TUFM
TUFM,全稱為Tu翻譯延伸因子,線粒體,是一種參與線粒體蛋白質合成的重要因子。該蛋白在細胞內廣泛表達,尤其在腎臟、結腸等組織中含量較高。TUFM蛋白的主要功能是識別并轉運氨基酰-tRNA至核糖體,從而促進蛋白質的合成。在病理情況下,TUFM蛋白的異常表達或功能缺失與多種疾病相關,如乳酸性酸中毒和腦病等。近年來,研究發現TUFM蛋白與SIRT7蛋白相互作用,共同調控線粒體能量代謝,進而影響子宮內膜異位癥的發生發展。基于TUFM蛋白在疾病發生發展中的重要作用,研究人員正積極探索其作為潛在治療靶點的可能性,以期開發新的治療策略。
熱銷產品
Recombinant Human Elongation factor Tu, mitochondrial (TUFM) (CSB-EP025342HUa0)
驗證數據
(Tris-Glycine gel) Discontinuous SDS-PAGE (reduced) with 5% enrichment gel and 15% separation gel.
TUFM Recombinant Monoclonal Antibody (CSB-RA025342MA1HU)
驗證數據
IHC image of CSB-RA025342MA1HU diluted at 1:50 and staining in paraffin-embedded human stomach tissue performed on a Leica BondTM system. After dewaxing and hydration, antigen retrieval was mediated by high pressure in a citrate buffer (pH 6.0). Section was blocked with 10% normal goat serum 30min at RT. Then primary antibody (1% BSA) was incubated at 4°C overnight. The primary is detected by a Anti-Human lgG, Fcy Fragment Specific labeled by HRP and visualized using 0.05% DAB.
Overlay Peak curve showing Hela cells stained with CSB-RA025342MA1HU (red line) at 1:100. The cells were fixed in 4% formaldehyde and permeated by 0.2% TritonX-100 for 10min. Then 10% normal goat serum to block non-specific protein-protein interactions followed by the antibody (1ug/1*106cells) for 45min at 4℃. The secondary antibody used was Fluorescein (FITC) AffiniPure Goat Anti-Human IgG, Fcγ fragment specific at 1:200 dilution for 35min at 4℃.Control antibody (green line) was human IgG1 (1ug/1*106cells) used under the same conditions. Acquisition of >10,000 events was performed.
驗證數據
Western blot analysis of extracts from LOVO cells and 3T3 cells, using TUFM antiobdy.
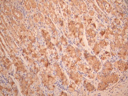
Immunohistochemistry analysis of paraffin-embedded human lung carcinoma tissue using TUFM antibody.
TUFM Antibodies
TUFM for Homo sapiens (Human)
| 產品貨號 | 產品名稱 | 種屬反應性 | 應用類型 |
|---|---|---|---|
| CSB-PA02199A0Rb | TUFM Antibody | Human | ELISA, WB |
| CSB-PA559509 | TUFM Antibody | Human,Mouse | ELISA,WB,IHC |
| CSB-PA060027 | TUFM Antibody | Human,Mouse,Rat | WB, IHC, ELISA |
| CSB-RA025342MA1HU | TUFM Recombinant Monoclonal Antibody | Human | ELISA, IHC, FC |
TUFM Proteins
TUFM Proteins for Homo sapiens (Human)
| 產品貨號 | 產品名稱 | 來源 |
|---|---|---|
| CSB-YP025342HU | Recombinant Human Elongation factor Tu, mitochondrial (TUFM) | Yeast |
| CSB-EP025342HU1 | Recombinant Human Elongation factor Tu, mitochondrial (TUFM), partial | E.coli |
| CSB-EP025342HU | Recombinant Human Elongation factor Tu, mitochondrial (TUFM) | E.coli |
| CSB-BP025342HU CSB-MP025342HU CSB-EP025342HU-B |
Recombinant Human Elongation factor Tu, mitochondrial (TUFM) | Baculovirus Mammalian cell In Vivo Biotinylation in E.coli |
| CSB-EP025342HUa0 | Recombinant Human Elongation factor Tu, mitochondrial (TUFM) | E.coli |






