SIGLEC15
SIGLEC15,全稱為唾液酸結合免疫球蛋白樣凝集素15,別名包括CD33抗原樣3、SIGLEC-15、CD33L3、sialic acid-binding Ig-like lectin 15和Siglec15。在巨噬細胞上,SIGLEC15可以直接抑制T細胞活性,其作用機制與PD-1/PD-L1類似,能夠抑制T細胞活性,但不依賴PD-1/PD-L1途徑。此外,SIGLEC15表達與PD-L1的表達呈現互斥性,這預示著SIGLEC-15可能是一個補充治療靶點,為抗PD-1/PD-L1耐藥患者提供新的治療選擇。目前,SIGLEC-15在動物模型中顯示出較強的免疫抑制作用,但在人體內產生實際抗腫瘤作用尚不明確,相關研究也沒有突破性進展。NC318是目前唯一一款進入臨床試驗階段的SIGLEC-15單抗,但其在阻斷SIGLEC-15在人體內產生實際抗腫瘤作用上不明確,相關研究目前暫沒有突破性進展。
熱銷產品
驗證數據
(Tris-Glycine gel) Discontinuous SDS-PAGE (reduced) with 5% enrichment gel and 15% separation gel.
Activity
Measured by its binding ability in a functional ELISA.Immobilized Human SIGLEC15 at 5 μg/ml can bind Anti-SIGLEC15 recombinant antibody(CSB-RA761623MA3HU). The EC50 is 12.42-16.08 ng/mL.
SIGLEC15 Antibody (CSB-PA975446)
驗證數據
The image on the left is immunohistochemistry of paraffin-embedded Human tonsil tissue using CSB-PA975446(SIGLEC15 Antibody) at dilution 1/35, on the right is treated with synthetic peptide. (Original magnification: ×200)
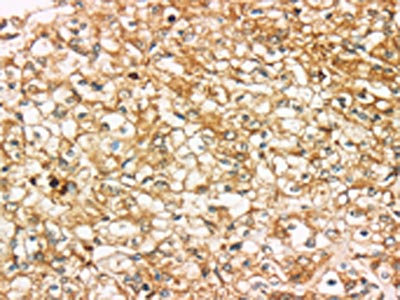
The image on the left is immunohistochemistry of paraffin-embedded Human prostate cancer tissue using CSB-PA975446(SIGLEC15 Antibody) at dilution 1/35, on the right is treated with synthetic peptide. (Original magnification: ×200)el: 12%SDS-PAGE, Lysate: 60 μg, Lane: Mouse bladder tissue, Primary antibody: CSB-PA975446(SIGLEC15 Antibody) at dilution 1/200, Secondary antibody: Goat anti rabbit IgG at 1/8000 dilution, Exposure time: 5 seconds
SIGLEC15 Antibodies
SIGLEC15 for Homo sapiens (Human)
| 產品貨號 | 產品名稱 | 種屬反應性 | 應用類型 |
|---|---|---|---|
| CSB-PA975446 | SIGLEC15 Antibody | Human | ELISA,IHC |
| CSB-PA064103 | SIGLEC15 Antibody | Human | ELISA,IHC |
| CSB-PA761623LA01HU | SIGLEC15 Antibody | Human | ELISA |
| CSB-PA761623LD01HU | SIGLEC15 Antibody, Biotin conjugated | Human | ELISA |
| CSB-PA761623LC01HU | SIGLEC15 Antibody, FITC conjugated | Human | |
| CSB-PA761623LB01HU | SIGLEC15 Antibody, HRP conjugated | Human | ELISA |
SIGLEC15 Proteins
SIGLEC15 Proteins for Homo sapiens (Human)
| 產品貨號 | 產品名稱 | 來源 |
|---|---|---|
| CSB-YP761623HU CSB-BP761623HU CSB-EP761623HU-B |
Recombinant Human Sialic acid-binding Ig-like lectin 15 (SIGLEC15), partial | Yeast Baculovirus In Vivo Biotinylation in E.coli |
| CSB-EP761623HU | Recombinant Human Sialic acid-binding Ig-like lectin 15 (SIGLEC15), partial | E.coli |
| CSB-MP761623HU | Recombinant Human Sialic acid-binding Ig-like lectin 15 (SIGLEC15), partial (Active) | Mammalian cell |






