SLAMF7
SLAMF7,即信號淋巴細胞激活分子家族成員7。別名CD319、CS1、CRACC、19A2。它主要在免疫細胞和腫瘤細胞上表達,包括自然殺傷細胞(NK細胞)、漿細胞等。SLAMF7的作用機制包括通過其分子結構中的胞內區富含酪氨酸的免疫受體轉換基序(ITSMs)參與信號傳導,其中兩個保守酪氨酸Y281和Y261分別參與SLAMF7的激活和抑制信號通路。在腫瘤微環境中,SLAMF7可以通過調節NK細胞、單核/巨噬細胞等免疫細胞的活性,影響免疫細胞的抗腫瘤作用。例如,SLAMF7單克隆抗體——埃羅妥珠單抗(Elotuzumab)治療多發性骨髓瘤能夠誘導腫瘤微環境中表達SLAMF7的NK細胞、單核/巨噬細胞參與多發性骨髓瘤的抗腫瘤免疫過程。
熱銷產品
Recombinant Human SLAM family member 7 (SLAMF7), partial (CSB-EP021369HU)
驗證數據
(Tris-Glycine gel) Discontinuous SDS-PAGE (reduced) with 5% enrichment gel and 15% separation gel.
SLAMF7 Recombinant Monoclonal Antibody (CSB-RA021369MA1HU)
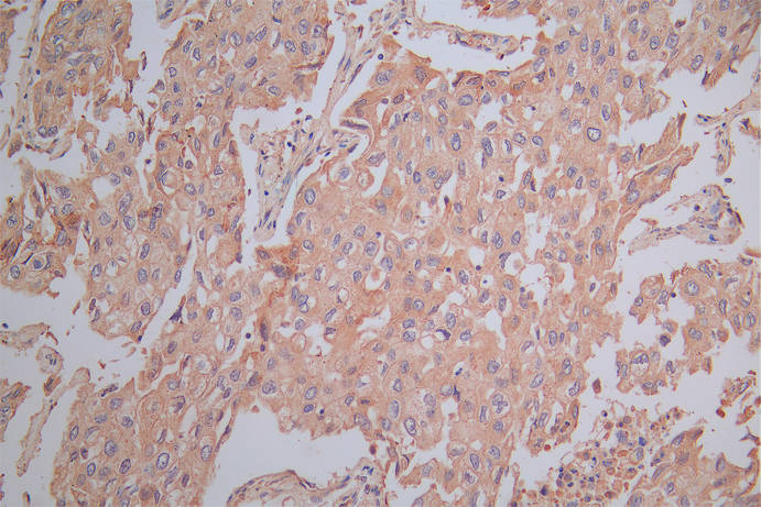
驗證數據
IHC image of CSB-RA021369MA1HU diluted at 1:200 and staining in paraffin-embedded human lung cancer performed on a Leica BondTM system. After dewaxing and hydration, antigen retrieval was mediated by high pressure in a citrate buffer (pH 6.0). Section was blocked with 10% normal goat serum 30min at RT. Then primary antibody (1% BSA) was incubated at 4°C overnight. The primary is detected by a Goat anti-Mouse IgG labeled by HRP and visualized using 0.05% DAB.
Overlay Peak curve showing A549 cells surface stained with CSB-RA021369MA1HU (red line) at 1:200. Then 10% normal goat serum was Incubated to block non-specific protein-protein interactions followed by the antibody (1μg/1*106cells) for 45 min at 4°C. The secondary antibody used was FITC-conjugated Goat Anti-Mouse IgG(H+L) at 1/200 dilution for 35 min at 4°C. Isotype control antibody (green line) was mouse IgG1 (1μg/1*106cells) used under the same conditions. Acquisition of >10,023 events was performed.
SLAMF7 Antibodies
SLAMF7 for Homo sapiens (Human)
| 產品貨號 | 產品名稱 | 種屬反應性 | 應用類型 |
|---|---|---|---|
| CSB-PA021369GA01HU | SLAMF7 Antibody | Human | ELISA,WB |
| CSB-PA021369ESR2HU | SLAMF7 Antibody | Human | ELISA, WB, IHC, IF |
| CSB-RA021369MA1HU | SLAMF7 Recombinant Monoclonal Antibody | Human | ELISA, IHC, FC |
SLAMF7 Proteins
SLAMF7 Proteins for Homo sapiens (Human)
| 產品貨號 | 產品名稱 | 來源 |
|---|---|---|
| CSB-YP021369HU CSB-BP021369HU CSB-EP021369HU-B |
Recombinant Human SLAM family member 7 (SLAMF7), partial | Yeast Baculovirus In Vivo Biotinylation in E.coli |
| CSB-EP021369HU | Recombinant Human SLAM family member 7 (SLAMF7), partial | E.coli |
SLAMF7 Proteins for Mus musculus (Mouse)
| 產品貨號 | 產品名稱 | 來源 |
|---|---|---|
| CSB-YP021369MO1 CSB-BP021369MO1 CSB-MP021369MO1 CSB-EP021369MO1-B |
Recombinant Mouse SLAM family member 7 (Slamf7), partial | Yeast Baculovirus Mammalian cell In Vivo Biotinylation in E.coli |
| CSB-EP021369MO1 | Recombinant Mouse SLAM family member 7 (Slamf7), partial | E.coli |
SLAMF7 ELISA Kit
SLAMF7 ELISA Kit for Homo sapiens (Human)
| 產品貨號 | 產品名稱 | 樣本類型 | 靈敏度 |
|---|---|---|---|
| CSB-EL021369HU | Human SLAM family member 7(SLAMF7) ELISA kit | serum, plasma, tissue homogenates | 19.5 pg/mL |






