TEAD4
TEAD4,即睪丸增強子相關蛋白4,別名TEF-4、RTLX3、TEAD4。它是一種由TEAD4基因編碼的轉錄因子,屬于TEA/ATTS家族成員,在多種組織中表達。TEAD4的作用機制涉及與YAP/TAZ蛋白家族成員相互作用,調控下游基因的轉錄,參與細胞增殖、遷移和組織再生等過程。TEAD4參與了多種生理和病理過程的調控,包括心臟和血管發育、肺泡形成、腫瘤發生等。TEAD4的功能異常與某些疾病有關,例如在某些類型的癌癥中,TEAD4的異常激活可能促進腫瘤細胞的增殖和侵襲,是細胞生物學和疾病研究中的一個重要分子靶點。
熱銷產品
Recombinant Human Transcriptional enhancer factor TEF-3 (TEAD4), partial (CSB-BP618010HU)
驗證數據
(Tris-Glycine gel) Discontinuous SDS-PAGE (reduced) with 5% enrichment gel and 15% separation gel.
TEAD4 Antibody (CSB-PA618010LA01HU)
驗證數據
Western Blot
Positive WB detected in: Hela whole cell lysate, MCF-7 whole cell lysate, HepG2 whole cell lysate, K562 whole cell lysate
All lanes: TEAD4 antibody at 2.8µg/ml
Secondary
Goat polyclonal to rabbit IgG at 1/50000 dilution
Predicted band size: 49, 35, 45 kDa
Observed band size: 49 kDa
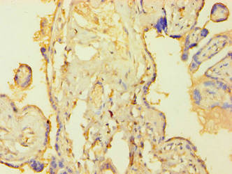
Immunohistochemistry of paraffin-embedded human placenta tissue using CSB-PA618010LA01HU at dilution of 1:100
TEAD4 Antibodies
TEAD4 for Homo sapiens (Human)
| 產品貨號 | 產品名稱 | 種屬反應性 | 應用類型 |
|---|---|---|---|
| CSB-PA023366GA01HU | TEAD4 Antibody | Human,Mouse,Rat | ELISA,WB |
| CSB-PA618010LA01HU | TEAD4 Antibody | Human | ELISA, WB, IHC |
| CSB-PA618010LC01HU | TEAD4 Antibody, FITC conjugated | Human | |
| CSB-PA618010LD01HU | TEAD4 Antibody, Biotin conjugated | Human | ELISA |
TEAD4 Proteins
TEAD4 Proteins for Gallus gallus (Chicken)
| 產品貨號 | 產品名稱 | 來源 |
|---|---|---|
| CSB-YP023366CH CSB-EP023366CH CSB-BP023366CH CSB-MP023366CH CSB-EP023366CH-B |
Recombinant Chicken Transcriptional enhancer factor TEF-3 (TEAD4) | Yeast E.coli Baculovirus Mammalian cell In Vivo Biotinylation in E.coli |
TEAD4 Proteins for Homo sapiens (Human)
| 產品貨號 | 產品名稱 | 來源 |
|---|---|---|
| CSB-YP618010HU CSB-MP618010HU CSB-EP618010HU-B |
Recombinant Human Transcriptional enhancer factor TEF-3 (TEAD4), partial | Yeast Mammalian cell In Vivo Biotinylation in E.coli |
| CSB-EP618010HU | Recombinant Human Transcriptional enhancer factor TEF-3 (TEAD4),Partial | E.coli |
| CSB-EP618010HUa2 | Recombinant Human Transcriptional enhancer factor TEF-3 (TEAD4), partial | E.coli |
| CSB-EP618010HUe0 | Recombinant Human Transcriptional enhancer factor TEF-3 (TEAD4), partial | E.coli |
| CSB-BP618010HU | Recombinant Human Transcriptional enhancer factor TEF-3 (TEAD4), partial | Baculovirus |
| CSB-EP618010HU1 | Recombinant Human Transcriptional enhancer factor TEF-3 (TEAD4), partial | E.coli |
| CSB-EP618010HU1g5 | Recombinant Human Transcriptional enhancer factor TEF-3 (TEAD4), Partial | E.coli |
| CSB-EP618010HU1a0 | Recombinant Human Transcriptional enhancer factor TEF-3 (TEAD4), partial | E.coli |
| CSB-EP618010HU1d7 | Recombinant Human Transcriptional enhancer factor TEF-3 (TEAD4), Partial | E.coli |
TEAD4 Proteins for Mus musculus (Mouse)
| 產品貨號 | 產品名稱 | 來源 |
|---|---|---|
| CSB-YP737076MO CSB-EP737076MO CSB-BP737076MO CSB-MP737076MO CSB-EP737076MO-B |
Recombinant Mouse Transcriptional enhancer factor TEF-3 (Tead4) | Yeast E.coli Baculovirus Mammalian cell In Vivo Biotinylation in E.coli |
| CSB-EP737076MO2b1 | Recombinant Mouse Transcriptional enhancer factor TEF-3 (Tead4), partial | E.coli |
| CSB-EP737076MO2 | Recombinant Mouse Transcriptional enhancer factor TEF-3 (Tead4), partial | E.coli |






