TET3
TET3,全稱為Ten-Eleven Translocation 3蛋白,是TET蛋白家族的重要成員之一,該家族還包括TET1和TET2蛋白。TET3蛋白在DNA去甲基化過程中發揮著關鍵作用,能夠將DNA上的甲基化標記去除,從而影響基因表達。TET3蛋白在多種生理過程中扮演著重要角色,包括細胞分化、發育和腫瘤抑制等。研究表明,TET3蛋白的活性與多種疾病的發生發展密切相關,尤其是血液腫瘤。例如,TET3蛋白的突變或功能喪失會導致血液腫瘤的發生,而TET3蛋白的過度活躍則可能與自身免疫性疾病有關。近年來,科學家們對TET3蛋白的研究逐漸深入,并開始探索其在疾病治療中的應用。目前,針對TET3蛋白的藥物研發尚處于早期階段,但已有一些研究顯示出 promising 的前景。例如,有研究表明,通過激活TET3蛋白的活性,可以有效抑制腫瘤細胞的生長和擴散。此外,TET3蛋白也被認為在阿爾茨海默病等神經退行性疾病的發生發展中發揮作用,因此,針對TET3蛋白的藥物研發可能為這些疾病的治療提供新的思路。
熱銷產品
TET3 Antibody (CSB-PA023398LA01HU)
驗證數據
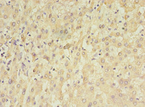
Immunohistochemistry of paraffin-embedded human liver tissue using CSB-PA023398LA01HU at dilution of 1:100
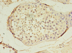
Immunohistochemistry of paraffin-embedded human testis tissue using CSB-PA023398LA01HU at dilution of 1:100
TET3 Antibodies
TET3 for Homo sapiens (Human)
| 產品貨號 | 產品名稱 | 種屬反應性 | 應用類型 |
|---|---|---|---|
| CSB-PA023398LA01HU | TET3 Antibody | Human | ELISA, IHC |
TET3 Proteins
TET3 Proteins for Homo sapiens (Human)
| 產品貨號 | 產品名稱 | 來源 |
|---|---|---|
| CSB-YP023398HU CSB-EP023398HU CSB-BP023398HU CSB-MP023398HU CSB-EP023398HU-B |
Recombinant Human Methylcytosine dioxygenase TET3 (TET3), partial | Yeast E.coli Baculovirus Mammalian cell In Vivo Biotinylation in E.coli |






