TMIGD2
TMIGD2,即跨膜免疫球蛋白結構域含2蛋白,它是一種糖蛋白,主要在多種細胞類型中表達,包括腫瘤細胞和免疫細胞。TMIGD2的作用機制涉及到細胞間相互作用、細胞遷移和血管生成。它與HHLA2的相互作用可以在T細胞受體介導的激活過程中通過AKT依賴性信號傳導增強T細胞的增殖和細胞因子的產生。在信號通路方面,TMIGD2可能參與了JAK/STAT信號通路的激活,這在肝細胞癌中尤為重要,HHLA2通過與TMIGD2結合激活此信號通路,從而影響腫瘤細胞的增殖和存活。在生物學意義上,TMIGD2不僅參與細胞的基本生理過程,還可能作為腫瘤侵襲和轉移能力的調節因子,具有作為藥物靶點或生物標志物的應用前景。
熱銷產品
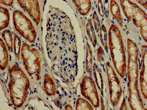
TMIGD2 Antibody (CSB-PA850263LA01HU)
驗證數據
Immunohistochemistry of paraffin-embedded human kidney tissue using CSB-PA850263LA01HU at dilution of 1:100
Immunofluorescent analysis of PC-3 cells using CSB-PA850263LA01HU at dilution of 1:100 and Alexa Fluor 488-congugated AffiniPure Goat Anti-Rabbit IgG(H+L)
TMIGD2 Antibodies
TMIGD2 for Homo sapiens (Human)
| 產品貨號 | 產品名稱 | 種屬反應性 | 應用類型 |
|---|---|---|---|
| CSB-PA850263LA01HU | TMIGD2 Antibody | Human | ELISA, IHC, IF |
| CSB-PA850263LB01HU | TMIGD2 Antibody, HRP conjugated | Human | ELISA |
| CSB-PA850263LC01HU | TMIGD2 Antibody, FITC conjugated | Human |
TMIGD2 Proteins
TMIGD2 Proteins for Homo sapiens (Human)
| 產品貨號 | 產品名稱 | 來源 |
|---|---|---|
| CSB-YP850263HU CSB-EP850263HU CSB-BP850263HU CSB-EP850263HU-B |
Recombinant Human Transmembrane and immunoglobulin domain-containing protein 2 (TMIGD2), partial | Yeast E.coli Baculovirus In Vivo Biotinylation in E.coli |






