SGSH
SGSH(N-磺基葡萄糖胺磺基水解酶)是一種關鍵的酶,其結構由多個氨基酸組成,形成了獨特的活性中心,能夠識別和催化硫酸乙酰肝素分子的降解。SGSH在硫酸乙酰肝素溶酶體降解過程中發揮著核心作用,有助于維持細胞外基質的正常功能和穩態。盡管SGSH主要通過酶催化作用參與代謝過程,但它也可能間接影響某些細胞信號通路,因為硫酸乙酰肝素是細胞外基質的重要成分,與多種細胞表面受體和信號分子相互作用。
熱銷產品
SGSH Antibody (CSB-PA021200ESR1HU)
驗證數據
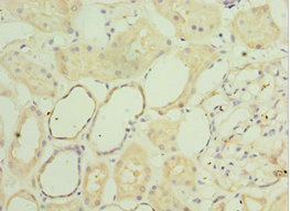
Immunohistochemistry of paraffin-embedded human kidney tissue using CSB-PA021200ESR1HU at dilution of 1:100
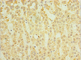
Immunohistochemistry of paraffin-embedded human adrenal gland tissue using CSB-PA021200ESR1HU at dilution of 1:100
SGSH Antibodies
SGSH for Homo sapiens (Human)
| 產品貨號 | 產品名稱 | 種屬反應性 | 應用類型 |
|---|---|---|---|
| CSB-PA021200GA01HU | SGSH Antibody | Human,Mouse,Rat | ELISA,IHC |
| CSB-PA021200ESR1HU | SGSH Antibody | Human | ELISA, IHC |
SGSH Proteins
SGSH Proteins for Homo sapiens (Human)
| 產品貨號 | 產品名稱 | 來源 |
|---|---|---|
| CSB-YP021200HU CSB-EP021200HU CSB-BP021200HU CSB-MP021200HU CSB-EP021200HU-B |
Recombinant Human N-sulphoglucosamine sulphohydrolase (SGSH) | Yeast E.coli Baculovirus Mammalian cell In Vivo Biotinylation in E.coli |
SGSH ELISA Kit
SGSH ELISA Kit for Homo sapiens (Human)
| 產品貨號 | 產品名稱 | 樣本類型 | 靈敏度 |
|---|---|---|---|
| CSB-EL021200HU | Human N-sulphoglucosamine sulphohydrolase(SGSH) ELISA kit | serum, plasma, tissue homogenates, cell lysates | 7.81 pg/mL |






