TACR1
TACR1,全稱為Tachykinin receptor 1,是一種神經激肽受體,也被稱為NK1R或SPR。該受體主要分布于中樞和外周神經系統,能夠與多種神經肽物質結合,如緩激肽和激肽素等,參與多種生理過程的調節。TACR1與多種蛋白質相互作用,在炎癥和其他疾病的發生發展中發揮著重要作用。例如,TACR1激動劑對治療精神分裂癥、抑郁癥和藥物成癮具有潛力。近年來,科學家們通過結構生物學研究手段揭示了TAAR1與藥物成癮和神經精神疾病相關的分子識別機制,為治療藥物成癮和研發新型抗精神類藥物提供了重要的理論基礎。此外,TAAR1也被認為與多種精神疾病相關,如精神分裂癥、注意力缺陷多動癥等。針對TAAR1開發的新型藥物,如TAAR1小分子激動劑ZH8651,已在動物模型中驗證了其改善精神分裂癥的作用,為相關疾病的治療提供了新的思路和途徑。
熱銷產品
Recombinant Human Substance-P receptor (TACR1), partial (CSB-EP023068HU)
驗證數據
(Tris-Glycine gel) Discontinuous SDS-PAGE (reduced) with 5% enrichment gel and 15% separation gel.
TACR1 Recombinant Monoclonal Antibody (CSB-RA555508A0HU)
驗證數據
Western Blot
Positive WB detected in: THP-1 whole cell lysate, Hela whole cell lysate, HepG2 whole cell lysate, MCF-7 whole cell lysate, Ntera-2 whole cell lysate, Mouse Brain whole cell lysate
All lanes: TACR1 antibody at 1:1000
Secondary
Goat polyclonal to rabbit IgG at 1/50000 dilution
Predicted band size: 47, 36 kDa
Observed band size: 50 kDa
TACR1 Antibody (CSB-PA09674A0Rb)
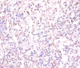
驗證數據
Immunohistochemistry of paraffin-embedded human spleen tissue using CSB-PA09674A0Rb at dilution of 1:100
Immunofluorescent analysis of NIH/3T3 cells using CSB-PA09674A0Rb at dilution of 1:100 and Alexa Fluor 488-congugated AffiniPure Goat Anti-Rabbit IgG(H+L)
TACR1 Antibodies
TACR1 for Homo sapiens (Human)
| 產品貨號 | 產品名稱 | 種屬反應性 | 應用類型 |
|---|---|---|---|
| CSB-PA09674A0Rb | TACR1 Antibody | Human | ELISA, IHC, IF |
| CSB-PA09674C0Rb | TACR1 Antibody, FITC conjugated | Human | |
| CSB-PA09674D0Rb | TACR1 Antibody, Biotin conjugated | Human | ELISA |
| CSB-PA023068GA01HU | TACR1 Antibody | Human,Mouse,Rat | ELISA,WB |
| CSB-PA050201 | TACR1 Antibody | Human,Mouse,Rat | WB, IF, ELISA |
| CSB-RA555508A0HU | TACR1 Recombinant Monoclonal Antibody | Human, Mouse | ELISA, WB |
TACR1 Proteins
TACR1 Proteins for Rattus norvegicus (Rat)
| 產品貨號 | 產品名稱 | 來源 |
|---|---|---|
| CSB-YP023068RA1 CSB-EP023068RA1 CSB-BP023068RA1 CSB-MP023068RA1 CSB-EP023068RA1-B |
Recombinant Rat Substance-P receptor (Tacr1), partial | Yeast E.coli Baculovirus Mammalian cell In Vivo Biotinylation in E.coli |
| CSB-CF023068RA | Recombinant Rat Substance-P receptor (Tacr1) | in vitro E.coli expression system |
TACR1 Proteins for Cavia porcellus (Guinea pig)
| 產品貨號 | 產品名稱 | 來源 |
|---|---|---|
| CSB-YP023068GU1 CSB-EP023068GU1 CSB-BP023068GU1 CSB-MP023068GU1 CSB-EP023068GU1-B |
Recombinant Guinea pig Substance-P receptor (TACR1), partial | Yeast E.coli Baculovirus Mammalian cell In Vivo Biotinylation in E.coli |
| CSB-CF023068GU | Recombinant Guinea pig Substance-P receptor (TACR1) | in vitro E.coli expression system |
TACR1 Proteins for Homo sapiens (Human)
| 產品貨號 | 產品名稱 | 來源 |
|---|---|---|
| CSB-YP023068HU CSB-BP023068HU CSB-MP023068HU CSB-EP023068HU-B |
Recombinant Human Substance-P receptor (TACR1), partial | Yeast Baculovirus Mammalian cell In Vivo Biotinylation in E.coli |
| CSB-EP023068HU | Recombinant Human Substance-P receptor (TACR1), partial | E.coli |
TACR1 Proteins for Mus musculus (Mouse)
| 產品貨號 | 產品名稱 | 來源 |
|---|---|---|
| CSB-YP023068MO1 CSB-EP023068MO1 CSB-BP023068MO1 CSB-MP023068MO1 CSB-EP023068MO1-B |
Recombinant Mouse Substance-P receptor (Tacr1), partial | Yeast E.coli Baculovirus Mammalian cell In Vivo Biotinylation in E.coli |
| CSB-CF023068MO | Recombinant Mouse Substance-P receptor (Tacr1) | in vitro E.coli expression system |
TACR1 Proteins for Canis familiaris (Dog) (Canis lupus familiaris)
| 產品貨號 | 產品名稱 | 來源 |
|---|---|---|
| CSB-YP688584DO1 CSB-EP688584DO1 CSB-BP688584DO1 CSB-MP688584DO1 CSB-EP688584DO1-B |
Recombinant Dog Substance-P receptor (TACR1), partial | Yeast E.coli Baculovirus Mammalian cell In Vivo Biotinylation in E.coli |
| CSB-CF688584DO | Recombinant Dog Substance-P receptor (TACR1) | in vitro E.coli expression system |
TACR1 Proteins for Meriones unguiculatus (Mongolian jird) (Mongolian gerbil)
| 產品貨號 | 產品名稱 | 來源 |
|---|---|---|
| CSB-YP710711MRA1 CSB-EP710711MRA1 CSB-BP710711MRA1 CSB-MP710711MRA1 CSB-EP710711MRA1-B |
Recombinant Meriones unguiculatus Substance-P receptor (TACR1), partial | Yeast E.coli Baculovirus Mammalian cell In Vivo Biotinylation in E.coli |
| CSB-CF710711MRA | Recombinant Meriones unguiculatus Substance-P receptor (TACR1) | in vitro E.coli expression system |
TACR1 Proteins for Lithobates catesbeiana (American bullfrog) (Rana catesbeiana)
| 產品貨號 | 產品名稱 | 來源 |
|---|---|---|
| CSB-YP839654LQA1 CSB-EP839654LQA1 CSB-BP839654LQA1 CSB-MP839654LQA1 CSB-EP839654LQA1-B |
Recombinant Lithobates catesbeiana Substance-P receptor (TACR1), partial | Yeast E.coli Baculovirus Mammalian cell In Vivo Biotinylation in E.coli |
| CSB-CF839654LQA | Recombinant Lithobates catesbeiana Substance-P receptor (TACR1) | in vitro E.coli expression system |
TACR1 ELISA Kit
TACR1 ELISA Kit for Mus musculus (Mouse)
| 產品貨號 | 產品名稱 | 樣本類型 | 靈敏度 |
|---|---|---|---|
| CSB-E08362m | Mouse substance P receptor,SP-R ELISA Kit | serum, plasma, cell lysates, tissue homogenates | 1.95 pg/mL |






