EP880151HU-B |
Recombinant Human NKG2D ligand 2 (ULBP2) | Yeast E.coli Baculovirus Mammalian cell In Vivo Biotinylation in E.coli |
| CSB-AP005521HU | Recombinant Human UL16-binding protein 2 (ULBP2), partial (Active) | Mammalian cell |






