TG
TG,全名為甲狀腺球蛋白,也被稱為Tg。它是甲狀腺濾泡細胞產生的二聚體蛋白質,占甲狀腺蛋白質含量的一半左右。TG蛋白在甲狀腺激素T3和T4的合成中扮演重要角色,每個TG分子可以形成大約10個甲狀腺激素分子。甲狀腺球蛋白的異常與多種疾病相關,如甲狀腺癌、甲狀腺功能亢進或減退等。在藥物研發方面,針對TG蛋白的抗體和檢測方法的研究不斷進展,為甲狀腺相關疾病的診斷和治療提供了新的工具和策略。
熱銷產品
Recombinant Human Thyroglobulin (TG), partial (CSB-EP023442HU)
驗證數據
(Tris-Glycine gel) Discontinuous SDS-PAGE (reduced) with 5% enrichment gel and 15% separation gel.
驗證數據
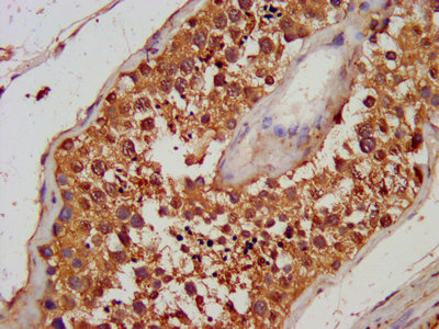
IHC image of CSB-PA12325A0Rb diluted at 1:100 and staining in paraffin-embedded human testis tissue performed on a Leica BondTM system. After dewaxing and hydration, antigen retrieval was mediated by high pressure in a citrate buffer (pH 6.0). Section was blocked with 10% normal goat serum 30min at RT. Then primary antibody (1% BSA) was incubated at 4°C overnight. The primary is detected by a biotinylated secondary antibody and visualized using an HRP conjugated SP system.
Human Thyroglobulin,TG ELISA Kit (CSB-E04990h)
驗證數據
貨號:CSB-E04990h
規格:96T/48T
靈敏度:1.56 ng/ml
檢測范圍:6.25 ng/ml- 400 ng/ml
These standard curves are provided for demonstration only. A standard curve should be generated for each set of samples assayed.
TG Antibodies
TG for Homo sapiens (Human)
| 產品貨號 | 產品名稱 | 種屬反應性 | 應用類型 |
|---|---|---|---|
| CSB-PA980348 | TG Antibody | Human | ELISA,IHC |
| CSB-PA12325A0Rb | TG Antibody | Human | ELISA, IHC |
| CSB-PA12325B0Rb | TG Antibody, HRP conjugated | Human | ELISA |
| CSB-PA12325C0Rb | TG Antibody, FITC conjugated | Human | |
| CSB-PA12325D0Rb | TG Antibody, Biotin conjugated | Human | ELISA |
TG Proteins
TG Proteins for Rattus norvegicus (Rat)
| 產品貨號 | 產品名稱 | 來源 |
|---|---|---|
| CSB-YP023442RA CSB-BP023442RA CSB-MP023442RA CSB-EP023442RA-B |
Recombinant Rat Thyroglobulin (Tg), partial | Yeast Baculovirus Mammalian cell In Vivo Biotinylation in E.coli |
| CSB-EP023442RA | Recombinant Rat Thyroglobulin (Tg), partial | E.coli |
TG Proteins for Bos taurus (Bovine)
| 產品貨號 | 產品名稱 | 來源 |
|---|---|---|
| CSB-YP023442BO CSB-EP023442BO CSB-BP023442BO CSB-MP023442BO CSB-EP023442BO-B |
Recombinant Bovine Thyroglobulin (TG), partial | Yeast E.coli Baculovirus Mammalian cell In Vivo Biotinylation in E.coli |
TG Proteins for Mus musculus (Mouse)
| 產品貨號 | 產品名稱 | 來源 |
|---|---|---|
| CSB-YP023442MO CSB-EP023442MO CSB-BP023442MO CSB-MP023442MO CSB-EP023442MO-B |
Recombinant Mouse Thyroglobulin (Tg), partial | Yeast E.coli Baculovirus Mammalian cell In Vivo Biotinylation in E.coli |
TG Proteins for Homo sapiens (Human)
| 產品貨號 | 產品名稱 | 來源 |
|---|---|---|
| CSB-EP023442HU | Recombinant Human Thyroglobulin (TG), partial | E.coli |
TG ELISA Kit
TG ELISA Kit for Homo sapiens (Human)
| 產品貨號 | 產品名稱 | 樣本類型 | 靈敏度 |
|---|---|---|---|
| CSB-E04990h | Human Thyroglobulin,TG ELISA Kit | serum, plasma, tissue homogenates. | 1.56 ng/ml |
TG ELISA Kit for Mus musculus (Mouse)
| 產品貨號 | 產品名稱 | 樣本類型 | 靈敏度 |
|---|---|---|---|
| CSB-E08241m | Mouse Thyroglobulin,TG ELISA Kit | serum, plasma, tissue homogenates | 10 ng/mL |
TG ELISA Kit for Rattus norvegicus (Rat)
| 產品貨號 | 產品名稱 | 樣本類型 | 靈敏度 |
|---|---|---|---|
| CSB-E08240r | Rat Thyroglobulin,TG ELISA Kit | serum, plasma, tissue Homogenates | 10 ng/mL |






