SNCA
SNCA,全稱為α-突觸核蛋白(Alpha-synuclein),也被稱為NACP、PARK1、PARK4。這種蛋白主要在神經元中表達,參與調節突觸小泡的運輸和神經遞質的釋放。α-突觸核蛋白的正常功能對于維持神經系統的正常運作至關重要。然而,當其發生異常聚集時,會形成路易小體和路易神經纖維,這與帕金森病、路易體癡呆等多系統萎縮性神經退行性疾病的發生發展密切相關。
近年來,針對α-突觸核蛋白的藥物研發取得了顯著進展。例如,通過開發抗α-突觸核蛋白抗體藥物,可以干擾其聚集和病理傳播,從而治療帕金森病。此外,還有研究探索利用核酸藥物靶向α-突觸核蛋白基因,以降低其表達水平。這些研究成果為帕金森病等神經退行性疾病的治療提供了新的希望。
熱銷產品
Recombinant Human Alpha-synuclein (SNCA), partial (CSB-EP021912HU1e1)
驗證數據
(Tris-Glycine gel) Discontinuous SDS-PAGE (reduced) with 5% enrichment gel and 15% separation gel.
SNCA Recombinant Monoclonal Antibody (CSB-RA021912MA1HU)
驗證數據
IHC image of CSB-RA021912MA1HU diluted at 1:100 and staining in paraffin-embedded human brain tissue performed on a Leica BondTM system. After dewaxing and hydration, antigen retrieval was mediated by high pressure in a citrate buffer (pH 6.0). Section was blocked with 10% normal goat serum 30min at RT. Then primary antibody (1% BSA) was incubated at 4°C overnight. The primary is detected by a Goat anti-Mouse IgG labeled by HRP and visualized using 0.05% DAB.
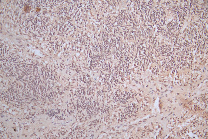
IHC image of CSB-RA021912MA1HU diluted at 1:100 and staining in paraffin-embedded human glioma cancer performed on a Leica BondTM system. After dewaxing and hydration, antigen retrieval was mediated by high pressure in a citrate buffer (pH 6.0). Section was blocked with 10% normal goat serum 30min at RT. Then primary antibody (1% BSA) was incubated at 4°C overnight. The primary is detected by a Goat anti-Mouse IgG labeled by HRP and visualized using 0.05% DAB.
Immunofluorescence staining of SH-SY5Y cell with CSB-RA021912MA1HU at 1:30, counter-stained with DAPI. The cells were fixed in 4% formaldehyde and blocked in 10% normal Goat Serum. The cells were then incubated with the antibody overnight at 4C. The secondary antibody was FITC-conjugated AffiniPure Goat Anti-Mouse IgG(H+L).
Overlay Peak curve showing SH-SY5Y cells stained with CSB-RA021912MA1HU (red line) at 1:100. The cells were fixed in 4% formaldehyde (15min) and permeated by 0.2% TritonX-100 for 10min. Then 10% normal goat serum was Incubated to block non-specific protein-protein interactions followed by the antibody (1μg/1*106cells) for 45 min at 4°C. The secondary antibody used was FITC-conjugated Goat Anti-Mouse IgG(H+L) at 1/200 dilution for 35 min at 4°C. Isotype control antibody (green line) was mouse IgG1 (1μg/1*106cells) used under the same conditions. Acquisition of >10,000 events was performed.
SNCA Antibody (CSB-PA06994A0Rb)
驗證數據
Western Blot
Positive WB detected in: U87 whole cell lysate
All lanes: SNCA antibody at 1:2000
Secondary
Goat polyclonal to rabbit IgG at 1/50000 dilution
Predicted band size: 15 kDa
Observed band size: 15 kDa
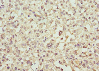
Immunohistochemistry of paraffin-embedded human melanoma using CSB-PA06994A0Rb at dilution of 1:100
Human Alpha-synuclein (SNCA) ELISA Kit (CSB-E18033h)
驗證數據
貨號:CSB-E18033h
規格:96T/48T
靈敏度:0.078 ng/mL
檢測范圍:0.312 ng/mL-20 ng/mL
These standard curves are provided for demonstration only. A standard curve should be generated for each set of samples assayed.
SNCA Antibodies
SNCA for Homo sapiens (Human)
| 產品貨號 | 產品名稱 | 種屬反應性 | 應用類型 |
|---|---|---|---|
| CSB-PA021912GA01HU | SNCA Antibody | Human,Mouse,Rat | ELISA,WB,IHC |
| CSB-PA06994A0Rb | SNCA Antibody | Human | ELISA, WB, IHC |
| CSB-PA06994B0Rb | SNCA Antibody, HRP conjugated | Human | ELISA |
| CSB-PA06994D0Rb | SNCA Antibody, Biotin conjugated | Human | ELISA |
| CSB-PA06997C0Rb | SNCA Antibody, FITC conjugated | Human | |
| CSB-PA06997D0Rb | SNCA Antibody, Biotin conjugated | Human | ELISA |
| CSB-PA06997A0Rb | SNCA Antibody | Human | ELISA, IHC, IF |
| CSB-PA021912DSR1HU | SNCA Antibody | Human | ELISA, IHC |
| CSB-PA585265 | Phospho-SNCA (Ser129) Antibody | Human,Mouse,Rat | ELISA,WB |
| CSB-PA145405 | Phospho-SNCA (Tyr125) Antibody | Human | ELISA,WB,IF |
| CSB-PA053564 | Phospho-SNCA (Tyr133) Antibody | Human,Mouse,Rat | ELISA,WB,IF |
| CSB-PA783926 | SNCA (Ab-133) Antibody | Human,Mouse,Rat | ELISA,WB,IF |
| CSB-PA238735 | SNCA (Ab-129) Antibody | Human,Mouse,Rat | ELISA,WB |
| CSB-PA578342 | SNCA (Ab-125) Antibody | Human,Mouse,Rat | ELISA,WB |
| CSB-PA036896 | SNCA Antibody | Human,Mouse,Rat | ELISA,WB,IHC |
| CSB-PA000748 | Phospho-SNCA (Y125) Antibody | Human,Mouse,Rat | WB, IHC, ELISA |
| CSB-PA004209 | SNCA Antibody | Human,Mouse,Rat | WB, IHC, ELISA |
| CSB-PA004210 | SNCA Antibody | Human,Mouse,Rat | WB, IHC, ELISA |
| CSB-PA004212 | SNCA Antibody | Human,Mouse,Rat | WB, IHC, IF, ELISA |
| CSB-PA050113 | Phospho-SNCA (S129) Antibody | Human,Mouse,Rat | WB, IHC, ELISA |
| CSB-PA050114 | Phospho-SNCA (Y133) Antibody | Human,Mouse,Rat | WB, IHC, ELISA |
| CSB-PA050115 | Phospho-SNCA (Y136) Antibody | Human,Mouse,Rat | WB, ELISA |
| CSB-PA050116 | SNCA Antibody | Human,Mouse,Rat | WB, IHC, ELISA |
| CSB-PA592134 | SNCA Antibody | Human,Mouse,Rat | ELISA,IHC |
| CSB-PA169656 | SNCA Antibody | Human,Mouse,Rat | ELISA,IHC |
| CSB-RA021912A129phHU | Phospho-SNCA (S129) Recombinant Monoclonal Antibody | Human | ELISA, IHC, IF |
| CSB-PA021912OA01HU | SNCA Antibody | Human | ELISA, IHC, IF |
| CSB-PA021912OB01HU | SNCA Antibody, HRP conjugated | Human | ELISA |
| CSB-PA021912OD01HU | SNCA Antibody, Biotin conjugated | Human | ELISA |
| CSB-RA585595A0HU | SNCA Recombinant Monoclonal Antibody | Human | ELISA, IHC |
| CSB-RA021912MA1HU | SNCA Recombinant Monoclonal Antibody | Human | ELISA, IHC, IF, FC |
SNCA for Rattus norvegicus (Rat)
| 產品貨號 | 產品名稱 | 種屬反應性 | 應用類型 |
|---|---|---|---|
| CSB-PA021912DA01RA | Snca Antibody | Rat | ELISA |
SNCA Proteins
SNCA Proteins for Homo sapiens (Human)
| 產品貨號 | 產品名稱 | 來源 |
|---|---|---|
| CSB-YP021912HU | Recombinant Human Alpha-synuclein (SNCA) | Yeast |
| CSB-EP021912HU1 | Recombinant Human Alpha-synuclein (SNCA), partial | E.coli |
| CSB-BP021912HU CSB-EP021912HU-B |
Recombinant Human Alpha-synuclein protein (SNCA) | Baculovirus In Vivo Biotinylation in E.coli |
| CSB-EP021912HU1e1 | Recombinant Human Alpha-synuclein (SNCA), partial | E.coli |
| CSB-EP021912HU | Recombinant Human Alpha-synuclein (SNCA) | E.coli |
SNCA Proteins for Rattus norvegicus (Rat)
| 產品貨號 | 產品名稱 | 來源 |
|---|---|---|
| CSB-YP021912RA CSB-EP021912RA CSB-BP021912RA CSB-MP021912RA CSB-EP021912RA-B |
Recombinant Rat Alpha-synuclein (Snca) | Yeast E.coli Baculovirus Mammalian cell In Vivo Biotinylation in E.coli |
| CSB-EP021912RAe0 | Recombinant Rat Alpha-synuclein (Snca) | E.coli |
SNCA Proteins for Mus musculus (Mouse)
| 產品貨號 | 產品名稱 | 來源 |
|---|---|---|
| CSB-YP021912MO CSB-BP021912MO CSB-MP021912MO CSB-EP021912MO-B |
Recombinant Mouse Alpha-synuclein (Snca) | Yeast Baculovirus Mammalian cell In Vivo Biotinylation in E.coli |
| CSB-EP021912MO | Recombinant Mouse Alpha-synuclein (Snca) | E.coli |
SNCA Proteins for Sus scrofa (Pig)
| 產品貨號 | 產品名稱 | 來源 |
|---|---|---|
| CSB-YP666915PI CSB-BP666915PI CSB-MP666915PI CSB-EP666915PI-B |
Recombinant Pig Alpha-synuclein (SNCA) | Yeast Baculovirus Mammalian cell In Vivo Biotinylation in E.coli |
| CSB-EP666915PI | Recombinant Pig Alpha-synuclein (SNCA) | E.coli |
| CSB-EP666915PIa0 | Recombinant Pig Alpha-synuclein (SNCA) | E.coli |
| CSB-EP666915PIe1 | Recombinant Pig Alpha-synuclein (SNCA) | E.coli |
SNCA Proteins for Serinus canaria (Island canary) (Fringilla canaria)
| 產品貨號 | 產品名稱 | 來源 |
|---|---|---|
| CSB-YP820922SYL CSB-EP820922SYL CSB-BP820922SYL CSB-MP820922SYL CSB-EP820922SYL-B |
Recombinant Serinus canaria Alpha-synuclein (SNCA) | Yeast E.coli Baculovirus Mammalian cell In Vivo Biotinylation in E.coli |
SNCA ELISA Kit
SNCA ELISA Kit for Homo sapiens (Human)
| 產品貨號 | 產品名稱 | 樣本類型 | 靈敏度 |
|---|---|---|---|
| CSB-E18033h | Human Alpha-synuclein (SNCA) ELISA Kit | serum, plasma | 0.078 ng/mL |
SNCA ELISA Kit for Rattus norvegicus (Rat)
| 產品貨號 | 產品名稱 | 樣本類型 | 靈敏度 |
|---|---|---|---|
| CSB-EL021912RA | Rat Alpha-synuclein(SNCA) ELISA kit | serum, plasma, tissue homogenates | 0.156 ng/mL |






