SELE
SELE,即E選擇素,它是一種細胞表面糖蛋白,由SELE基因編碼,主要表達在活化的內皮細胞上。SELE的作用機制涉及其在炎癥反應中的調節作用,特別是在白細胞與內皮細胞的粘附過程中。當內皮細胞受到炎癥介質如腫瘤壞死因子α(TNF-α)或IL-1等刺激時,SELE表達上調,促進滾動的白細胞粘附于內皮細胞表面,并進一步遷移至炎癥部位。SELE的信號通路包括與白細胞表面的配體如sialyl-Lewis X(sLe^X)相互作用,觸發細胞內信號傳導,增強細胞間的粘附。在生物學意義上,SELE對調控免疫細胞的遷移、參與炎癥反應和免疫監視等過程至關重要。SELE的異常表達與多種病理過程有關,包括動脈粥樣硬化、炎癥性腸病和自身免疫性疾病等。
熱銷產品
Recombinant Pig E-selectin (SELE), partial (CSB-EP020975PIe1)
驗證數據
(Tris-Glycine gel) Discontinuous SDS-PAGE (reduced) with 5% enrichment gel and 15% separation gel.
驗證數據
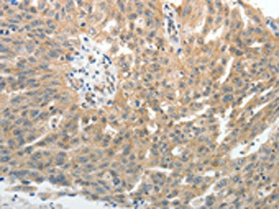
The image on the left is immunohistochemistry of paraffin-embedded Human ovarian cancer tissue using CSB-PA056380(SELE Antibody) at dilution 1/40, on the right is treated with fusion protein. (Original magnification: ×200)
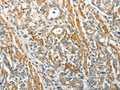
The image on the left is immunohistochemistry of paraffin-embedded Human gastric cancer tissue using CSB-PA056380(SELE Antibody) at dilution 1/40, on the right is treated with fusion protein. (Original magnification: ×200)
SELE Antibodies
SELE for Homo sapiens (Human)
| 產品貨號 | 產品名稱 | 種屬反應性 | 應用類型 |
|---|---|---|---|
| CSB-PA020975GA01HU | SELE Antibody | Human,Mouse,Rat | ELISA,WB |
| CSB-PA056380 | SELE Antibody | Human | ELISA,IHC |
| CSB-PA775739 | SELE Antibody | Human | ELISA,IHC |
| CSB-PA715369 | SELE Antibody | Human | WB,ELISA |
SELE for Pig
| 產品貨號 | 產品名稱 | 種屬反應性 | 應用類型 |
|---|---|---|---|
| CSB-PA020975EA01PI | SELE Antibody | Pig | ELISA |
| CSB-PA020975EB01PI | SELE Antibody, HRP conjugated | Pig | ELISA |
| CSB-PA020975EC01PI | SELE Antibody, FITC conjugated | Pig | |
| CSB-PA020975ED01PI | SELE Antibody, Biotin conjugated | Pig | ELISA |
SELE Proteins
SELE Proteins for Sus scrofa (Pig)
| 產品貨號 | 產品名稱 | 來源 |
|---|---|---|
| CSB-YP020975PI | Recombinant Pig E-selectin (SELE), partial | Yeast |
| CSB-EP020975PI | Recombinant Pig E-selectin (SELE), partial | E.coli |
| CSB-BP020975PI CSB-MP020975PI CSB-EP020975PI-B |
Recombinant Pig E-selectin (SELE), partial | Baculovirus Mammalian cell In Vivo Biotinylation in E.coli |
SELE Proteins for Bos taurus (Bovine)
| 產品貨號 | 產品名稱 | 來源 |
|---|---|---|
| CSB-YP020975BO1 CSB-EP020975BO1 CSB-BP020975BO1 CSB-MP020975BO1 CSB-EP020975BO1-B |
Recombinant Bovine E-selectin (SELE), partial | Yeast E.coli Baculovirus Mammalian cell In Vivo Biotinylation in E.coli |
| CSB-CF020975BO | Recombinant Bovine E-selectin (SELE) | in vitro E.coli expression system |
SELE Proteins for Homo sapiens (Human)
| 產品貨號 | 產品名稱 | 來源 |
|---|---|---|
| CSB-YP020975HU1 CSB-EP020975HU1 CSB-BP020975HU1 CSB-MP020975HU1 CSB-EP020975HU1-B |
Recombinant Human E-selectin (SELE), partial | Yeast E.coli Baculovirus Mammalian cell In Vivo Biotinylation in E.coli |
| CSB-CF020975HU | Recombinant Human E-selectin (SELE) | in vitro E.coli expression system |
SELE Proteins for Oryctolagus cuniculus (Rabbit)
| 產品貨號 | 產品名稱 | 來源 |
|---|---|---|
| CSB-YP020975RB | Recombinant Rabbit E-selectin (SELE), partial | Yeast |
| CSB-EP020975RB CSB-BP020975RB CSB-MP020975RB CSB-EP020975RB-B |
Recombinant Rabbit E-selectin (SELE), partial | E.coli Baculovirus Mammalian cell In Vivo Biotinylation in E.coli |
SELE Proteins for Canis familiaris (Dog) (Canis lupus familiaris)
| 產品貨號 | 產品名稱 | 來源 |
|---|---|---|
| CSB-YP020975DO1 CSB-EP020975DO1 CSB-BP020975DO1 CSB-MP020975DO1 CSB-EP020975DO1-B |
Recombinant Dog E-selectin (SELE), partial | Yeast E.coli Baculovirus Mammalian cell In Vivo Biotinylation in E.coli |
| CSB-CF020975DO | Recombinant Dog E-selectin (SELE) | in vitro E.coli expression system |
SELE Proteins for Equus caballus (Horse)
| 產品貨號 | 產品名稱 | 來源 |
|---|---|---|
| CSB-YP850178HO CSB-EP850178HO CSB-BP850178HO CSB-MP850178HO CSB-EP850178HO-B |
Recombinant Horse E-selectin (SELE), partial | Yeast E.coli Baculovirus Mammalian cell In Vivo Biotinylation in E.coli |
SELE ELISA Kit
SELE ELISA Kit for Homo sapiens (Human)
| 產品貨號 | 產品名稱 | 樣本類型 | 靈敏度 |
|---|---|---|---|
| CSB-E04540h | Human E-Selectin ELISA kit | serum, plasma, tissue homogenates | 0.078 ng/mL |
SELE ELISA Kit for Mus musculus (Mouse)
| 產品貨號 | 產品名稱 | 樣本類型 | 靈敏度 |
|---|---|---|---|
| CSB-E04541m | Mouse E-Selectin ELISA kit | serum, plasma, tissue homogenates | 19.5 pg/mL |
SELE ELISA Kit for Rattus norvegicus (Rat)
| 產品貨號 | 產品名稱 | 樣本類型 | 靈敏度 |
|---|---|---|---|
| CSB-E07996r | Rat soluble E-selectin,sE-selectin ELISA Kit | serum, plasma, cell culture supernates, tissue homogenates | 19.5 pg/mL |






