TGFB3
轉化生長因子-β3(TGF-β3)是調控胚胎發育和組織穩態的重要蛋白,在哺乳動物中也被簡稱為TGFB3。該蛋白屬于轉化生長因子超家族成員,與TGF-β1、TGF-β2具有相似結構但獨特功能,尤其在心臟形態建成和腭板融合過程中起關鍵作用。TGFB3通過激活特定胞內分子網絡,影響細胞增殖、分化及胞外基質沉積,異常表達可能引發先天性心臟病、腭裂等發育缺陷,并與肺纖維化、腫瘤轉移等病理過程相關。近年有學者發現該蛋白在調控免疫微環境和抑制過度瘢痕形成方面具有潛力,相關抗體藥物如GC1008已進入臨床試驗,用于特發性肺纖維化等疾病的干預。不過由于TGF-β家族成員功能的高度復雜性,針對TGF-β3的特異性靶向治療仍需突破多重技術瓶頸。
熱銷產品
Recombinant Human Transforming growth factor beta-3 proprotein (TGFB3) (CSB-MP023449HU2)
驗證數據
(Tris-Glycine gel) Discontinuous SDS-PAGE (reduced) with 5% enrichment gel and 15% separation gel.
Recombinant Human Transforming growth factor beta-3 (TGFB3), partial (CSB-EP023449HU1)
驗證數據
(Tris-Glycine gel) Discontinuous SDS-PAGE (reduced) with 5% enrichment gel and 15% separation gel.
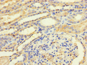
TGFB3 Antibody (CSB-PA023449LA01HU)
驗證數據
Immunohistochemistry of paraffin-embedded human kidney tissue using CSB-PA023449LA01HU at dilution of 1:100
Immunohistochemistry of paraffin-embedded human colon cancer using CSB-PA023449LA01HU at dilution of 1:100
Human Transforming Growth factor β3,TGF-β3 ELISA kit (CSB-E13738h)
驗證數據
貨號:CSB-E13738h
規格:96T/48T
靈敏度:3.9 pg/mL
檢測范圍:15.6 pg/mL-1000 pg/mL
These standard curves are provided for demonstration only. A standard curve should be generated for each set of samples assayed.
TGFB3 Antibodies
TGFB3 for Homo sapiens (Human)
| 產品貨號 | 產品名稱 | 種屬反應性 | 應用類型 |
|---|---|---|---|
| CSB-PA023449GA01HU | TGFB3 Antibody | Human,Mouse,Rat | ELISA,WB |
| CSB-PA17749C0Rb | TGFB3 Antibody, FITC conjugated | Human | |
| CSB-PA17749B0Rb | TGFB3 Antibody, HRP conjugated | Human | ELISA |
| CSB-PA17749D0Rb | TGFB3 Antibody, Biotin conjugated | Human | ELISA |
| CSB-PA217147 | TGFB3 Antibody | Human,Mouse,Rat | ELISA,WB,IHC |
| CSB-PA004283 | TGFB3 Antibody | Human,Mouse,Rat,Monkey | WB, IHC, ELISA |
| CSB-PA023449LA01HU | TGFB3 Antibody | Human | ELISA, IHC |
| CSB-PA023449LD01HU | TGFB3 Antibody, Biotin conjugated | Human | ELISA |
| CSB-PA023449LC01HU | TGFB3 Antibody, FITC conjugated | Human | |
| CSB-PA023449LB01HU | TGFB3 Antibody, HRP conjugated | Human | ELISA |
| CSB-PA17749A0Rb | TGFB3 Antibody | Human | ELISA, IHC |
TGFB3 Proteins
TGFB3 Proteins for Homo sapiens (Human)
| 產品貨號 | 產品名稱 | 來源 |
|---|---|---|
| CSB-YP023449HU CSB-BP023449HU CSB-MP023449HU CSB-EP023449HU-B |
Recombinant Human Transforming growth factor beta-3 proprotein (TGFB3), partial | Yeast Baculovirus Mammalian cell In Vivo Biotinylation in E.coli |
| CSB-EP023449HU1 | Recombinant Human Transforming growth factor beta-3 (TGFB3), partial | E.coli |
| CSB-EP023449HU | Recombinant Human Transforming growth factor beta-3 proprotein (TGFB3), partial | E.coli |
| CSB-AP004051HU | Recombinant Human Transforming growth factor beta-3 (TGFB3)(Y340F), partial (Active) | Mammalian cell |
| CSB-MP023449HU-WD | Recombinant Human Transforming growth factor beta-3 proprotein (TGFB3),Partial (Active) | Mammalian cell |
TGFB3 Proteins for Gallus gallus (Chicken)
| 產品貨號 | 產品名稱 | 來源 |
|---|---|---|
| CSB-YP023449CH CSB-EP023449CH CSB-BP023449CH CSB-MP023449CH CSB-EP023449CH-B |
Recombinant Chicken Transforming growth factor beta-3 (TGFB3) | Yeast E.coli Baculovirus Mammalian cell In Vivo Biotinylation in E.coli |
TGFB3 Proteins for Sus scrofa (Pig)
| 產品貨號 | 產品名稱 | 來源 |
|---|---|---|
| CSB-YP023449PI CSB-EP023449PI CSB-BP023449PI CSB-MP023449PI CSB-EP023449PI-B |
Recombinant Pig Transforming growth factor beta-3 (TGFB3) | Yeast E.coli Baculovirus Mammalian cell In Vivo Biotinylation in E.coli |
TGFB3 Proteins for Mus musculus (Mouse)
| 產品貨號 | 產品名稱 | 來源 |
|---|---|---|
| CSB-YP023449MO CSB-BP023449MO CSB-EP023449MO-B |
Recombinant Mouse Transforming growth factor beta-3 (Tgfb3), partial | Yeast Baculovirus In Vivo Biotinylation in E.coli |
TGFB3 ELISA Kit
TGFB3 ELISA Kit for Homo sapiens (Human)
| 產品貨號 | 產品名稱 | 樣本類型 | 靈敏度 |
|---|---|---|---|
| CSB-E13738h | Human Transforming Growth factor β3,TGF-β3 ELISA kit | serum, plasma, cell culture supernates | 3.9 pg/mL |
TGFB3 ELISA Kit for Mus musculus (Mouse)
| 產品貨號 | 產品名稱 | 樣本類型 | 靈敏度 |
|---|---|---|---|
| CSB-E12862m | Mouse Transforming Growth factor β3,TGF-β3 ELISA kit | serum, plasma, cell culture supernates, tissue homogenates | 31.25 pg/mL |






