RSPO1
RSPO1,全稱為R-spondin 1,常見別名包括roof plate-specific spondin 1。作為一種分泌型蛋白,它在生物體內扮演著多重關鍵角色。早期胚胎發育階段,它參與性別分化過程,是維持卵巢正常形成與功能的重要因素;若其表達或功能出現異常,可能導致46XX染色體核型的個體出現性反轉,表現出部分男性化特征。此外,RSPO1還能促進腸道上皮細胞的更新與修復,對腸道穩態的維持意義重大,因此在炎癥性腸病(如潰瘍性結腸炎)的研究中受到廣泛關注。
在藥物研發領域,基于RSPO1特性的候選藥物正被探索用于治療上述腸道疾病及部分腫瘤。這些藥物試圖通過調控其相關生理過程改善病情,但目前多數處于臨床試驗階段,尚未進入臨床應用階段,其療效與安全性仍在進一步驗證中。
熱銷產品
Recombinant Human R-spondin-1 (RSPO1), partial (Active) (CSB-MP644834HU1)
驗證數據
(Tris-Glycine gel) Discontinuous SDS-PAGE (reduced) with 5% enrichment gel and 15% separation gel.
Activity
Measured by its binding ability in a functional ELISA. Immobilized Human RSPO1 at 2 μg/ml can bind Human LGR5(CSB-MP012906HU1), the EC50 is 124.0-174.1 ng/mL.
Recombinant Human R-spondin-1 (RSPO1) (CSB-MP644834HU)
驗證數據
(Tris-Glycine gel) Discontinuous SDS-PAGE (reduced) with 5% enrichment gel and 15% separation gel.
RSPO1 Antibody (CSB-PA644834DSR1HU)
驗證數據
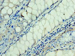
Immunohistochemistry of paraffin-embedded human colon cancer using CSB-PA644834DSR1HU at dilution of 1:100
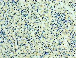
Immunohistochemistry of paraffin-embedded human spleen tissue using CSB-PA644834DSR1HU at dilution of 1:100
Human R-spondin-1(RSPO1) ELISA kit (CSB-EL020550HU)
驗證數據
貨號:CSB-EL020550HU
規格:96T/48T
靈敏度:15.6 pg/mL
檢測范圍:62.5 pg/mL-4000 pg/mL
These standard curves are provided for demonstration only. A standard curve should be generated for each set of samples assayed.
RSPO1 Antibodies
RSPO1 for Homo sapiens (Human)
| 產品貨號 | 產品名稱 | 種屬反應性 | 應用類型 |
|---|---|---|---|
| CSB-PA644834DSR1HU | RSPO1 Antibody | Human | ELISA, IHC |
RSPO1 Proteins
RSPO1 Proteins for Homo sapiens (Human)
| 產品貨號 | 產品名稱 | 來源 |
|---|---|---|
| CSB-YP644834HU CSB-EP644834HU CSB-BP644834HU CSB-EP644834HU-B |
Recombinant Human R-spondin-1 (RSPO1) | Yeast E.coli Baculovirus In Vivo Biotinylation in E.coli |
| CSB-AP005721HU | Recombinant Human R-spondin-1 (RSPO1) (Active) | Mammalian cell |
| CSB-MP644834HU1 | Recombinant Human R-spondin-1 (RSPO1), partial (Active) | Mammalian cell |
| CSB-MP644834HU-WD | Recombinant Human R-spondin-1 (RSPO1) (Active) | Mammalian cell |
| CSB-MP644834HU | Recombinant Human R-spondin-1 (RSPO1) | Mammalian cell |
RSPO1 Proteins for Danio rerio (Zebrafish) (Brachydanio rerio)
| 產品貨號 | 產品名稱 | 來源 |
|---|---|---|
| CSB-YP724931DIL CSB-EP724931DIL CSB-BP724931DIL CSB-MP724931DIL CSB-EP724931DIL-B |
Recombinant Danio rerio R-spondin-1 (rspo1) | Yeast E.coli Baculovirus Mammalian cell In Vivo Biotinylation in E.coli |
RSPO1 ELISA Kit
RSPO1 ELISA Kit for Homo sapiens (Human)
| 產品貨號 | 產品名稱 | 樣本類型 | 靈敏度 |
|---|---|---|---|
| CSB-EL020550HU | Human R-spondin-1(RSPO1) ELISA kit | serum, plasma, tissue homogenates | 15.6 pg/mL |
RSPO1 ELISA Kit for Mus musculus (Mouse)
| 產品貨號 | 產品名稱 | 樣本類型 | 靈敏度 |
|---|---|---|---|
| CSB-EL020550MO | Mouse R-spondin-1(RSPO1) ELISA kit | serum, plasma, tissue homogenates | 1.56 pg/mL |






