SRSF10
SRSF10,即富含絲氨酸/精氨酸的剪接因子10。別名FUSIP1、FUSIP2、NSSR、SFRS13、SFRS13A、SRp38、SRrp40、TASR、TASR1、TASR2。SRSF10是哺乳動物剪接調節因子家族的成員,稱為SR蛋白,由RNA結合域(RRM)和富含精氨酸和絲氨酸的輔助域(RS)組成,這些結構域指導與其他蛋白質的相互作用。SRSF10的作用機制涉及通過磷酸化狀態的變化來調控其活性,這一狀態在有絲分裂、熱休克和DNA損傷期間會發生變化。SRSF10通過控制特定轉錄本的選擇性剪接,影響葡萄糖、脂肪和膽固醇代謝、胚胎心臟的發育以及神經過程。SRSF10對于HIV-1和其他病毒轉錄物的正確表達和加工也很重要。SRSF10在應激反應、器官發育和病毒復制中發揮關鍵作用,是對抗癌癥和病毒感染的潛在治療靶點。
熱銷產品
Recombinant Human Serine/arginine-rich splicing factor 10 (SRSF10) (CSB-EP525638HU)
驗證數據
(Tris-Glycine gel) Discontinuous SDS-PAGE (reduced) with 5% enrichment gel and 15% separation gel.
Based on the SEQUEST from database of E.coli host and target protein, the LC-MS/MS Analysis result of CSB-EP525638HU could indicate that this peptide derived from E.coli-expressed Homo sapiens (Human) SRSF10.
Based on the SEQUEST from database of E.coli host and target protein, the LC-MS/MS Analysis result of CSB-EP525638HU could indicate that this peptide derived from E.coli-expressed Homo sapiens (Human) SRSF10.
SRSF10 Antibody (CSB-PA525638LA01HU)
驗證數據
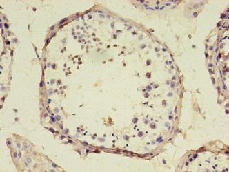
Immunohistochemistry of paraffin-embedded human testis tissue using CSB-PA525638LA01HU at dilution of 1:100
SRSF10 Antibodies
SRSF10 for Homo sapiens (Human)
| 產品貨號 | 產品名稱 | 種屬反應性 | 應用類型 |
|---|---|---|---|
| CSB-PA525638LA01HU | SRSF10 Antibody | Human | ELISA, IHC |
SRSF10 Proteins
SRSF10 Proteins for Homo sapiens (Human)
| 產品貨號 | 產品名稱 | 來源 |
|---|---|---|
| CSB-YP525638HU CSB-BP525638HU CSB-MP525638HU CSB-EP525638HU-B |
Recombinant Human Serine/arginine-rich splicing factor 10 (SRSF10) | Yeast Baculovirus Mammalian cell In Vivo Biotinylation in E.coli |
| CSB-EP525638HU | Recombinant Human Serine/arginine-rich splicing factor 10 (SRSF10) | E.coli |






