TPT1
TPT1蛋白,全稱為翻譯控制腫瘤蛋白(Translationally Controlled Tumor Protein),是一種高度保守的多功能蛋白,在細胞生長和增殖中發揮重要作用。它參與鈣結合和微管穩定,作為負調節因子,可抑制細胞凋亡。TPT1蛋白常見別名包括TCTP,在多種生物過程中發揮關鍵作用。研究表明,TPT1蛋白與多種疾病相關,如肌萎縮側索硬化癥,其表達水平在患者血清中顯著升高,可作為潛在生物標志物用于疾病診斷和監測。此外,TPT1蛋白在腫瘤發生發展中也扮演重要角色,相關藥物研發正逐步深入,探索其作為治療靶點的可能性。
熱銷產品
Recombinant Human Translationally-controlled tumor protein (TPT1) (CSB-EP024134HU)
驗證數據
(Tris-Glycine gel) Discontinuous SDS-PAGE (reduced) with 5% enrichment gel and 15% separation gel.
TPT1 Recombinant Monoclonal Antibody (CSB-RA214107A0HU)
驗證數據
Western Blot
Positive WB detected in: Hela whole cell lysate, Jurkat whole cell lysate, MCF-7 whole cell lysate, RAW264.7 whole cell lysate, HepG2 whole cell lysate, PC-3 whole cell lysate, Raji whole cell lysate, 293 whole cell lysate, Mouse liver tissue
All lanes: TPT1 antibody at 1:2000
Secondary
Goat polyclonal to rabbit IgG at 1/50000 dilution
Predicted band size: 20, 16 kDa
Observed band size: 25 kDa
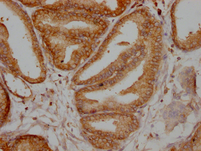
IHC image of CSB-RA214107A0HU diluted at 1:100 and staining in paraffin-embedded human prostate tissue performed on a Leica BondTM system. After dewaxing and hydration, antigen retrieval was mediated by high pressure in a citrate buffer (pH 6.0). Section was blocked with 10% normal goat serum 30min at RT. Then primary antibody (1% BSA) was incubated at 4℃ overnight. The primary is detected by a Goat anti-rabbit IgG polymer labeled by HRP and visualized using 0.05% DAB.
Immunofluorescence staining of SY5Y Cells with CSB-RA214107A0HU at 1:50, counter-stained with DAPI. The cells were fixed in 4% formaldehyde, permeated by 0.2% TritonX-100, and blocked in 10% normal Goat Serum. The cells were then incubated with the antibody overnight at 4℃. Nuclear DNA was labeled in blue with DAPI. The secondary antibody was FITC-conjugated AffiniPure Goat Anti-Rabbit IgG (H+L).
Immunoprecipitating TCTP in Hela whole cell lysate
Lane 1: Rabbit control IgG instead of CSB-RA214107A0HU in Hela whole cell lysate.For western blotting,a HRP-conjugated Protein G antibody was used as the secondary antibody (1/2000)
Lane 2: CSB-RA214107A0HU(2μg)+ Hela whole cell lysate(500μg)
Lane 3: Hela whole cell lysate (10μg)
TPT1 Antibodies
TPT1 for Homo sapiens (Human)
| 產品貨號 | 產品名稱 | 種屬反應性 | 應用類型 |
|---|---|---|---|
| CSB-PA024134GA01HU | TPT1 Antibody | Human,Mouse,Rat | ELISA,WB |
| CSB-PA588140 | TPT1 Antibody | Human,Mouse,Rat | ELISA,WB,IHC |
| CSB-PA002968 | TPT1 Antibody | Human,Mouse,Rat | WB, IHC, IF, ELISA |
| CSB-PA024134LA01HU | TPT1 Antibody | Human | ELISA, IHC, IF |
| CSB-PA024134LC01HU | TPT1 Antibody, FITC conjugated | Human | |
| CSB-PA024134LD01HU | TPT1 Antibody, Biotin conjugated | Human | ELISA |
| CSB-RA214107A0HU | TPT1 Recombinant Monoclonal Antibody | Human, Mouse | ELISA, WB, IHC, IF, IP |
TPT1 Proteins
TPT1 Proteins for Homo sapiens (Human)
| 產品貨號 | 產品名稱 | 來源 |
|---|---|---|
| CSB-YP024134HU CSB-BP024134HU CSB-EP024134HU-B |
Recombinant Human Translationally-controlled tumor protein (TPT1) | Yeast Baculovirus In Vivo Biotinylation in E.coli |
| CSB-EP024134HU | Recombinant Human Translationally-controlled tumor protein (TPT1) | E.coli |
| CSB-EP024134HUa0 | Recombinant Human Translationally-controlled tumor protein (TPT1) | E.coli |
| CSB-MP024134HU | Recombinant Human Translationally-controlled tumor proteinv (SMPD1) | Mammalian cell |
TPT1 ELISA Kit
TPT1 ELISA Kit for Homo sapiens (Human)
| 產品貨號 | 產品名稱 | 樣本類型 | 靈敏度 |
|---|---|---|---|
| CSB-EL024134HU | Human Translationally-controlled tumor protein(TPT1) ELISA kit | serum, plasma, tissue homogenates, cell lysates | 3.12 pg/mL |






