SERPINE1
SERPINE1,即絲氨酸蛋白酶抑制劑家族E成員1,別名PAI-1、PLANH1,是一種由人體基因SERPINE1編碼的分泌型糖蛋白,屬于絲氨酸蛋白酶抑制劑超家族中的一員,主要在血管內皮細胞中產生,但也可在其他組織如脂肪組織中分泌。
SERPINE1通過抑制尿激酶和組織型纖溶酶原激活劑(uPA和tPA)的活性,從而調節凝血與纖溶系統。
SERPINE1參與多種生理和病理過程,包括纖維蛋白溶解、纖維化、血管生成、傷口愈合以及腫瘤細胞的侵襲和轉移。異常的SERPINE1表達與多種疾病相關,如代謝綜合征、哮喘、重度抑郁癥以及衰老相關疾病,且與血栓形成傾向有關。
熱銷產品
Recombinant Human Plasminogen activator inhibitor 1 (SERPINE1), partial (CSB-EP021081HU1e0)
驗證數據
(Tris-Glycine gel) Discontinuous SDS-PAGE (reduced) with 5% enrichment gel and 15% separation gel.
SERPINE1 Recombinant Monoclonal Antibody (CSB-RA156066A0HU)
驗證數據
Western Blot
Positive WB detected in: U-251 whole cell lysate, U-87 whole cell lysate
All lanes: PAI1 Antibody at 1:1000
Secondary
Goat polyclonal to rabbit IgG at 1/50000 dilution
Predicted band size: 46, 44 kDa
Observed band size: 45 kDa
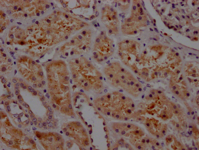
IHC image of CSB-RA156066A0HU diluted at 1:100 and staining in paraffin-embedded human kidney tissue performed on a Leica BondTM system. After dewaxing and hydration, antigen retrieval was mediated by high pressure in a citrate buffer (pH 6.0). Section was blocked with 10% normal goat serum 30min at RT. Then primary antibody (1% BSA) was incubated at 4℃ overnight. The primary is detected by a Goat anti-rabbit IgG polymer labeled by HRP and visualized using 0.05% DAB.
SERPINE1 Antibodies
SERPINE1 for Homo sapiens (Human)
| 產品貨號 | 產品名稱 | 種屬反應性 | 應用類型 |
|---|---|---|---|
| CSB-PA11239A0Rb | SERPINE1 Antibody | Human | ELISA, WB, IHC, IF |
| CSB-PA021081GA01HU | SERPINE1 Antibody | Human,Mouse,Rat | ELISA,WB,IHC |
| CSB-PA11239B0Rb | SERPINE1 Antibody, HRP conjugated | Human | ELISA |
| CSB-PA003699 | SERPINE1 Antibody | Human,Mouse,Rat | WB, IHC, ELISA |
| CSB-PA122189 | SERPINE1 Antibody | Human,Rat | ELISA,IHC |
| CSB-RA156066A0HU | SERPINE1 Recombinant Monoclonal Antibody | Human | ELISA, WB, IHC |
SERPINE1 Proteins
SERPINE1 Proteins for Sus scrofa (Pig)
| 產品貨號 | 產品名稱 | 來源 |
|---|---|---|
| CSB-YP021081PI CSB-EP021081PI CSB-BP021081PI CSB-MP021081PI CSB-EP021081PI-B |
Recombinant Pig Plasminogen activator inhibitor 1 (SERPINE1) | Yeast E.coli Baculovirus Mammalian cell In Vivo Biotinylation in E.coli |
SERPINE1 Proteins for Bos taurus (Bovine)
| 產品貨號 | 產品名稱 | 來源 |
|---|---|---|
| CSB-YP021081BO CSB-EP021081BO CSB-BP021081BO CSB-MP021081BO CSB-EP021081BO-B |
Recombinant Bovine Plasminogen activator inhibitor 1 (SERPINE1) | Yeast E.coli Baculovirus Mammalian cell In Vivo Biotinylation in E.coli |
SERPINE1 Proteins for Mus musculus (Mouse)
| 產品貨號 | 產品名稱 | 來源 |
|---|---|---|
| CSB-YP021081MO | Recombinant Mouse Plasminogen activator inhibitor 1 (Serpine1) | Yeast |
| CSB-EP021081MO | Recombinant Mouse Plasminogen activator inhibitor 1 (Serpine1) | E.coli |
| CSB-BP021081MO CSB-MP021081MO CSB-EP021081MO-B |
Recombinant Mouse Plasminogen activator inhibitor 1 (Serpine1) | Baculovirus Mammalian cell In Vivo Biotinylation in E.coli |
SERPINE1 Proteins for Homo sapiens (Human)
| 產品貨號 | 產品名稱 | 來源 |
|---|---|---|
| CSB-YP021081HU CSB-EP021081HU CSB-BP021081HU CSB-MP021081HU CSB-EP021081HU-B |
Recombinant Human Plasminogen activator inhibitor 1 (SERPINE1) | Yeast E.coli Baculovirus Mammalian cell In Vivo Biotinylation in E.coli |
| CSB-EP021081HU1 | Recombinant Human Plasminogen activator inhibitor 1 (SERPINE1), partial | E.coli |
| CSB-EP021081HU1e0 | Recombinant Human Plasminogen activator inhibitor 1 (SERPINE1), partial | E.coli |
SERPINE1 Proteins for Rattus norvegicus (Rat)
| 產品貨號 | 產品名稱 | 來源 |
|---|---|---|
| CSB-YP021081RA CSB-BP021081RA CSB-MP021081RA CSB-EP021081RA-B |
Recombinant Rat Plasminogen activator inhibitor 1 (Serpine1) | Yeast Baculovirus Mammalian cell In Vivo Biotinylation in E.coli |
| CSB-EP021081RA | Recombinant Rat Plasminogen activator inhibitor 1 (Serpine1) | E.coli |
SERPINE1 Proteins for Mustela vison (American mink) (Neovison vison)
| 產品貨號 | 產品名稱 | 來源 |
|---|---|---|
| CSB-YP021081MVE CSB-EP021081MVE CSB-BP021081MVE CSB-MP021081MVE CSB-EP021081MVE-B |
Recombinant Mustela vison Plasminogen activator inhibitor 1 (SERPINE1) | Yeast E.coli Baculovirus Mammalian cell In Vivo Biotinylation in E.coli |
SERPINE1 ELISA Kit
SERPINE1 ELISA Kit for Homo sapiens (Human)
| 產品貨號 | 產品名稱 | 樣本類型 | 靈敏度 |
|---|---|---|---|
| CSB-E07946h | Human plasminogen activator inhibitor 1,PAI-1 ELISA Kit | serum, plasma, tissue homogenates | 2.201 ng/mL |
SERPINE1 ELISA Kit for Mus musculus (Mouse)
| 產品貨號 | 產品名稱 | 樣本類型 | 靈敏度 |
|---|---|---|---|
| CSB-E07947m | Mouse plasminogen activator inhibitor 1,PAI-1 ELISA Kit | serum, plasma, tissue homogenates | 0.22 ng/mL |
SERPINE1 ELISA Kit for Sus scrofa (Pig)
| 產品貨號 | 產品名稱 | 樣本類型 | 靈敏度 |
|---|---|---|---|
| CSB-E06534p | Pig plasminogen activator inhibitor 1,PAI-1 ELISA Kit | serum, plasma, tissue homogenates | 0.078 ng/mL |
SERPINE1 ELISA Kit for Rattus norvegicus (Rat)
| 產品貨號 | 產品名稱 | 樣本類型 | 靈敏度 |
|---|---|---|---|
| CSB-E07948r | Rat plasminogen activator inhibitor 1,PAI1 ELISA Kit | serum, plasma, tissue homogenates | 19.5 pg/ml |






