THRB
THRB,即甲狀腺激素受體β,別名C-ErbA-Beta2、NR1A2、THRbeta1等。它是一種核受體,由THRB基因編碼,對三碘甲狀腺原氨酸(T3)具有高親和力。THRB的作用機制主要是通過與T3結合后,調控靶基因的轉錄,可以作為轉錄激活因子或抑制因子。THRB能夠結合到基因組上的特定DNA序列上,調節多種生理過程,包括代謝、生長和發育。THRB在生物學上的意義非常廣泛,它參與調節的信號通路涉及細胞的增殖、分化、能量代謝、神經系統發育等。THRB的功能異常與多種疾病有關,例如普遍性甲狀腺激素抵抗癥(Generalized Thyroid Hormone Resistance, GTHR),這是一種以甲狀腺腫大和循環甲狀腺激素(T3-T4)水平升高為特征的疾病,同時伴有正常或略高的甲狀腺刺激激素(TSH)水平。此外,THRB的表達和活性還與肝臟的脂質代謝有關,研究發現,在THRB缺陷的小鼠中,肝臟的晝夜代謝節律發生顯著變化,導致膽固醇、三酰甘油和二酰甘油以及脂肪酸水平升高,進而可能促進脂肪肝的發展。
熱銷產品
Recombinant Human Thyroid hormone receptor beta (THRB) (CSB-EP023514HU)
驗證數據
(Tris-Glycine gel) Discontinuous SDS-PAGE (reduced) with 5% enrichment gel and 15% separation gel.
Based on the SEQUEST from database of E.coli host and target protein, the LC-MS/MS Analysis result of CSB-EP023514HU could indicate that this peptide derived from E.coli-expressed Homo sapiens (Human) THRB.
Based on the SEQUEST from database of E.coli host and target protein, the LC-MS/MS Analysis result of CSB-EP023514HU could indicate that this peptide derived from E.coli-expressed Homo sapiens (Human) THRB.
THRB Antibody (CSB-PA023514LA01HU)
驗證數據
Western blot
All lanes: THRB antibody at 2µg/ml + Mouse liver tissue
Secondary
Goat polyclonal to rabbit IgG at 1/10000 dilution
Predicted band size: 53, 55 kDa
Observed band size: 53 kDa
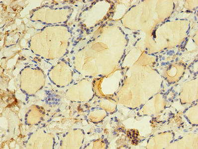
Immunohistochemistry of paraffin-embedded human thyroid tissue using CSB-PA023514LA01HU at dilution of 1:100
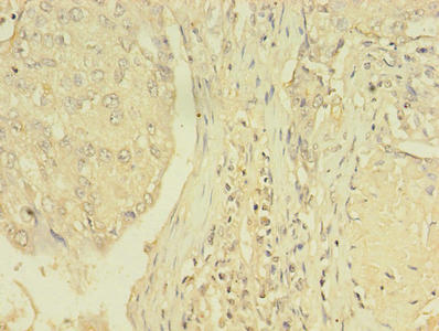
Immunohistochemistry of paraffin-embedded human lung cancer using CSB-PA023514LA01HU at dilution of 1:100
THRB Antibodies
THRB for Homo sapiens (Human)
| 產品貨號 | 產品名稱 | 種屬反應性 | 應用類型 |
|---|---|---|---|
| CSB-PA050260 | Phospho-THRB (S142) Antibody | Human,Mouse,Rat | WB, ELISA |
| CSB-PA050261 | THRB Antibody | Human,Mouse,Rat | WB, IHC, ELISA |
| CSB-PA023514LA01HU | THRB Antibody | Human, Mouse | ELISA, WB, IHC |
THRB Proteins
THRB Proteins for Homo sapiens (Human)
| 產品貨號 | 產品名稱 | 來源 |
|---|---|---|
| CSB-YP023514HU CSB-BP023514HU CSB-MP023514HU CSB-EP023514HU-B |
Recombinant Human Thyroid hormone receptor beta (THRB) | Yeast Baculovirus Mammalian cell In Vivo Biotinylation in E.coli |
| CSB-EP023514HU | Recombinant Human Thyroid hormone receptor beta (THRB) | E.coli |






