SSR1
SSR1,全稱為生長抑素受體1蛋白,是一種在細胞內質網功能調節中發揮作用的蛋白質。它通過與TRAP蛋白結合,參與內質網膜的功能調節。TRAP蛋白在將鈣結合到內質網膜上的復合物中發揮作用,從而調節駐留內質網蛋白的保留。SSR1蛋白可能在易位過程完成后的易位裝置回收中發揮作用,或者充當膜結合伴侶,促進易位蛋白質的折疊。TRAP蛋白的異四聚體由TRAP-α、TRAP-β、TRAP-δ和TRAP-gamma組成,與棕櫚酰化鈣聯蛋白相互作用,這種相互作用對于糖基化蛋白的有效折疊至關重要。SSR1蛋白的相關疾病包括血清素綜合癥,其癥狀包括高燒、激動、反射亢進、顫抖、瞳孔放大及腹瀉等。SSR1蛋白的藥物研發進展包括新型核酸藥物及靶向核酸的藥物研發,以及兒童抗腫瘤藥物研發鼓勵試點計劃等。
熱銷產品
Recombinant Human Somatostatin receptor type 1 (SSTR1)-VLPs (CSB-MP022724HU)
驗證數據
CSB-MP022724HU is detected by Mouse anti-6*His monoclonal antibody.
驗證數據
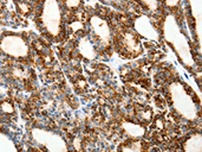
The image on the left is immunohistochemistry of paraffin-embedded Human breast cancer tissue using CSB-PA793008(SSTR1 Antibody) at dilution 1/50, on the right is treated with synthetic peptide. (Original magnification: ×200)
The image on the left is immunohistochemistry of paraffin-embedded Human thyroid cancer tissue using CSB-PA793008(SSTR1 Antibody) at dilution 1/50, on the right is treated with synthetic peptide. (Original magnification: ×200)
SSR1 Antibodies
SSR1 for Homo sapiens (Human)
| 產品貨號 | 產品名稱 | 種屬反應性 | 應用類型 |
|---|---|---|---|
| CSB-PA022724GA01HU | SSTR1 Antibody | Human,Mouse,Rat | ELISA,WB |
| CSB-PA022717GA01HU | SSR1 Antibody | Human,Mouse,Rat | ELISA,WB,IHC |
| CSB-PA050159 | SSTR1 Antibody | Human,Mouse,Rat,Monkey | WB, IF, ELISA |
| CSB-PA793008 | SSTR1 Antibody | Human,Mouse,Rat | ELISA,IHC |
| CSB-PA075436 | SSTR1 Antibody | Human,Mouse,Rat | ELISA,WB,IHC |
SSR1 Proteins
SSR1 Proteins for Canis familiaris (Dog) (Canis lupus familiaris)
| 產品貨號 | 產品名稱 | 來源 |
|---|---|---|
| CSB-YP022717DO1 CSB-EP022717DO1 CSB-BP022717DO1 CSB-MP022717DO1 CSB-EP022717DO1-B |
Recombinant Dog Translocon-associated protein subunit alpha (SSR1), partial | Yeast E.coli Baculovirus Mammalian cell In Vivo Biotinylation in E.coli |
| CSB-CF022717DO | Recombinant Dog Translocon-associated protein subunit alpha (SSR1) | in vitro E.coli expression system |
SSR1 Proteins for Homo sapiens (Human)
| 產品貨號 | 產品名稱 | 來源 |
|---|---|---|
| CSB-YP022724HU1 CSB-EP022724HU1 CSB-BP022724HU1 CSB-MP022724HU1 CSB-EP022724HU1-B |
Recombinant Human Somatostatin receptor type 1 (SSTR1), partial | Yeast E.coli Baculovirus Mammalian cell In Vivo Biotinylation in E.coli |
| CSB-YP022717HU1 CSB-EP022717HU1 CSB-BP022717HU1 CSB-MP022717HU1 CSB-EP022717HU1-B |
Recombinant Human Translocon-associated protein subunit alpha (SSR1), partial | Yeast E.coli Baculovirus Mammalian cell In Vivo Biotinylation in E.coli |
| CSB-CF022724HU | Recombinant Human Somatostatin receptor type 1 (SSTR1) | in vitro E.coli expression system |
| CSB-CF022717HU | Recombinant Human Translocon-associated protein subunit alpha (SSR1) | in vitro E.coli expression system |
| CSB-MP022724HU | Recombinant Human Somatostatin receptor type 1 (SSTR1)-VLPs | Mammalian cell |
SSR1 Proteins for Oryctolagus cuniculus (Rabbit)
| 產品貨號 | 產品名稱 | 來源 |
|---|---|---|
| CSB-YP022717RB1 CSB-EP022717RB1 CSB-BP022717RB1 CSB-MP022717RB1 CSB-EP022717RB1-B |
Recombinant Rabbit Translocon-associated protein subunit alpha (SSR1), partial | Yeast E.coli Baculovirus Mammalian cell In Vivo Biotinylation in E.coli |
| CSB-CF022717RB | Recombinant Rabbit Translocon-associated protein subunit alpha (SSR1) | in vitro E.coli expression system |
SSR1 Proteins for Bos taurus (Bovine)
| 產品貨號 | 產品名稱 | 來源 |
|---|---|---|
| CSB-YP022717BO1 CSB-EP022717BO1 CSB-BP022717BO1 CSB-MP022717BO1 CSB-EP022717BO1-B |
Recombinant Bovine Translocon-associated protein subunit alpha (SSR1), partial | Yeast E.coli Baculovirus Mammalian cell In Vivo Biotinylation in E.coli |
| CSB-CF022717BO | Recombinant Bovine Translocon-associated protein subunit alpha (SSR1) | in vitro E.coli expression system |
SSR1 Proteins for Oncorhynchus mykiss (Rainbow trout) (Salmo gairdneri)
| 產品貨號 | 產品名稱 | 來源 |
|---|---|---|
| CSB-YP022717OEI1 CSB-EP022717OEI1 CSB-BP022717OEI1 CSB-MP022717OEI1 CSB-EP022717OEI1-B |
Recombinant Oncorhynchus mykiss Translocon-associated protein subunit alpha (ssr1), partial | Yeast E.coli Baculovirus Mammalian cell In Vivo Biotinylation in E.coli |
| CSB-CF022717OEI | Recombinant Oncorhynchus mykiss Translocon-associated protein subunit alpha (ssr1) | in vitro E.coli expression system |
SSR1 Proteins for Schizosaccharomyces pombe (strain 972 / ATCC 24843) (Fission yeast)
| 產品貨號 | 產品名稱 | 來源 |
|---|---|---|
| CSB-YP515584SXV CSB-EP515584SXV CSB-BP515584SXV CSB-MP515584SXV CSB-EP515584SXV-B |
Recombinant Schizosaccharomyces pombe SWI/SNF and RSC complexes subunit ssr1 (ssr1), partial | Yeast E.coli Baculovirus Mammalian cell In Vivo Biotinylation in E.coli |
SSR1 Proteins for Dictyostelium discoideum (Slime mold)
| 產品貨號 | 產品名稱 | 來源 |
|---|---|---|
| CSB-YP690682DKK CSB-EP690682DKK CSB-BP690682DKK CSB-MP690682DKK CSB-EP690682DKK-B |
Recombinant Dictyostelium discoideum Translocon-associated protein subunit alpha (ssr1), partial | Yeast E.coli Baculovirus Mammalian cell In Vivo Biotinylation in E.coli |
SSR1 Proteins for Pongo abelii (Sumatran orangutan)
| 產品貨號 | 產品名稱 | 來源 |
|---|---|---|
| CSB-YP732604PYX CSB-EP732604PYX CSB-BP732604PYX CSB-MP732604PYX CSB-EP732604PYX-B |
Recombinant Pongo abelii Translocon-associated protein subunit alpha (SSR1), partial | Yeast E.coli Baculovirus Mammalian cell In Vivo Biotinylation in E.coli |
SSR1 Proteins for Rattus norvegicus (Rat)
| 產品貨號 | 產品名稱 | 來源 |
|---|---|---|
| CSB-YP752643RA CSB-EP752643RA CSB-BP752643RA CSB-MP752643RA CSB-EP752643RA-B |
Recombinant Rat Translocon-associated protein subunit alpha (Ssr1), partial | Yeast E.coli Baculovirus Mammalian cell In Vivo Biotinylation in E.coli |
SSR1 Proteins for Mus musculus (Mouse)
| 產品貨號 | 產品名稱 | 來源 |
|---|---|---|
| CSB-YP871925MO CSB-EP871925MO CSB-BP871925MO CSB-MP871925MO CSB-EP871925MO-B |
Recombinant Mouse Translocon-associated protein subunit alpha (Ssr1), partial | Yeast E.coli Baculovirus Mammalian cell In Vivo Biotinylation in E.coli |






