ROR2
ROR2,即受體酪氨酸激酶樣孤兒受體2,別名ROR2、MFNG等。它是一種由ROR2基因編碼的跨膜蛋白,屬于ROR家族成員,在多種細胞類型中表達。ROR2的作用機制涉及與Wnt5A等配體結合,激活非經典Wnt/PCP信號通路,參與調控細胞遷移、增殖和極性。ROR2的功能異常與某些疾病有關,如骨骼發育異常、腫瘤發展等。ROR2在腫瘤細胞中的異常表達可能促進腫瘤的侵襲和轉移,使其成為癌癥治療的潛在靶點。
熱銷產品
驗證數據
(Tris-Glycine gel) Discontinuous SDS-PAGE (reduced) with 5% enrichment gel and 15% separation gel.
Activity
Measured by its binding ability in a functional ELISA.Immobilized Human ROR2 at 2 μg/ml can bind Anti-ROR2 recombinant antibody (CSB-RA932279MA2HU).The EC50 is 0.8067-0.9971 ng/mL.
Activity
ROR2 Recombinant Monoclonal Antibody(CSB-RA932279MA2HU) captured on Protein A Chip can bind Human ROR2 with an affinity constant of 0.17 nM as detected by MetaSPR Assay (WeSPRTM 200).
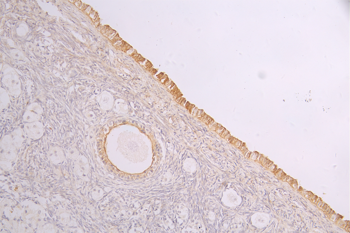
ROR2 Recombinant Monoclonal Antibody (CSB-RA932279MA1HU)
驗證數據
IHC image of CSB-RA932279MA1HU diluted at 1:100 and staining in paraffin-embedded human ovarian tissue performed on a Leica BondTM system. After dewaxing and hydration, antigen retrieval was mediated by high pressure in a citrate buffer (pH 6.0). Section was blocked with 10% normal goat serum 30min at RT. Then primary antibody (1% BSA) was incubated at 4°C overnight. The primary is detected by a Goat anti-human polymer IgG labeled by HRP and visualized using 0.05% DAB.
ROR2 Antibodies
ROR2 for Homo sapiens (Human)
| 產品貨號 | 產品名稱 | 種屬反應性 | 應用類型 |
|---|---|---|---|
| CSB-PA020176 | ROR2 Antibody | Human,Mouse,Rat | WB, ELISA |
| CSB-PA21119A0Rb | ROR2 Antibody | Human | ELISA, IHC, IF |
| CSB-PA21119B0Rb | ROR2 Antibody, HRP conjugated | Human | ELISA |
| CSB-PA21119C0Rb | ROR2 Antibody, FITC conjugated | Human | |
| CSB-PA21119D0Rb | ROR2 Antibody, Biotin conjugated | Human | ELISA |
| CSB-RA932279MA1HU | ROR2 Recombinant Monoclonal Antibody | Human | ELISA, IHC |






