TNFSF10
TNFSF10(腫瘤壞死因子超家族成員10)又稱TRAIL(腫瘤壞死因子相關凋亡誘導配體),是一種Ⅱ型跨膜蛋白,其可溶性形式通過激活死亡受體DR4和DR5觸發細胞凋亡。TNFSF10在免疫監視中起關鍵作用,可選擇性誘導癌細胞凋亡而不損傷正常組織,這一特性使其成為腫瘤治療的熱點靶點。其作用涉及線粒體途徑和Caspase蛋白酶級聯反應,同時受凋亡抑制蛋白c-FLIP和Bcl-2家族調控。
TRAIL在肝癌、肺癌等多種惡性腫瘤中表達異常,其信號通路失調與腫瘤耐藥密切相關。近年來,針對TRAIL受體的單克隆抗體如Conatumumab、Lexatumumab已進入臨床試驗,但單藥療效有限,現多探索與化療或靶向藥的聯合應用。另有研究揭示TRAIL在阿爾茨海默病中可能通過清除異常蛋白沉積發揮保護作用,但過度激活也可能導致神經元損傷。目前新型融合蛋白如TRAIL-Fc和三特異性抗體正在開發中,旨在提高受體結合特異性和克服耐藥性瓶頸。
熱銷產品
驗證數據
(Tris-Glycine gel) Discontinuous SDS-PAGE (reduced) with 5% enrichment gel and 15% separation gel.
Activity
Measured by its binding ability in a functional ELISA. Immobilized Human TNFSF10 at 4 μg/ml can bind Human TNFRSF10B (CSB-MP023965HU1d9). The EC50 is 3.897-5.215 ng/mL.
驗證數據
(Tris-Glycine gel) Discontinuous SDS-PAGE (reduced) with 5% enrichment gel and 15% separation gel.
TNFSF10 Antibody (CSB-PA07475A0Rb)
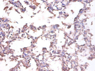
驗證數據
Immunohistochemistry of paraffin-embedded human lung tissue using CSB-PA07475A0Rb at dilution of 1:100
Immunofluorescence staining of A549 cells with CSB-PA07475A0Rb at 1:100, counter-stained with DAPI. The cells were fixed in 4% formaldehyde, permeabilized using 0.2% Triton X-100 and blocked in 10% normal Goat Serum. The cells were then incubated with the antibody overnight at 4°C. The secondary antibody was Alexa Fluor 488-congugated AffiniPure Goat Anti-Rabbit IgG(H+L).
TNFSF10 Antibodies
TNFSF10 for Homo sapiens (Human)
| 產品貨號 | 產品名稱 | 種屬反應性 | 應用類型 |
|---|---|---|---|
| CSB-PA07475A0Rb | TNFSF10 Antibody | Human | ELISA, IHC, IF |
| CSB-PA023985GA01HU | TNFSF10 Antibody | Human,Mouse,Rat | ELISA,WB |
| CSB-PA272904 | TNFSF10 Antibody | Human | ELISA,WB,IF |
| CSB-PA004326 | TNFSF10 Antibody | Human | WB, IHC, IF, ELISA |
| CSB-PA005996 | TNFSF10 Antibody | Human | WB, ELISA |
TNFSF10 Proteins
TNFSF10 Proteins for Mus musculus (Mouse)
| 產品貨號 | 產品名稱 | 來源 |
|---|---|---|
| CSB-YP023985MO CSB-EP023985MO CSB-BP023985MO CSB-MP023985MO CSB-EP023985MO-B |
Recombinant Mouse Tumor necrosis factor ligand superfamily member 10 (Tnfsf10) | Yeast E.coli Baculovirus Mammalian cell In Vivo Biotinylation in E.coli |
TNFSF10 Proteins for Homo sapiens (Human)
| 產品貨號 | 產品名稱 | 來源 |
|---|---|---|
| CSB-YP023985HU CSB-BP023985HU CSB-MP023985HU CSB-EP023985HU-B |
Recombinant Human Tumor necrosis factor ligand superfamily member 10 (TNFSF10), partial | Yeast Baculovirus Mammalian cell In Vivo Biotinylation in E.coli |
| CSB-EP023985HUe0 | Recombinant Human Tumor necrosis factor ligand superfamily member 10 (TNFSF10), partial | E.coli |
| CSB-EP023985HU | Recombinant Human Tumor necrosis factor ligand superfamily member 10 (TNFSF10), partial | E.coli |
| CSB-CF023985HU | Recombinant Human Tumor necrosis factor ligand superfamily member 10 (TNFSF10) | in vitro E.coli expression system |
| CSB-AP004901HU | Recombinant Human Tumor necrosis factor ligand superfamily member 10 (TNFSF10), partial (Active) | E.coli |
TNFSF10 ELISA Kit
TNFSF10 ELISA Kit for Homo sapiens (Human)
| 產品貨號 | 產品名稱 | 樣本類型 | 靈敏度 |
|---|---|---|---|
| CSB-E04750h | Human soluble tumor necrosis factor-related apoptosis inducing ligand,sTRAIL ELISA KIT | serum, plasma, tissue homogenates | 3.9 pg/ml |
| CSB-E04750h-IS | Human soluble tumor necrosis factor-related apoptosis inducing ligand,sTRAIL ELISA KIT | serum, plasma, cell culture supernates, tissue homogenates | 1.95 pg/mL |
TNFSF10 ELISA Kit for Mus musculus (Mouse)
| 產品貨號 | 產品名稱 | 樣本類型 | 靈敏度 |
|---|---|---|---|
| CSB-E07371m | Mouse soluble tumor necrosis factor-related apoptosis inducing ligand,sTRAIL ELISA KIT | serum, plasma, tissue homogenates | 7.8 pg/ml |
TNFSF10 ELISA Kit for Rattus norvegicus (Rat)
| 產品貨號 | 產品名稱 | 樣本類型 | 靈敏度 |
|---|---|---|---|
| CSB-E13904r | Rat tumor necrosis factor-related apoptosis inducing ligand,TRAIL ELISA Kit | serum, plasma, tissue homogenates | 3.9 pg/mL |






