RRAGA
RRAGA,別名FIP1、RAGA、FIP-1。RRAGA由人類RRAGA基因編碼,該基因位于9號染色體的p22.1位置。RRAGA是一種G蛋白,具有GTP結合活性,能夠與RagC/RRAGC或RagD/RRAGD形成異二聚體Rag復合物,并在細胞對氨基酸饑餓的響應、自噬的負調控以及TORC1信號的正調控中發揮作用。RRAGA通過與GATOR1復合物共定位,在溶酶體和細胞核中活躍,參與調節mTORC1信號通路。RRAGA在細胞生長、代謝和疾病中扮演重要角色,特別是在氨基酸感應和mTORC1信號傳導中。RRAGA的異常表達或功能失調與多種疾病相關,包括腫瘤和代謝性疾病。
熱銷產品
Recombinant Human Ras-related GTP-binding protein A (RRAGA), partial (CSB-RP034654h)
驗證數據
(Tris-Glycine gel) Discontinuous SDS-PAGE (reduced) with 5% enrichment gel and 15% separation gel.
RRAGA Antibody (CSB-PA03465A0Rb)
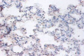
驗證數據
Immunohistochemistry of paraffin-embedded human lung tissue using CSB-PA03465A0Rb at dilution of 1:100
Immunofluorescence staining of A549 cells with CSB-PA03465A0Rb at 1:66, counter-stained with DAPI. The cells were fixed in 4% formaldehyde, permeabilized using 0.2% Triton X-100 and blocked in 10% normal Goat Serum. The cells were then incubated with the antibody overnight at 4°C. The secondary antibody was Alexa Fluor 488-congugated AffiniPure Goat Anti-Rabbit IgG(H+L).
RRAGA Antibodies
RRAGA for Homo sapiens (Human)
| 產品貨號 | 產品名稱 | 種屬反應性 | 應用類型 |
|---|---|---|---|
| CSB-PA03465A0Rb | RRAGA Antibody | Human | ELISA, IHC, IF |
| CSB-PA03465C0Rb | RRAGA Antibody, FITC conjugated | Human | |
| CSB-PA03465D0Rb | RRAGA Antibody, Biotin conjugated | Human | ELISA |
| CSB-PA022239 | RRAGA Antibody | Human,Mouse,Rat | ELISA,IHC |
| CSB-PA071515 | RRAGA Antibody | Human,Mouse,Rat | ELISA,WB,IHC |
RRAGA Proteins
RRAGA Proteins for Homo sapiens (Human)
| 產品貨號 | 產品名稱 | 來源 |
|---|---|---|
| CSB-RP034654h | Recombinant Human Ras-related GTP-binding protein A (RRAGA), partial | E.coli |
| CSB-YP752099HU CSB-EP752099HU CSB-BP752099HU CSB-MP752099HU CSB-EP752099HU-B |
Recombinant Human Ras-related GTP-binding protein A (RRAGA) | Yeast E.coli Baculovirus Mammalian cell In Vivo Biotinylation in E.coli |
RRAGA Proteins for Bos taurus (Bovine)
| 產品貨號 | 產品名稱 | 來源 |
|---|---|---|
| CSB-YP668782BO CSB-EP668782BO CSB-BP668782BO CSB-MP668782BO CSB-EP668782BO-B |
Recombinant Bovine Ras-related GTP-binding protein A (RRAGA) | Yeast E.coli Baculovirus Mammalian cell In Vivo Biotinylation in E.coli |
RRAGA Proteins for Rattus norvegicus (Rat)
| 產品貨號 | 產品名稱 | 來源 |
|---|---|---|
| CSB-YP733938RA CSB-EP733938RA CSB-BP733938RA CSB-MP733938RA CSB-EP733938RA-B |
Recombinant Rat Ras-related GTP-binding protein A (Rraga) | Yeast E.coli Baculovirus Mammalian cell In Vivo Biotinylation in E.coli |
RRAGA Proteins for Mus musculus (Mouse)
| 產品貨號 | 產品名稱 | 來源 |
|---|---|---|
| CSB-YP767346MO CSB-EP767346MO CSB-BP767346MO CSB-MP767346MO CSB-EP767346MO-B |
Recombinant Mouse Ras-related GTP-binding protein A (Rraga) | Yeast E.coli Baculovirus Mammalian cell In Vivo Biotinylation in E.coli |






