THBS1
THBS1,即血栓素1,別名 THBS 1、THBS、Thbs1、Thrombospondin 1、Thrombospondin-1、TSP 1、TSP、TSP1。它是一種在多種細胞類型中表達的分泌型糖蛋白,由人體細胞自身的基因編碼。THBS1的作用機制涉及與多種細胞表面受體和細胞外基質組分的相互作用,能夠調節細胞黏附、增殖、遷移和免疫反應等過程。THBS1通過與CD36和CD47等受體結合,激活相關信號通路,影響腫瘤微環境中的免疫細胞活性和血管生成 。THBS1在腫瘤微環境中扮演著復雜的角色。它能夠抑制血管生成,調節抗腫瘤免疫反應,刺激腫瘤細胞遷移,并調節細胞外基質中蛋白酶和生長因子的活性。THBS1的表達在多種腫瘤中發生改變,與腫瘤的侵襲性、轉移和治療抵抗性密切相關。例如,在結直腸癌中,THBS1的高表達與腫瘤的高侵襲性和免疫抑制密切相關,其表達水平的升高與較差的預后相關 。因此,THBS1是腫瘤免疫治療和抗血管生成治療中的一個潛在靶點。
熱銷產品
Recombinant Human Thrombospondin-1 (THBS1), partial (CSB-RP073494h(N))
驗證數據
(Tris-Glycine gel) Discontinuous SDS-PAGE (reduced) with 5% enrichment gel and 15% separation gel.
驗證數據
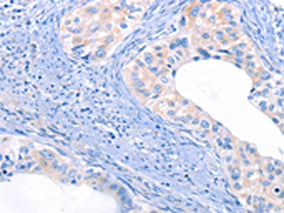
The image on the left is immunohistochemistry of paraffin-embedded Human thyroid cancer tissue using CSB-PA206082(THBS1 Antibody) at dilution 1/50, on the right is treated with synthetic peptide. (Original magnification: ×200)
The image on the left is immunohistochemistry of paraffin-embedded Human cervical cancer tissue using CSB-PA206082(THBS1 Antibody) at dilution 1/50, on the right is treated with synthetic peptide. (Original magnification: ×200)
Gel: 8%SDS-PAGE, Lysate: 40 μg, Lane 1-2: A431 cells, Huvec cells, Primary antibody: CSB-PA206082(THBS1 Antibody) at dilution 1/250, Secondary antibody: Goat anti rabbit IgG at 1/8000 dilution, Exposure time: 5 minutes
THBS1 Antibodies
THBS1 for Homo sapiens (Human)
| 產品貨號 | 產品名稱 | 種屬反應性 | 應用類型 |
|---|---|---|---|
| CSB-PA023487GA01HU | THBS1 Antibody | Human | ELISA,WB |
| CSB-PA07349A0Rb | THBS1 Antibody | Human | ELISA |
| CSB-PA07349B0Rb | THBS1 Antibody, HRP conjugated | Human | ELISA |
| CSB-PA206082 | THBS1 Antibody | Human,Mouse | ELISA,WB,IHC |
| CSB-PA901283 | THBS1 Antibody | Human,Mouse | ELISA,IHC |
| CSB-RA023487MA1HU | THBS1 Recombinant Monoclonal Antibody | Human | ELISA, FC |
THBS1 for Mus musculus (Mouse)
| 產品貨號 | 產品名稱 | 種屬反應性 | 應用類型 |
|---|---|---|---|
| CSB-PA023487LC01MO | Thbs1 Antibody, FITC conjugated | Mouse | |
| CSB-PA023487LA01MO | Thbs1 Antibody | Mouse | ELISA |
| CSB-PA023487LD01MO | Thbs1 Antibody, Biotin conjugated | Mouse | ELISA |
THBS1 Proteins
THBS1 Proteins for Homo sapiens (Human)
| 產品貨號 | 產品名稱 | 來源 |
|---|---|---|
| CSB-YP023487HU CSB-EP023487HU CSB-BP023487HU CSB-MP023487HU CSB-EP023487HU-B |
Recombinant Human Thrombospondin-1 (THBS1), partial | Yeast E.coli Baculovirus Mammalian cell In Vivo Biotinylation in E.coli |
| CSB-RP073494h(N) | Recombinant Human Thrombospondin-1 (THBS1), partial | E.coli |
THBS1 Proteins for Xenopus laevis (African clawed frog)
| 產品貨號 | 產品名稱 | 來源 |
|---|---|---|
| CSB-YP339556XBE CSB-EP339556XBE CSB-BP339556XBE CSB-MP339556XBE CSB-EP339556XBE-B |
Recombinant Xenopus laevis Thrombospondin-1 (thbs1), partial | Yeast E.coli Baculovirus Mammalian cell In Vivo Biotinylation in E.coli |
THBS1 Proteins for Bos taurus (Bovine)
| 產品貨號 | 產品名稱 | 來源 |
|---|---|---|
| CSB-YP631701BO CSB-EP631701BO CSB-BP631701BO CSB-MP631701BO CSB-EP631701BO-B |
Recombinant Bovine Thrombospondin-1 (THBS1), partial | Yeast E.coli Baculovirus Mammalian cell In Vivo Biotinylation in E.coli |
THBS1 ELISA Kit
THBS1 ELISA Kit for Homo sapiens (Human)
| 產品貨號 | 產品名稱 | 樣本類型 | 靈敏度 |
|---|---|---|---|
| CSB-E08763h | Human thrombospondin 1,TSP-1 ELISA Kit | serum, plasma, breast milk, saliva, tissue homogenates,cell culture supernates | 2.7 ng/ml |
THBS1 ELISA Kit for Mus musculus (Mouse)
| 產品貨號 | 產品名稱 | 樣本類型 | 靈敏度 |
|---|---|---|---|
| CSB-E08765m | Mouse thrombospondin 1,TSP-1 ELISA Kit | serum, plasma, tissue homogenates | 1.56 ng/ml |






