THBD
血栓調節蛋白(Thrombomodulin),簡稱THBD,是一種存在于血管內皮細胞表面的糖蛋白,能夠與凝血酶形成1:1的化學計量復合物。該蛋白在凝血調節中發揮著關鍵作用,它能夠促進蛋白C轉化為其活化形式蛋白Ca,進而抑制凝血酶的產生,并下調補體激活。THBD除了在凝血系統中發揮作用外,還參與調節免疫反應,并可能與細胞分化或炎癥有關。
THBD基因的多態性可能與血栓栓塞性疾病相關。THBD蛋白的表達主要集中于血管內皮細胞,但在其他細胞類型中也有表達,例如角質形成細胞、成骨細胞和巨噬細胞等。在血栓調節蛋白功能降低的情況下,血管內皮細胞損傷后會導致大量血栓形成和高凝狀態,從而增加血栓栓塞性疾病的風險。
目前,針對THBD蛋白的藥物研發主要集中在抗血栓領域。例如,一些研究正在探索利用THBD蛋白作為抗血栓藥物的靶點,以開發新型的抗血栓藥物。此外,也有一些研究關注THBD蛋白在免疫調節中的作用,并探索其作為免疫調節藥物的潛力。
熱銷產品
Recombinant Human Thrombomodulin (THBD), partial (CSB-EP023486HU2)
驗證數據
(Tris-Glycine gel) Discontinuous SDS-PAGE (reduced) with 5% enrichment gel and 15% separation gel.
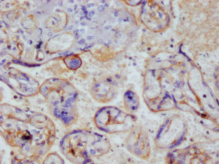
THBD Recombinant Monoclonal Antibody (CSB-RA222792A0HU)
驗證數據
IHC image of CSB-RA222792A0HU diluted at 1:100 and staining in paraffin-embedded human placenta tissue performed on a Leica BondTM system. After dewaxing and hydration, antigen retrieval was mediated by high pressure in a citrate buffer (pH 6.0). Section was blocked with 10% normal goat serum 30min at RT. Then primary antibody (1% BSA) was incubated at 4°C overnight. The primary is detected by a Goat anti-rabbit polymer IgG labeled by HRP and visualized using 0.05% DAB.
THBD Antibodies
THBD for Homo sapiens (Human)
| 產品貨號 | 產品名稱 | 種屬反應性 | 應用類型 |
|---|---|---|---|
| CSB-PA023486GA01HU | THBD Antibody | Human | ELISA,WB,IHC |
| CSB-PA179250 | THBD Antibody | Human | ELISA,WB |
| CSB-PA050256 | THBD Antibody | Human | WB, ELISA |
| CSB-PA023486DSR1HU | THBD Antibody | Human, Mouse, Rat | ELISA, WB |
| CSB-PA023486DSR2HU | THBD Antibody | Human | ELISA, IHC |
| CSB-RA222792A0HU | THBD Recombinant Monoclonal Antibody | Human | ELISA, IHC |
THBD Proteins
THBD Proteins for Mus musculus (Mouse)
| 產品貨號 | 產品名稱 | 來源 |
|---|---|---|
| CSB-YP023486MO1 CSB-EP023486MO1 CSB-BP023486MO1 CSB-MP023486MO1 CSB-EP023486MO1-B |
Recombinant Mouse Thrombomodulin (Thbd), partial | Yeast E.coli Baculovirus Mammalian cell In Vivo Biotinylation in E.coli |
| CSB-CF023486MO | Recombinant Mouse Thrombomodulin (Thbd) | in vitro E.coli expression system |
THBD Proteins for Bos taurus (Bovine)
| 產品貨號 | 產品名稱 | 來源 |
|---|---|---|
| CSB-YP023486BO CSB-EP023486BO CSB-BP023486BO CSB-MP023486BO CSB-EP023486BO-B |
Recombinant Bovine Thrombomodulin (THBD), partial | Yeast E.coli Baculovirus Mammalian cell In Vivo Biotinylation in E.coli |
THBD Proteins for Homo sapiens (Human)
| 產品貨號 | 產品名稱 | 來源 |
|---|---|---|
| CSB-YP023486HU1 CSB-BP023486HU1 CSB-MP023486HU1 CSB-EP023486HU1-B |
Recombinant Human Thrombomodulin (THBD), partial | Yeast Baculovirus Mammalian cell In Vivo Biotinylation in E.coli |
| CSB-CF023486HU | Recombinant Human Thrombomodulin (THBD) | in vitro E.coli expression system |
| CSB-EP023486HU2 | Recombinant Human Thrombomodulin (THBD), partial | E.coli |
| CSB-EP023486HU1 | Recombinant Human Thrombomodulin (THBD), partial | E.coli |
THBD Proteins for Canis familiaris (Dog) (Canis lupus familiaris)
| 產品貨號 | 產品名稱 | 來源 |
|---|---|---|
| CSB-YP023486DO CSB-EP023486DO CSB-BP023486DO CSB-MP023486DO CSB-EP023486DO-B |
Recombinant Dog Thrombomodulin (THBD), partial | Yeast E.coli Baculovirus Mammalian cell In Vivo Biotinylation in E.coli |
THBD Proteins for Saimiri sciureus (Common squirrel monkey)
| 產品貨號 | 產品名稱 | 來源 |
|---|---|---|
| CSB-YP023486SWD CSB-EP023486SWD CSB-BP023486SWD CSB-MP023486SWD CSB-EP023486SWD-B |
Recombinant Saimiri sciureus Thrombomodulin (THBD), partial | Yeast E.coli Baculovirus Mammalian cell In Vivo Biotinylation in E.coli |
THBD ELISA Kit
THBD ELISA Kit for Canis lupus familiaris (Dog) (Canis familiaris)
| 產品貨號 | 產品名稱 | 樣本類型 | 靈敏度 |
|---|---|---|---|
| CSB-E06529c | Dog thrombomodulin,TM ELISA Kit | serum, plasma, tissue homogenates | 5.86 pg/mL |
THBD ELISA Kit for Homo sapiens (Human)
| 產品貨號 | 產品名稱 | 樣本類型 | 靈敏度 |
|---|---|---|---|
| CSB-E07937h | Human thrombomodulin,TM ELISA Kit | serum, plasma, tissue homogenates | 0.078 ng/mL |
THBD ELISA Kit for Mus musculus (Mouse)
| 產品貨號 | 產品名稱 | 樣本類型 | 靈敏度 |
|---|---|---|---|
| CSB-E13383m | Mouse Soluable Thrombomodulin (STM) ELISA KIT | serum, plasma, tissue homogenates | 0.039 ng/mL |






