TUBB1
TUBB1,(Tubulin Beta 1 Class VI),β-類微管蛋白,屬于微管蛋白家族,是構成細胞微管的重要組成部分。細胞微管是由α-類和β-類微管蛋白以螺旋狀排列形成的。TUBB1作為其中的一種β-類微管蛋白,參與了細胞的各種功能,在細胞分裂過程中,TUBB1參與了細胞有絲分裂和分子分裂的過程。它是有絲分裂中紡錘體的結構基礎,幫助正確分離染色體。此外,TUBB1還參與了細胞內運輸過程。微管在細胞內形成動態的網絡結構,通過這個網絡可以將細胞內的物質(如蛋白質、RNA等)運輸到不同的細胞區域。TUBB1作為細胞骨架的重要組成部分,在細胞的結構維持和功能執行中起著關鍵的作用。對于TUBB1的研究有助于更好地理解細胞生物學過程,并為相關疾病的治療和藥物開發提供理論基礎。
熱銷產品
● TUBB1 Recombinant Monoclonal Antibody CSB-RA867148MA1HU
驗證數據
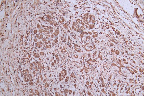
IHC image of CSB-RA867148MA1HU diluted at 1:300 and staining in paraffin-embedded human pancreatic cancer performed on a Leica BondTM system. After dewaxing and hydration, antigen retrieval was mediated by high pressure in a citrate buffer (pH 6.0). Section was blocked with 10% normal goat serum 30min at RT. Then primary antibody (1% BSA) was incubated at 4°C overnight. The primary is detected by a Goat anti-Mouse IgG labeled by HRP and visualized using 0.05% DAB.
IHC image of CSB-RA867148MA1HU diluted at 1:300 and staining in paraffin-embedded human pancreatic tissue performed on a Leica BondTM system. After dewaxing and hydration, antigen retrieval was mediated by high pressure in a citrate buffer (pH 6.0). Section was blocked with 10% normal goat serum 30min at RT. Then primary antibody (1% BSA) was incubated at 4°C overnight. The primary is detected by a Goat anti-Mouse IgG labeled by HRP and visualized using 0.05% DAB
Overlay Peak curve showing NIH/3T3 cells stained with CSB-RA867148MA1HU (red line) at 1:200. Then 10% normal goat serum was Incubated to block non-specific protein-protein interactions followed by the antibody (1μg/1*106cells) for 45 min at 4°C. The secondary antibody used was FITC-conjugated Goat Anti-Mouse IgG(H+L) at 1/200 dilution for 35 min at 4°C. Isotype control antibody (green line) was mouse IgG1 (1μg/1*106cells) used under the same conditions. Acquisition of >10,000 events was performed
TUBB1 Antibodies
TUBB1 for H, R, M
| 產品貨號 | 產品名稱 | 種屬反應性 | 應用類型 |
|---|---|---|---|
| CSB-MA000192 | TUBB1 Monoclonal Antibody | Human,Mouse,Rat | ELISA,WB |
TUBB1 for Danio rerio (Zebrafish) (Brachydanio rerio)
| 產品貨號 | 產品名稱 | 種屬反應性 | 應用類型 |
|---|---|---|---|
| CSB-MA000278 | TUBB1 Monoclonal Antibody | Zebrafish | ELISA,WB |
TUBB1 for Homo sapiens (Human)
| 產品貨號 | 產品名稱 | 種屬反應性 | 應用類型 |
|---|---|---|---|
| CSB-PA867148LA01HU | TUBB1 Antibody | Human, Mouse | ELISA, IHC |
| CSB-PA867148LB01HU | TUBB1 Antibody, HRP conjugated | Human | ELISA |
| CSB-PA867148LD01HU | TUBB1 Antibody, Biotin conjugated | Human | ELISA |
| CSB-RA867148MA1HU | TUBB1 Recombinant Monoclonal Antibody | Human | ELISA, WB, IHC, FC |
TUBB1 Proteins
TUBB1 Proteins for Glycine max (Soybean) (Glycine hispida)
| 產品貨號 | 產品名稱 | 來源 |
|---|---|---|
| CSB-YP025319GGV CSB-EP025319GGV CSB-BP025319GGV CSB-MP025319GGV CSB-EP025319GGV-B |
Recombinant Glycine max Tubulin beta-1 chain (TUBB1) | Yeast E.coli Baculovirus Mammalian cell In Vivo Biotinylation in E.coli |
TUBB1 Proteins for Volvox carteri (Green alga)
| 產品貨號 | 產品名稱 | 來源 |
|---|---|---|
| CSB-YP025318VDT CSB-EP025318VDT CSB-BP025318VDT CSB-MP025318VDT CSB-EP025318VDT-B |
Recombinant Volvox carteri Tubulin beta chain (TUBB1) | Yeast E.coli Baculovirus Mammalian cell In Vivo Biotinylation in E.coli |
TUBB1 Proteins for Arabidopsis thaliana (Mouse-ear cress)
| 產品貨號 | 產品名稱 | 來源 |
|---|---|---|
| CSB-YP025319DOA CSB-EP025319DOA CSB-BP025319DOA CSB-MP025319DOA CSB-EP025319DOA-B |
Recombinant Arabidopsis thaliana Tubulin beta-1 chain (TUBB1) | Yeast E.coli Baculovirus Mammalian cell In Vivo Biotinylation in E.coli |
TUBB1 Proteins for Zea mays (Maize)
| 產品貨號 | 產品名稱 | 來源 |
|---|---|---|
| CSB-YP025319ZAX CSB-EP025319ZAX CSB-BP025319ZAX CSB-MP025319ZAX CSB-EP025319ZAX-B |
Recombinant Zea mays Tubulin beta-1 chain (TUBB1) | Yeast E.coli Baculovirus Mammalian cell In Vivo Biotinylation in E.coli |
TUBB1 Proteins for Daucus carota (Carrot)
| 產品貨號 | 產品名稱 | 來源 |
|---|---|---|
| CSB-YP025319DIR CSB-EP025319DIR CSB-BP025319DIR CSB-MP025319DIR CSB-EP025319DIR-B |
Recombinant Daucus carota Tubulin beta-1 chain (TUBB1) | Yeast E.coli Baculovirus Mammalian cell In Vivo Biotinylation in E.coli |
TUBB1 Proteins for Avena sativa (Oat)
| 產品貨號 | 產品名稱 | 來源 |
|---|---|---|
| CSB-YP025319DPO CSB-EP025319DPO CSB-BP025319DPO CSB-MP025319DPO CSB-EP025319DPO-B |
Recombinant Avena sativa Tubulin beta-1 chain (TUBB1) | Yeast E.coli Baculovirus Mammalian cell In Vivo Biotinylation in E.coli |
TUBB1 Proteins for Anemia phyllitidis (Fern) (Osmunda phyllitidis)
| 產品貨號 | 產品名稱 | 來源 |
|---|---|---|
| CSB-YP025319AKC CSB-EP025319AKC CSB-BP025319AKC CSB-MP025319AKC CSB-EP025319AKC-B |
Recombinant Anemia phyllitidis Tubulin beta-1 chain (TUBB1) | Yeast E.coli Baculovirus Mammalian cell In Vivo Biotinylation in E.coli |
TUBB1 Proteins for Pisum sativum (Garden pea)
| 產品貨號 | 產品名稱 | 來源 |
|---|---|---|
| CSB-YP025319EWE CSB-EP025319EWE CSB-BP025319EWE CSB-MP025319EWE CSB-EP025319EWE-B |
Recombinant Pisum sativum Tubulin beta-1 chain (TUBB1) | Yeast E.coli Baculovirus Mammalian cell In Vivo Biotinylation in E.coli |
TUBB1 Proteins for Notothenia coriiceps neglecta (Black rockcod) (Yellowbelly rockcod)
| 產品貨號 | 產品名稱 | 來源 |
|---|---|---|
| CSB-YP025319NHX CSB-EP025319NHX CSB-BP025319NHX CSB-MP025319NHX CSB-EP025319NHX-B |
Recombinant Notothenia coriiceps neglecta Tubulin beta-1 chain (tubb1) | Yeast E.coli Baculovirus Mammalian cell In Vivo Biotinylation in E.coli |
TUBB1 Proteins for Lupinus albus (White lupin) (Lupinus termis)
| 產品貨號 | 產品名稱 | 來源 |
|---|---|---|
| CSB-YP025319LJQ CSB-EP025319LJQ CSB-BP025319LJQ CSB-MP025319LJQ CSB-EP025319LJQ-B |
Recombinant Lupinus albus Tubulin beta-1 chain (TUBB1) | Yeast E.coli Baculovirus Mammalian cell In Vivo Biotinylation in E.coli |
TUBB1 Proteins for Solanum tuberosum (Potato)
| 產品貨號 | 產品名稱 | 來源 |
|---|---|---|
| CSB-YP025319FIG CSB-EP025319FIG CSB-BP025319FIG CSB-MP025319FIG CSB-EP025319FIG-B |
Recombinant Solanum tuberosum Tubulin beta-1 chain (TUBB1) | Yeast E.coli Baculovirus Mammalian cell In Vivo Biotinylation in E.coli |
TUBB1 Proteins for Porphyra purpurea
| 產品貨號 | 產品名稱 | 來源 |
|---|---|---|
| CSB-YP025318EXV CSB-EP025318EXV CSB-BP025318EXV CSB-MP025318EXV CSB-EP025318EXV-B |
Recombinant Tubulin beta chain (TUBB1) | Yeast E.coli Baculovirus Mammalian cell In Vivo Biotinylation in E.coli |
TUBB1 Proteins for Mus musculus (Mouse)
| 產品貨號 | 產品名稱 | 來源 |
|---|---|---|
| CSB-YP025319MO CSB-EP025319MO CSB-BP025319MO CSB-MP025319MO CSB-EP025319MO-B |
Recombinant Mouse Tubulin beta-1 chain (Tubb1) | Yeast E.coli Baculovirus Mammalian cell In Vivo Biotinylation in E.coli |
TUBB1 Proteins for Oryza sativa subsp. japonica (Rice)
| 產品貨號 | 產品名稱 | 來源 |
|---|---|---|
| CSB-YP670396OFG CSB-EP670396OFG CSB-BP670396OFG CSB-MP670396OFG CSB-EP670396OFG-B |
Recombinant Oryza sativa subsp. japonica Tubulin beta-1 chain (TUBB1) | Yeast E.coli Baculovirus Mammalian cell In Vivo Biotinylation in E.coli |
TUBB1 Proteins for Suillus bovinus (Jersey cow bolete) (Boletus bovinus)
| 產品貨號 | 產品名稱 | 來源 |
|---|---|---|
| CSB-YP728617SFAP CSB-EP728617SFAP CSB-BP728617SFAP CSB-MP728617SFAP CSB-EP728617SFAP-B |
Recombinant Suillus bovinus Tubulin beta-1 chain (TUBB1) | Yeast E.coli Baculovirus Mammalian cell In Vivo Biotinylation in E.coli |
TUBB1 Proteins for Porphyra yezoensis
| 產品貨號 | 產品名稱 | 來源 |
|---|---|---|
| CSB-YP802923EXX CSB-EP802923EXX CSB-BP802923EXX CSB-MP802923EXX CSB-EP802923EXX-B |
Recombinant Tubulin beta chain (TUBB1) | Yeast E.coli Baculovirus Mammalian cell In Vivo Biotinylation in E.coli |
TUBB1 Proteins for Homo sapiens (Human)
| 產品貨號 | 產品名稱 | 來源 |
|---|---|---|
| CSB-YP867148HU CSB-EP867148HU CSB-BP867148HU CSB-MP867148HU CSB-EP867148HU-B |
Recombinant Human Tubulin beta-1 chain (TUBB1) | Yeast E.coli Baculovirus Mammalian cell In Vivo Biotinylation in E.coli |






