TLR8
TLR8,即Toll樣受體8,別名Toll樣蛋白8。它是一種在人體中由TLR8基因編碼的蛋白質,屬于Toll樣受體家族成員之一,主要在髓樣細胞如單核細胞、樹突細胞和某些上皮細胞中表達。TLR8的作用機制是通過識別病原體相關分子模式,如某些細菌和病毒的核酸成分,激活下游的信號傳導途徑。TLR8的激活通常依賴于MyD88介導的信號通路,進而激活NF-κB、MAPK等轉錄因子,導致炎癥介質和細胞因子的釋放,從而在先天性免疫和適應性免疫中發揮關鍵作用 。TLR8在生物學上的意義非常廣泛,它參與調節多種免疫細胞的活化、增殖和分化過程。TLR8的激活可以促進樹突細胞成熟,增強其抗原呈遞能力,從而激活T細胞介導的免疫應答。此外,TLR8的信號傳導還與炎癥反應、細胞存活和增殖等生理過程密切相關。TLR8的功能異常與多種疾病有關,包括自身免疫性疾病、慢性炎癥性疾病和某些感染性疾病。因此,TLR8是免疫學研究和相關疾病治療中的一個潛在靶點 。
熱銷產品
Recombinant Human Toll-like receptor 8 (TLR8), partial (CSB-YP023607HU)
驗證數據
(Tris-Glycine gel) Discontinuous SDS-PAGE (reduced) with 5% enrichment gel and 15% separation gel.
The purity of TLR8 was greater than 90% as determined by SEC-HPLC
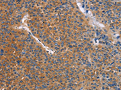
驗證數據
The image on the left is immunohistochemistry of paraffin-embedded Human liver cancer tissue using CSB-PA261777(TLR8 Antibody) at dilution 1/25, on the right is treated with fusion protein. (Original magnification: ×200)
The image on the left is immunohistochemistry of paraffin-embedded Human cervical cancer tissue using CSB-PA261777(TLR8 Antibody) at dilution 1/25, on the right is treated with fusion protein. (Original magnification: ×200)
TLR8 Antibodies
TLR8 for Homo sapiens (Human)
| 產品貨號 | 產品名稱 | 種屬反應性 | 應用類型 |
|---|---|---|---|
| CSB-PA080187 | TLR8 Antibody | Human,Mouse,Rat | IHC, ELISA |
| CSB-PA160291 | TLR8 Antibody | Human,Mouse | ELISA,IHC |
| CSB-PA289221 | TLR8 Antibody | Human,Mouse | ELISA,IHC |
| CSB-PA268874 | TLR8 Antibody | Human | ELISA,IHC |
| CSB-PA261777 | TLR8 Antibody | Human | ELISA,IHC |
TLR8 Proteins
TLR8 Proteins for Mus musculus (Mouse)
| 產品貨號 | 產品名稱 | 來源 |
|---|---|---|
| CSB-YP023607MO CSB-EP023607MO CSB-BP023607MO CSB-MP023607MO CSB-EP023607MO-B |
Recombinant Mouse Toll-like receptor 8 (Tlr8), partial | Yeast E.coli Baculovirus Mammalian cell In Vivo Biotinylation in E.coli |
TLR8 Proteins for Homo sapiens (Human)
| 產品貨號 | 產品名稱 | 來源 |
|---|---|---|
| CSB-YP023607HU | Recombinant Human Toll-like receptor 8 (TLR8), partial | Yeast |
| CSB-EP023607HU CSB-BP023607HU CSB-MP023607HU CSB-EP023607HU-B |
Recombinant Human Toll-like receptor 8 (TLR8), partial | E.coli Baculovirus Mammalian cell In Vivo Biotinylation in E.coli |






