TRPM8
TRPM8,即瞬時受體電位M8離子通道,它在多種哺乳動物中表達,尤其是感覺神經元中。TRPM8的作用機制是作為冷感受器,在溫度下降時被激活,允許鈣離子和鈉離子流入細胞,從而引發冷感覺信號的傳導。TRPM8對于動物感知環境溫度變化、適應低溫環境具有重要意義。此外,TRPM8還與某些疾病的發生發展有關,如前列腺癌、膀胱癌和乳腺癌。2021年諾貝爾生理學或醫學獎授予了對溫度敏感的TRP通道的研究,這進一步凸顯了TRPM8等通道在感知熱和冷以及適應環境溫度中的重要性。
熱銷產品
驗證數據
CSB-MP768757HU1 is detected by Mouse anti-6*His monoclonal antibody.
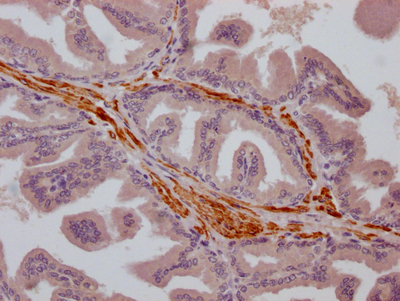
TRPM8 Recombinant Monoclonal Antibody (CSB-RA186773A0HU)
驗證數據
IHC image of CSB-RA186773A0HU diluted at 1:100 and staining in paraffin-embedded human prostate cancer performed on a Leica BondTM system. After dewaxing and hydration, antigen retrieval was mediated by high pressure in a citrate buffer (pH 6.0). Section was blocked with 10% normal goat serum 30min at RT. Then primary antibody (1% BSA) was incubated at 4℃ overnight. The primary is detected by a Goat anti-rabbit IgG polymer labeled by HRP and visualized using 0.05% DAB.
TRPM8 Antibodies
TRPM8 for Homo sapiens (Human)
| 產品貨號 | 產品名稱 | 種屬反應性 | 應用類型 |
|---|---|---|---|
| CSB-PA768757LA01HU | TRPM8 Antibody | Human | ELISA, IHC, IF |
| CSB-PA768757ESR1HU | TRPM8 Antibody | Human | ELISA, IHC |
| CSB-PA969456 | TRPM8 Antibody | Human,Mouse,Rat | ELISA,IHC |
| CSB-PA072616 | TRPM8 Antibody | Human,Mouse,Rat | ELISA,IHC |
| CSB-RA186773A0HU | TRPM8 Recombinant Monoclonal Antibody | Human | ELISA, IHC |
TRPM8 Proteins
TRPM8 Proteins for Homo sapiens (Human)
| 產品貨號 | 產品名稱 | 來源 |
|---|---|---|
| CSB-YP768757HU CSB-EP768757HU CSB-BP768757HU CSB-MP768757HU CSB-EP768757HU-B |
Recombinant Human Transient receptor potential cation channel subfamily M member 8 (TRPM8), partial | Yeast E.coli Baculovirus Mammalian cell In Vivo Biotinylation in E.coli |
| CSB-MP768757HU1 | Recombinant Human Transient receptor potential cation channel subfamily M member 8 (TRPM8) , partial-VLPs | Mammalian cell |






