TALDO1
TALDO1,即轉醛醇酶1,別名包括Transaldolase 1、TAL、TALDO、TALDOR等。它是一種在人體多種組織中表達的酶,由TALDO1基因編碼,位于染色體11上 。TALDO1的作用機制主要是作為非氧化戊糖磷酸途徑的關鍵酶,催化景天庚酮糖7-磷酸和D-甘油醛3-磷酸可逆轉化為赤蘚糖4-磷酸和β-D-果糖6-磷酸,為核酸合成提供核糖5-磷酸,為脂質生物合成提供NADPH 。TALDO1參與維持谷胱甘肽的還原狀態,保護巰基和細胞完整性免受氧自由基的侵害,還參與多種代謝途徑的協調。TALDO1的功能異常與多種疾病有關,例如轉醛醇酶1缺乏癥、多發性硬化癥、肝病、肝硬化、肝癌等 。此外,TALDO1的表達水平在某些腫瘤中發生改變,可能影響腫瘤細胞的增殖、侵襲和轉移等惡性行為 。因此,TALDO1是藥物開發和疾病治療中的一個潛在靶點。
熱銷產品
Recombinant Human Transaldolase (TALDO1), partial (CSB-RP042754h)
驗證數據
(Tris-Glycine gel) Discontinuous SDS-PAGE (reduced) with 5% enrichment gel and 15% separation gel.
TALDO1 Antibody (CSB-PA04275A0Rb)
驗證數據
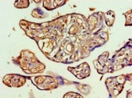
Immunohistochemistry of paraffin-embedded human placenta tissue using CSB-PA04275A0Rb at dilution of 1:100
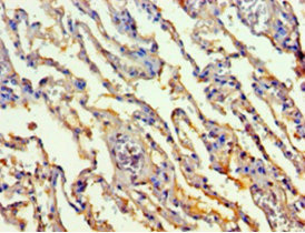
Immunohistochemistry of paraffin-embedded human lung tissue using CSB-PA04275A0Rb at dilution of 1:100
Western blot
All lanes: TALDO1 antibody at 0.1µg/ml
Lane 1: Human placenta tissue
Lane 2: Hela whole cell lysate
Lane 3: Jurkat whole cell lysate
Lane 4: A375 whole cell lysate
Secondary
Goat polyclonal to rabbit IgG at 1/10000 dilution
Predicted band size: 38 kDa
Observed band size: 38 kDa
TALDO1 Antibodies
TALDO1 for Homo sapiens (Human)
| 產品貨號 | 產品名稱 | 種屬反應性 | 應用類型 |
|---|---|---|---|
| CSB-PA04275A0Rb | TALDO1 Antibody | Human | ELISA, WB, IHC |
| CSB-PA023112GA01HU | TALDO1 Antibody | Human,Mouse,Rat | ELISA,WB |
| CSB-PA977634 | TALDO1 Antibody | Human,Mouse,Rat | ELISA,WB,IHC |
| CSB-PA217736 | TALDO1 Antibody | Human,Mouse,Rat | ELISA,WB,IHC |
TALDO1 Proteins
TALDO1 Proteins for Homo sapiens (Human)
| 產品貨號 | 產品名稱 | 來源 |
|---|---|---|
| CSB-BP023112HU CSB-EP023112HU-B |
Recombinant Human Transaldolase (TALDO1) | Baculovirus In Vivo Biotinylation in E.coli |
| CSB-RP042754h | Recombinant Human Transaldolase (TALDO1), partial | E.coli |






