SIGLEC7
SIGLEC7,全名為唾液酸結合免疫球蛋白樣凝集素7,常見別名為Siglec-7、Sialic acid-binding Ig-like lectin 7、D-siglec、CD328。該蛋白主要在自然殺傷細胞和髓系細胞表面表達,通過結合唾液酸修飾的配體傳遞抑制性信號,負調控免疫細胞活化,維持免疫穩態。SIGLEC7在疾病中與某些癌癥(如黑色素瘤、白血病)進展相關,腫瘤微環境可能上調其表達以抑制抗腫瘤免疫。此外,SIGLEC7多態性與過敏性疾病(如哮喘)的易感性有關。目前,針對SIGLEC7的藥物研發主要集中在免疫檢查點抑制劑和靶向治療領域,旨在通過阻斷其抑制通路以增強抗腫瘤免疫,或利用其抑制特性治療自身免疫性疾病。
熱銷產品
SIGLEC7 Antibody (CSB-PA896485LA01HU)
驗證數據
Western Blot
Positive WB detected in: Mouse heart tissue, Mouse kidney tissue
All lanes: SIGLEC7 antibody at 3μg/ml
Secondary
Goat polyclonal to rabbit IgG at 1/50000 dilution
Predicted band size: 52, 42, 17 kDa
Observed band size: 52 kDa
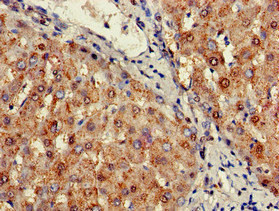
Immunohistochemistry of paraffin-embedded human liver tissue using CSB-PA896485LA01HU at dilution of 1:100
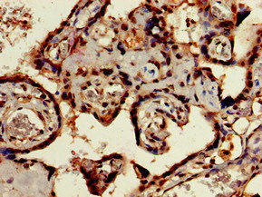
Immunohistochemistry of paraffin-embedded human placenta tissue using CSB-PA896485LA01HU at dilution of 1:100
Immunofluorescent analysis of HepG2 cells using CSB-PA896485LA01HU at dilution of 1:100 and Alexa Fluor 488-congugated AffiniPure Goat Anti-Rabbit IgG(H+L)
SIGLEC7 Antibodies
SIGLEC7 for Homo sapiens (Human)
| 產品貨號 | 產品名稱 | 種屬反應性 | 應用類型 |
|---|---|---|---|
| CSB-PA021301GA01HU | SIGLEC7 Antibody | Human | ELISA,WB |
| CSB-PA005300 | SIGLEC7 Antibody | Human | WB, ELISA |
| CSB-PA803018 | SIGLEC7 Antibody | Human | ELISA,WB,IHC |
| CSB-PA248219 | SIGLEC7 Antibody | Human | ELISA,WB |
| CSB-PA843951 | SIGLEC7 Antibody | Human | ELISA,IHC |
| CSB-PA832162 | SIGLEC7 Antibody | Human | ELISA,IHC |
| CSB-PA896485LA01HU | SIGLEC7 Antibody | Human, Mouse | ELISA, WB, IHC, IF |
| CSB-PA896485LB01HU | SIGLEC7 Antibody, HRP conjugated | Human | ELISA |
| CSB-PA896485LC01HU | SIGLEC7 Antibody, FITC conjugated | Human | |
| CSB-PA896485LD01HU | SIGLEC7 Antibody, Biotin conjugated | Human | ELISA |
SIGLEC7 Proteins
SIGLEC7 Proteins for Homo sapiens (Human)
| 產品貨號 | 產品名稱 | 來源 |
|---|---|---|
| CSB-YP896485HU CSB-EP896485HU CSB-BP896485HU CSB-MP896485HU CSB-EP896485HU-B |
Recombinant Human Sialic acid-binding Ig-like lectin 7 (SIGLEC7), partial | Yeast E.coli Baculovirus Mammalian cell In Vivo Biotinylation in E.coli |






