TNFRSF11B
TNFRSF11B,即腫瘤壞死因子受體超家族11B,別名OCIF、TR1、OPG。它是一種分泌型糖蛋白,主要在骨代謝中起調節作用,能夠抑制骨的破壞和吸收。TNFRSF11B基因位于染色體8q24,包含5個內含子和5個外顯子。其分子前體由401個氨基酸組成,成熟分子由380個氨基酸組成,包含7個區段(D1~D7),其中D1~D4結構域與配體RANKL結合,發揮抑制破骨細胞形成的作用。TNFRSF11B在多種腫瘤中高表達,與腫瘤的發生發展密切相關,可能通過與TRAIL競爭性結合,抑制腫瘤細胞凋亡,促進腫瘤細胞的增殖和轉移。在腫瘤治療中,TNFRSF11B可能成為新的生物標志物和治療靶點。
熱銷產品
驗證數據
(Tris-Glycine gel) Discontinuous SDS-PAGE (reduced) with 5% enrichment gel and 15% separation gel.
Activity
Measured by its binding ability in a functional ELISA. Immobilized TNFSF11 (CSB-MP023986HU1(F2)) at 10 μg/ml can bind human TNFRSF11B, the EC50 is 2.651-7.646 ng/ml.
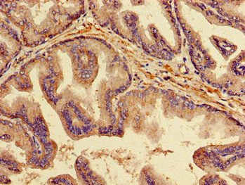
TNFRSF11B Antibody (CSB-PA08229A0Rb)
驗證數據
Immunohistochemistry of paraffin-embedded human prostate tissue using CSB-PA08229A0Rb at dilution of 1:100
TNFRSF11B Antibodies
TNFRSF11B for Homo sapiens (Human)
| 產品貨號 | 產品名稱 | 種屬反應性 | 應用類型 |
|---|---|---|---|
| CSB-PA119257 | TNFRSF11B Antibody | Human,Mouse | ELISA,WB |
| CSB-PA003597 | TNFRSF11B Antibody | Human,Mouse | WB, IHC, IF, ELISA |
| CSB-PA213664 | TNFRSF11B Antibody | Human,Mouse,Rat | ELISA,WB,IHC |
| CSB-PA210767 | TNFRSF11B Antibody | Human,Mouse,Rat | ELISA,IHC |
| CSB-PA08229A0Rb | TNFRSF11B Antibody | Human | ELISA, IHC |
| CSB-PA08229B0Rb | TNFRSF11B Antibody, HRP conjugated | Human | ELISA |
| CSB-PA08229C0Rb | TNFRSF11B Antibody, FITC conjugated | Human | |
| CSB-PA08229D0Rb | TNFRSF11B Antibody, Biotin conjugated | Human | ELISA |
TNFRSF11B Proteins
TNFRSF11B Proteins for Bos taurus (Bovine)
| 產品貨號 | 產品名稱 | 來源 |
|---|---|---|
| CSB-YP023969BO CSB-EP023969BO CSB-BP023969BO CSB-MP023969BO CSB-EP023969BO-B |
Recombinant Bovine Tumor necrosis factor receptor superfamily member 11B (TNFRSF11B) | Yeast E.coli Baculovirus Mammalian cell In Vivo Biotinylation in E.coli |
TNFRSF11B Proteins for Rattus norvegicus (Rat)
| 產品貨號 | 產品名稱 | 來源 |
|---|---|---|
| CSB-YP023969RA CSB-EP023969RA CSB-BP023969RA CSB-MP023969RA CSB-EP023969RA-B |
Recombinant Rat Tumor necrosis factor receptor superfamily member 11B (Tnfrsf11b) | Yeast E.coli Baculovirus Mammalian cell In Vivo Biotinylation in E.coli |
TNFRSF11B Proteins for Mus musculus (Mouse)
| 產品貨號 | 產品名稱 | 來源 |
|---|---|---|
| CSB-YP023969MO CSB-EP023969MO CSB-BP023969MO CSB-MP023969MO CSB-EP023969MO-B |
Recombinant Mouse Tumor necrosis factor receptor superfamily member 11B (Tnfrsf11b) | Yeast E.coli Baculovirus Mammalian cell In Vivo Biotinylation in E.coli |
TNFRSF11B Proteins for Homo sapiens (Human)
| 產品貨號 | 產品名稱 | 來源 |
|---|---|---|
| CSB-YP023969HU CSB-EP023969HU CSB-BP023969HU CSB-EP023969HU-B |
Recombinant Human Tumor necrosis factor receptor superfamily member 11B (TNFRSF11B) | Yeast E.coli Baculovirus In Vivo Biotinylation in E.coli |
| CSB-AP002991HU | Recombinant Human Tumor necrosis factor receptor superfamily member 11B protein (TNFRSF11B), partial (Active) | Yeast |
| CSB-AP003001HU | Recombinant Human Tumor necrosis factor receptor superfamily member 11B protein (TNFRSF11B), partial (Active) | E.Coli |
| CSB-AP004951HU | Recombinant Human Tumor necrosis factor receptor superfamily member 11B (TNFRSF11B) (Active) | Mammalian cell |
| CSB-MP023969HU | Recombinant Human Tumor necrosis factor receptor superfamily member 11B (TNFRSF11B) (Active) | Mammalian cell |
TNFRSF11B ELISA Kit
TNFRSF11B ELISA Kit for Mus musculus (Mouse)
| 產品貨號 | 產品名稱 | 樣本類型 | 靈敏度 |
|---|---|---|---|
| CSB-E04693m | Mouse Osteoprotegerin,OPG ELISA KIT | serum, plasma, tissue homogenates | 3.9 pg/mL |
TNFRSF11B ELISA Kit for Rattus norvegicus (Rat)
| 產品貨號 | 產品名稱 | 樣本類型 | 靈敏度 |
|---|---|---|---|
| CSB-E07404r | Rat Osteoprotegerin,OPG ELISA KIT | serum, plasma, tissue homogenates | 0.195 ng/ml |
TNFRSF11B ELISA Kit for Homo sapiens (Human)
| 產品貨號 | 產品名稱 | 樣本類型 | 靈敏度 |
|---|---|---|---|
| CSB-E04692h | Human Osteoprotegerin,OPG ELISA KIT | serum, plasma, tissue homogenates | 1.95 pg/mL |






