SIGLEC8
SIGLEC8,全稱唾液酸結合免疫球蛋白樣凝集素8,是一種主要在免疫細胞表面表達的細胞表面受體。該蛋白常見別名為CD226,通過識別含有唾液酸的糖鏈結構,介導細胞與細胞或細胞與病原體間的相互作用,在免疫調節中發揮重要作用。SIGLEC8作為免疫抑制檢查點分子,能夠避免不必要的免疫反應,其細胞特異性表達特性及內吞能力使其成為靶向藥物遞送的合適分子。研究表明,SIGLEC8與多種疾病密切相關,包括自身免疫性疾病和癌癥。在自身免疫性疾病中,SIGLEC8的異常表達或功能可能導致免疫反應失控,從而引發疾病;而在癌癥中,SIGLEC8的高表達與腫瘤細胞的免疫逃逸機制有關。針對SIGLEC8的藥物研發已取得一定進展,例如抗SIGLEC-8單克隆抗體能夠通過抑制腫瘤細胞與免疫細胞的相互作用,增強抗腫瘤反應。此外,基于SIGLEC8的抗體藥物、抗體-藥物偶聯物和嵌合抗原受體T細胞療法等新型治療策略也在臨床研究中展現出潛力。
熱銷產品
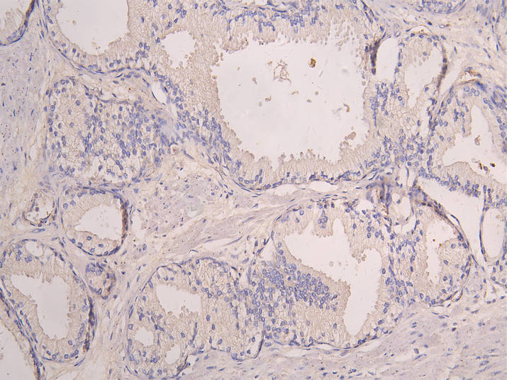
SIGLEC8 Recombinant Monoclonal Antibody (CSB-RA878931MA1HU)
驗證數據
IHC image of CSB-RA878931MA1HU diluted at 1:100 and staining in paraffin-embedded human prostate cancer performed on a Leica BondTM system. After dewaxing and hydration, antigen retrieval was mediated by high pressure in a citrate buffer (pH 6.0). Section was blocked with 10% normal goat serum 30min at RT. Then primary antibody (1% BSA) was incubated at 4°C overnight. The primary is detected by a Goat anti-human polymer IgG labeled by HRP and visualized using 0.05% DAB.
Human Sialic acid-binding Ig-like lectin 8(SIGLEC8) ELISA kit (CSB-EL021302HU)
驗證數據
貨號:CSB-EL021302HU
規格:96T/48T
靈敏度:0.039 ng/mL
檢測范圍:0.156 ng/mL-10 ng/mL
These standard curves are provided for demonstration only. A standard curve should be generated for each set of samples assayed.
SIGLEC8 Antibodies
SIGLEC8 for Homo sapiens (Human)
| 產品貨號 | 產品名稱 | 種屬反應性 | 應用類型 |
|---|---|---|---|
| CSB-PA005297 | SIGLEC8 Antibody | Human | WB, ELISA |
| CSB-PA919371 | SIGLEC8 Antibody | Human | ELISA,WB |
| CSB-PA555966 | SIGLEC8 Antibody | Human | ELISA,IHC |
| CSB-RA878931MA1HU | SIGLEC8 Recombinant Monoclonal Antibody | Human | ELISA, IHC |
SIGLEC8 Proteins
SIGLEC8 Proteins for Homo sapiens (Human)
| 產品貨號 | 產品名稱 | 來源 |
|---|---|---|
| CSB-YP878931HU CSB-EP878931HU CSB-BP878931HU CSB-MP878931HU CSB-EP878931HU-B |
Recombinant Human Sialic acid-binding Ig-like lectin 8 (SIGLEC8), partial | Yeast E.coli Baculovirus Mammalian cell In Vivo Biotinylation in E.coli |
SIGLEC8 ELISA Kit
SIGLEC8 ELISA Kit for Homo sapiens (Human)
| 產品貨號 | 產品名稱 | 樣本類型 | 靈敏度 |
|---|---|---|---|
| CSB-EL021302HU | Human Sialic acid-binding Ig-like lectin 8(SIGLEC8) ELISA kit | serum, plasma, tissue homogenates, cell lysates | 0.039 ng/mL |






