TCF12
TCF12,即轉錄因子12,別名HEB、p64、CRS3、HH26、HTF4、TCF-12、bHLHb20、HsT17266等。TCF12是一種基本螺旋-環-螺旋(bHLH) E蛋白家族成員,能夠識別特定的結合位點(E-box)"CANNTG"。它在多種組織中表達,包括骨骼肌、胸腺、B細胞和T細胞,可能通過與其他bHLH E蛋白形成異二聚體來參與調節譜系特異性基因表達。TCF12在生物學上的意義非常廣泛,它參與調控多種細胞的發育和分化過程。例如,TCF12在造血干細胞中高表達,對調節其功能和向淋巴細胞前體分化中起著重要作用。此外,TCF12還與顱骨生長和運動學習相關,其功能喪失突變可導致顱縫早閉和神經發育遲緩。在骨關節炎中,TCF12通過靶向CXCR4調節TGF-β/Smad2/3信號通路,加速疾病進展。因此,TCF12在維持正常生理功能和疾病發生發展中扮演著關鍵角色。
熱銷產品
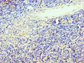
TCF12 Antibody (CSB-PA023293ESR1HU)
驗證數據
Immunohistochemistry of paraffin-embedded human thymus tissue using CSB-PA023293ESR1HU at dilution of 1:100
Immunoprecipitating TCF12 in Jurkat whole cell lysate
Lane 1: Rabbit control IgG instead of (1μg) instead of CSB-PA023293ESR1HU in Jurkat whole cell lysate.
For western blotting, a HRP-conjugated anti-rabbit IgG, specific to the non-reduced form of IgG was used as the Secondary antibody (1/50000)
Lane 2: CSB-PA023293ESR1HU (4μg) + Jurkat whole cell lysate (500μg)
Lane 3: Jurkat whole cell lysate (20μg)
TCF12 Antibodies
TCF12 for Homo sapiens (Human)
| 產品貨號 | 產品名稱 | 種屬反應性 | 應用類型 |
|---|---|---|---|
| CSB-PA023293GA01HU | TCF12 Antibody | Human,Mouse,Rat | ELISA,WB,IHC |
| CSB-PA023293ESR1HU | TCF12 Antibody | Human | ELISA, IHC, IP |
TCF12 Proteins
TCF12 Proteins for Gallus gallus (Chicken)
| 產品貨號 | 產品名稱 | 來源 |
|---|---|---|
| CSB-YP023293CH CSB-EP023293CH CSB-BP023293CH CSB-MP023293CH CSB-EP023293CH-B |
Recombinant Chicken Transcription factor 12 (TCF12), partial | Yeast E.coli Baculovirus Mammalian cell In Vivo Biotinylation in E.coli |
TCF12 Proteins for Rattus norvegicus (Rat)
| 產品貨號 | 產品名稱 | 來源 |
|---|---|---|
| CSB-YP023293RA CSB-EP023293RA CSB-BP023293RA CSB-MP023293RA CSB-EP023293RA-B |
Recombinant Rat Transcription factor 12 (Tcf12) | Yeast E.coli Baculovirus Mammalian cell In Vivo Biotinylation in E.coli |
TCF12 Proteins for Mus musculus (Mouse)
| 產品貨號 | 產品名稱 | 來源 |
|---|---|---|
| CSB-YP023293MO CSB-EP023293MO CSB-BP023293MO CSB-MP023293MO CSB-EP023293MO-B |
Recombinant Mouse Transcription factor 12 (Tcf12) | Yeast E.coli Baculovirus Mammalian cell In Vivo Biotinylation in E.coli |
TCF12 Proteins for Mesocricetus auratus (Golden hamster)
| 產品貨號 | 產品名稱 | 來源 |
|---|---|---|
| CSB-YP023293MRG CSB-EP023293MRG CSB-BP023293MRG CSB-MP023293MRG CSB-EP023293MRG-B |
Recombinant Mesocricetus auratus Transcription factor 12 (TCF12) | Yeast E.coli Baculovirus Mammalian cell In Vivo Biotinylation in E.coli |
TCF12 Proteins for Homo sapiens (Human)
| 產品貨號 | 產品名稱 | 來源 |
|---|---|---|
| CSB-YP023293HU CSB-EP023293HU CSB-BP023293HU CSB-MP023293HU CSB-EP023293HU-B |
Recombinant Human Transcription factor 12 (TCF12) | Yeast E.coli Baculovirus Mammalian cell In Vivo Biotinylation in E.coli |
TCF12 Proteins for Papio hamadryas (Hamadryas baboon)
| 產品貨號 | 產品名稱 | 來源 |
|---|---|---|
| CSB-YP023293ERJ CSB-EP023293ERJ CSB-BP023293ERJ CSB-MP023293ERJ CSB-EP023293ERJ-B |
Recombinant Papio hamadryas Transcription factor 12 (TCF12) | Yeast E.coli Baculovirus Mammalian cell In Vivo Biotinylation in E.coli |






